Shopping Cart
Remove All
Your shopping cart is currently empty
Anti-Phospho-PYK2 (Tyr402) Polyclonal Antibody is a Rabbit antibody targeting Phospho-PYK2 (Tyr402). Anti-Phospho-PYK2 (Tyr402) Polyclonal Antibody can be used in IF,IHC,WB.
| Pack Size | Price | USA Warehouse | Global Warehouse | Quantity |
|---|---|---|---|---|
| 50 μL | $217 | 7-10 days | 7-10 days | |
| 100 μL | $318 | 7-10 days | 7-10 days |
| Description | Anti-Phospho-PYK2 (Tyr402) Polyclonal Antibody is a Rabbit antibody targeting Phospho-PYK2 (Tyr402). Anti-Phospho-PYK2 (Tyr402) Polyclonal Antibody can be used in IF,IHC,WB. |
| Synonyms | PYK2 (p-Y402), PYK2 (p-Tyr402), p-PYK2 (Y402), p-PYK2 (Tyr402) |
| Ig Type | IgG |
| Reactivity | Human,Mouse,Rat |
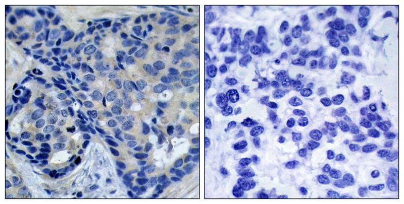
| Verified Activity | 1. Western blot analysis of extracts from 293 cells untreated or treated with Serum using Pyk2 (Phospho-Tyr402) Antibody TMAC-03479. 2. Immunohistochemical analysis of paraffin-embedded human breast carcinoma tissue using Pyk2 (Phospho-Tyr402) Antibody TMAC-03479 (left) or the same antibody preincubated with blocking peptide (right). 3. Immunofluorescence staining of methanol-fixed Hela cells using Pyk2 (Phospho-Tyr402) Antibody TMAC-03479. ![]() ![]() ![]() |
| Application | |
| Antibody Type | Polyclonal |
| Host Species | Rabbit |
| Construction | Polyclonal Antibody |
| Purification | Antibodies were produced by immunizing rabbits with synthetic phosphopeptide and KLH conjugates. Antibodies were purified by affinity-chromatography using epitope-specific phosphopeptide. Non-phospho specific antibodies were removed by chromatogramphy using non-phosphopeptide. |
| Appearance | Liquid |
| Formulation | Supplied at 1.0mg/mL in phosphate buffered saline (without Mg2+ and Ca2+), pH 7.4, 150mM NaCl, 0.02% sodium azide and 50% glycerol. |
| Research Background | Involved in calcium induced regulation of ion channel and activation of the map kinase signaling pathway. May represent an important signaling intermediate between neuropeptide activated receptors or neurotransmitters that increase calcium flux and the downstream signals that regulate neuronal activity. Interacts with the SH2 domain of Grb2. May phosphorylate the voltage-gated potassium channel protein Kv1.2. Its activation is highly correlated with the stimulation of c-Jun N-terminal kinase activity. Involved in osmotic stress-dependent SNCA 'Tyr-125' phosphorylation. |
| Conjucates | Unconjugated |
| Others Formats | Phospho |
| Immunogen | Peptide sequence around phosphorylation site of tyrosine 402 (D-I-Y(p)-A-E) derived from Human Pyk2 |
| Antigen Species | human |
| Uniprot ID |
| Stability & Storage | Store at 2°C-8°C for 1 month. Store at -20°C or -80°C for 12 months. Avoid repeated freeze-thaw cycles. |
| Transport | Shipping with blue ice. |
| Size | Quantity | Unit Price | Amount | Operation |
|---|

Copyright © 2015-2026 TargetMol Chemicals Inc. All Rights Reserved.