Shopping Cart
Remove All
Your shopping cart is currently empty
Anti-Phospho-PTEN (Ser380, Thr382, 383) Polyclonal Antibody is a Rabbit antibody targeting Phospho-PTEN (Ser380, Thr382, 383). Anti-Phospho-PTEN (Ser380, Thr382, 383) Polyclonal Antibody can be used in IF,IHC,WB.
| Pack Size | Price | USA Warehouse | Global Warehouse | Quantity |
|---|---|---|---|---|
| 50 μL | $218 | 7-10 days | 7-10 days | |
| 100 μL | $317 | 7-10 days | 7-10 days |
| Description | Anti-Phospho-PTEN (Ser380, Thr382, 383) Polyclonal Antibody is a Rabbit antibody targeting Phospho-PTEN (Ser380, Thr382, 383). Anti-Phospho-PTEN (Ser380, Thr382, 383) Polyclonal Antibody can be used in IF,IHC,WB. |
| Synonyms | TEP1, PTEN1, PTEN (p-Ser380, Thr382, 383), PTEN (p-S380, T382, 383), p-PTEN (Ser380, Thr382, 383), p-PTEN (S380, T382, 383), Phospho-PTEN (S380, T382, 383), Phosphatidylinositol 3,4,5-trisphosphate 3-phosphatase and dual-specificity protein phosphatase PTEN, Phosphatase and tensin like protein, Phosphatase and tensin homolog, Mutated in multiple advanced cancers 1, MMAC1 phosphatase and tensin homolog deleted on chromosome 10, MMAC1, MHAM, MGC11227, GLM2, DEC, BZS, 10q23del |
| Ig Type | IgG |
| Reactivity | Human,Mouse,Rat |
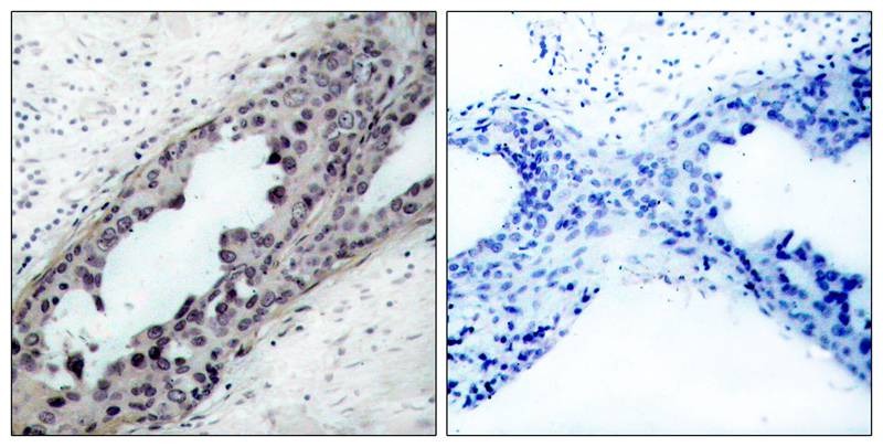
| Verified Activity | 1. Immunohistochemical analysis of paraffin-embedded human breast carcinoma tissue, using PTEN (Phospho-Ser380/Thr382/Thr383) Antibody TMAC-03463 (left) or the same antibody preincubated with blocking peptide (right). 2. Immunofluorescence staining of methanol-fixed Hela cells using PTEN (Phospho-Ser380/Thr382/Thr383) Antibody TMAC-03463. 3. Western blot analysis of extracts from Hela cells, treated with IFNa or calf intestinal phosphatase (CIP), using PTEN (Phospho-Ser380/Thr382/Thr383) Antibody TMAC-03463. 4. Western blot analysis of extracts from Hela and C6 cells,treated with EGF or PMA, using PTEN (Phospho-Ser380/Thr382/Thr383) Antibody TMAC-03463. 5. Immunofluorescence staining of methanol-fixed MEFcells using PTEN (Phospho-Ser380/Thr382/Thr383)Antibody TMAC-03463. ![]() ![]() ![]() ![]() ![]() |
| Application | |
| Antibody Type | Polyclonal |
| Host Species | Rabbit |
| Construction | Polyclonal Antibody |
| Purification | Antibodies were produced by immunizing rabbits with synthetic phosphopeptide and KLH conjugates. Antibodies were purified by affinity-chromatography using epitope-specific phosphopeptide. Non-phospho specific antibodies were removed by chromatogramphy using non-phosphopeptide. |
| Appearance | Liquid |
| Formulation | Supplied at 1.0mg/mL in phosphate buffered saline (without Mg2+ and Ca2+), pH 7.4, 150mM NaCl, 0.02% sodium azide and 50% glycerol. |
| Research Background | Tumor suppressor. Acts as a dual-specificity protein phosphatase, dephosphorylating tyrosine-, serine- and threonine-phosphorylated proteins. Also acts as a lipid phosphatase, removing the phosphate in the D3 position of the inositol ring from phosphatidylinositol 3,4,5-trisphosphate, phosphatidylinositol 3,4-diphosphate, phosphatidylinositol 3-phosphate and inositol 1,3,4,5-tetrakisphosphate with order of substrate preference in vitro PtdIns(3,4,5)P3 > PtdIns(3,4)P2 > PtdIns3P > Ins(1,3,4,5)P4. The lipid phosphatase activity is critical for its tumor suppressor function. Antagonizes the PI3K-AKT/PKB signaling pathway by dephosphorylating phosphoinositides and thereby modulating cell cycle progression and cell survival. The unphosphorylated form cooperates with AIP1 to suppress AKT1 activation. Dephosphorylates tyrosine-phosphorylated focal adhesion kinase and inhibits cell migration and integrin-mediated cell spreading and focal adhesion formation. May be a negative regulator of insulin signaling and glucose metabolism in adipose tissue. |
| Conjucates | Unconjugated |
| Others Formats | Phospho |
| Immunogen | Peptide sequence around phosphorylation site of threonine 380/382/383 (R-Y-S(p)-D-T(p)-T(p)-D-S) derived from Human PTEN |
| Antigen Species | human |
| Uniprot ID |
| Stability & Storage | Store at -20°C or -80°C for 12 months. Avoid repeated freeze-thaw cycles. |
| Transport | Shipping with blue ice. |
| Size | Quantity | Unit Price | Amount | Operation |
|---|

Copyright © 2015-2026 TargetMol Chemicals Inc. All Rights Reserved.