Shopping Cart
Remove All
Your shopping cart is currently empty
Anti-Phospho-RARA (Ser77) Polyclonal Antibody is a Rabbit antibody targeting Phospho-RARA (Ser77). Anti-Phospho-RARA (Ser77) Polyclonal Antibody can be used in IHC,WB.
| Pack Size | Price | USA Warehouse | Global Warehouse | Quantity |
|---|---|---|---|---|
| 50 μL | $217 | 7-10 days | 7-10 days | |
| 100 μL | $316 | 7-10 days | 7-10 days |
| Description | Anti-Phospho-RARA (Ser77) Polyclonal Antibody is a Rabbit antibody targeting Phospho-RARA (Ser77). Anti-Phospho-RARA (Ser77) Polyclonal Antibody can be used in IHC,WB. |
| Synonyms | RARA (p-Ser77), RARA (p-S77), p-RARA (Ser77), p-RARA (S77) |
| Ig Type | IgG |
| Reactivity | Human,Mouse,Rat |
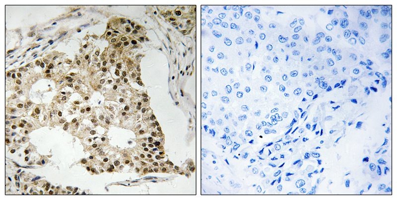
| Verified Activity | 1. Western blot analysis of extracts from Jurkat cells treated with PMA (125ng/ml, 30mins), using Retinoic Acid Receptor α(Phospho-Ser77) antibody TMAC-03585. The lane on the right is treated with the synthesized peptide. 2. Western blot analysis of extracts from JK cells (Lane 2) and COS7 cells (Lane 3), using Retinoic Acid Receptor α (Phospho-Ser77) Antibody TMAC-03585. The lane on the left is treated with synthesized peptide. 3. Immunohistochemistry analysis of paraffin-embedded human breast carcinoma tissue using Retinoic Acid Receptor α (Phospho-Ser77) antibody TMAC-03585. The picture on the right is treated with the synthesized peptide. ![]() ![]() ![]() |
| Application | |
| Recommended Dose | WB: 1:500-3000; IHC: 1:50-100 |
| Antibody Type | Polyclonal |
| Host Species | Rabbit |
| Construction | Polyclonal Antibody |
| Purification | Antibodies were produced by immunizing rabbits with synthetic phosphopeptide and KLH conjugates. Antibodies were purified by affinity-chromatography using epitope-specific phosphopeptide. Non-phospho specific antibodies were removed by chromatogramphy using non-phosphopeptide. |
| Appearance | Liquid |
| Formulation | Rabbit IgG in phosphate buffered saline (without Mg2+ and Ca2+), pH 7.4, 150mM NaCl, 0.02% sodium azide and 50% glycerol. |
| Research Background | Receptor for retinoic acid. Retinoic acid receptors bind as heterodimers to their target response elements in response to their ligands, all-trans or 9-cis retinoic acid, and regulate gene expression in various biological processes. The RXR/RAR heterodimers bind to the retinoic acid response elements (RARE) composed of tandem 5'-AGGTCA-3' sites known as DR1-DR5. In the absence of ligand, the RXR-RAR heterodimers associate with a multiprotein complex containing transcription corepressors that induce histone acetylation, chromatin condensation and transcriptional suppression. On ligand binding, the corepressors dissociate from the receptors and associate with the coactivators leading to transcriptional activation. RARA plays an essential role in the regulation of retinoic acid-induced germ cell development during spermatogenesis. Has a role in the survival of early spermatocytes at the beginning prophase of meiosis. In Sertoli cells, may promote the survival and development of early meiotic prophase spermatocytes. In concert with RARG, required for skeletal growth, matrix homeostasis and growth plate function By similarity. Regulates expression of target genes in a ligand-dependent manner by recruiting chromatin complexes containing KMT2E/MLL5. Mediates retinoic acid-induced granulopoiesis. |
| Conjucates | Unconjugated |
| Others Formats | Phospho |
| Immunogen | Peptide sequence around phosphorylation site of serine 77 (P-P-S(p)-P-P) derived from Human Retinoic Acid Receptor α |
| Antigen Species | human |
| Uniprot ID |
| Molecular Weight | Actual: 45 kDa. |
| Stability & Storage | Store at -20°C or -80°C for 12 months. Avoid repeated freeze-thaw cycles. |
| Transport | Shipping with blue ice. |
| Size | Quantity | Unit Price | Amount | Operation |
|---|

Copyright © 2015-2026 TargetMol Chemicals Inc. All Rights Reserved.