Shopping Cart
Remove All
Your shopping cart is currently empty
Anti-Phospho-PTK2 (Ser 722) Antibody (7J439) is a Mouse antibody targeting Phospho-PTK2 (Ser 722). Anti-Phospho-PTK2 (Ser 722) Antibody (7J439) can be used in IF,IHC-P,IP,WB.
| Pack Size | Price | USA Warehouse | Global Warehouse | Quantity |
|---|---|---|---|---|
| 50 μL | $297 | 7-10 days | 7-10 days | |
| 100 μL | $496 | 7-10 days | 7-10 days |
| Description | Anti-Phospho-PTK2 (Ser 722) Antibody (7J439) is a Mouse antibody targeting Phospho-PTK2 (Ser 722). Anti-Phospho-PTK2 (Ser 722) Antibody (7J439) can be used in IF,IHC-P,IP,WB. |
| Synonyms | PTK2 (p-Ser 722), PTK2 (p-S 722), p-PTK2 (Ser 722), p-PTK2 (S 722) |
| Clone | 7J439 |
| Reactivity | Human,Mouse,Rat |
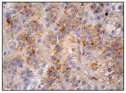
| Verified Activity | 1. A.Western blot analysis of FAK phosphorylation in non-transfected:(A,D), untreated human FAK transfected:(B,E) and lambda protein phosphatase treated human FAK transfected:(C,F) 293T whole cell lysates. Antibodies tested include p-FAK (A-12):(A,B,C) and FAK (C-903):(D,E,F). 2. B.Immunoperoxidase staining of formalin fixed, paraffin-embedded human adrenal gland tissue showing cytoplasmic staining of glandular cells. ![]() ![]() |
| Application | |
| Recommended Dose | WB: 1:100-1000; IHC-P: 1:50-500; IP: 1-2 μg per 100-500 μg of total protein(1 ml of cell lysate) |
| Antibody Type | Monoclonal |
| Host Species | Mouse |
| Construction | Hybridoma Monoclonal Antibody |
| Purification | ProA affinity purified |
| Appearance | Liquid |
| Formulation | 1*TBS (pH7.4), 1%BSA, 40%Glycerol. Preservative: 0.05% Sodium Azide. |
| Research Background | Activation of integrins in the extracellular matrix (ECM) of eukaryotic cells promotes the formation of membrane adhesion complexes, known as focal adhesions, which can include cytoskeletal proteins and protein tyrosine kinases, such as focal adhesion kinase (FAK). Phosphorylation events occurring within focal adhesions influence numerous processes that include mitogenic signaling, cell survival and cell motility. FAK is a non-receptor tyrosine kinase that is ubiquitously expressed and highly conserved between species. FAK is recruited by integrin clusters and variably phosphorylated depending on the effector molecules present in the focal adhesion. Phospho-rylation of FAK Tyr 397 decreases during serum starvation, contact inhibition and cell cycle arrest, all conditions under which activating FAK Tyr 407 phosphorylation increases. |
| Conjucates | Unconjugated |
| Others Formats | Phospho |
| Immunogen | Peptide |
| Uniprot ID |
| Molecular Weight | Theoretical: 125 kDa. |
| Stability & Storage | Store at 2°C-8°C for 12 months, do not freeze. |
| Transport | Shipping with blue ice. |
| Size | Quantity | Unit Price | Amount | Operation |
|---|

Copyright © 2015-2026 TargetMol Chemicals Inc. All Rights Reserved.