Shopping Cart
Remove All
Your shopping cart is currently empty
Anti-Phospho-RAF1 (Ser259) Antibody (2M259) is a Rabbit antibody targeting Phospho-RAF1 (Ser259). Anti-Phospho-RAF1 (Ser259) Antibody (2M259) can be used in IHC,WB.
| Pack Size | Price | USA Warehouse | Global Warehouse | Quantity |
|---|---|---|---|---|
| 50 μL | $298 | 7-10 days | 7-10 days | |
| 100 μL | $496 | 7-10 days | 7-10 days |
| Description | Anti-Phospho-RAF1 (Ser259) Antibody (2M259) is a Rabbit antibody targeting Phospho-RAF1 (Ser259). Anti-Phospho-RAF1 (Ser259) Antibody (2M259) can be used in IHC,WB. |
| Synonyms | RAF1 (p-Ser259), RAF1 (p-S259), p-RAF1 (Ser259), p-RAF1 (S259), Phospho-RAF1 (S259) |
| Ig Type | IgG |
| Clone | 2M259 |
| Reactivity | Human,Mouse,Rat |
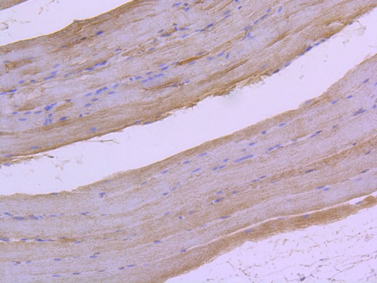
| Verified Activity | 1. Western blot analysis of Phospho-Raf1 (S259) on different lysates using anti-Phospho-Raf1 (S259) antibody at 1/1,000 dilution. Positive control: Lane 1: Human skeletal muscle, Lane 2: Hela. 2. Immunohistochemical analysis of paraffin-embedded rat skeletal muscle tissue using anti-Phospho-Raf1 (S259) antibody. Counter stained with hematoxylin. ![]() ![]() |
| Application | |
| Recommended Dose | WB: 1:1000-2000; IHC: 1:50-200 |
| Antibody Type | Monoclonal |
| Host Species | Rabbit |
| Construction | Recombinant Antibody |
| Purification | ProA affinity purified |
| Appearance | Liquid |
| Formulation | 1*TBS (pH7.4), 1%BSA, 40%Glycerol. Preservative: 0.05% Sodium Azide. |
| Research Background | Raf-1 is a ubiquitously expressed cytoplasmic protein with intrinsic serine/threonine kinase activity. Raf-1, or c-Raf, is the cellular homolog of v-Raf, the product of the transforming gene of the 3611 strain of murine sarcoma virus. The unregulated kinase activity of the v-Raf protein is associated with cellular transformation and mitogenesis. Raf-1 is normally suppressed by its regulatory N-terminal domain. Raf-1 is activated in response to a variety of tyrosine kinase receptors as well as in response to pp60v-Src expression. Specifically, Raf-1 is phosphorylated in the catalytic domain at Ser 338 and, to a lesser extent, Ser 339. This phosphorylation requires the co-activation of PI 3-kinase and the Ras signaling pathway. Raf-1 is also phosphorylated on Tyr 340 and 341, which induces the phosphorylation of MEK. Phosphorylation of Ser 621 is essential for the catalytic activity of Raf-1 and downregulation by c-AMP-dependent protein kinase A (PKA). PKA also phosphorylates Raf-1 on Ser 43 and Ser 259. PKA phosphorylation of Ser 259 inhibits Raf-1 and decreases the phosphorylation necessary for Raf-1 activation at Ser 338. |
| Conjucates | Unconjugated |
| Others Formats | Phospho |
| Immunogen | A synthesized phosphopeptide: human Raf1 around the phosphorylation site of Ser259 |
| Antigen Species | human |
| Uniprot ID |
| Molecular Weight | Theoretical: 73 kDa. |
| Stability & Storage | Store at -20°C or -80°C for 12 months. Avoid repeated freeze-thaw cycles. |
| Transport | Shipping with blue ice. |
| Size | Quantity | Unit Price | Amount | Operation |
|---|

Copyright © 2015-2026 TargetMol Chemicals Inc. All Rights Reserved.