Shopping Cart
Remove All
Your shopping cart is currently empty
Anti-Phospho-PTEN (Ser380) Polyclonal Antibody is a Rabbit antibody targeting Phospho-PTEN (Ser380). Anti-Phospho-PTEN (Ser380) Polyclonal Antibody can be used in IF,IHC.
| Pack Size | Price | USA Warehouse | Global Warehouse | Quantity |
|---|---|---|---|---|
| 50 μL | $217 | 7-10 days | 7-10 days | |
| 100 μL | $318 | 7-10 days | 7-10 days |
| Description | Anti-Phospho-PTEN (Ser380) Polyclonal Antibody is a Rabbit antibody targeting Phospho-PTEN (Ser380). Anti-Phospho-PTEN (Ser380) Polyclonal Antibody can be used in IF,IHC. |
| Synonyms | TEP1, PTEN1, PTEN (p-Ser380), PTEN (p-S380), p-PTEN (Ser380), p-PTEN (S380), Phospho-PTEN (S380), Phosphatidylinositol 3,4,5-trisphosphate 3-phosphatase and dual-specificity protein phosphatase PTEN, Phosphatase and tensin like protein, Phosphatase and tensin homolog, Mutated in multiple advanced cancers 1, MMAC1 phosphatase and tensin homolog deleted on chromosome 10, MMAC1, MHAM, MGC11227, GLM2, DEC, BZS, 10q23del |
| Ig Type | IgG |
| Reactivity | Human,Mouse,Rat |
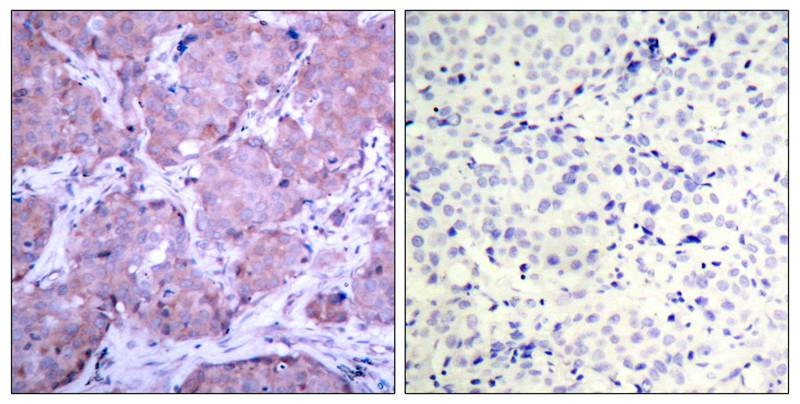
| Verified Activity | 1. Immunofluorescence staining of methanol-fixed HeLa cells using PTEN (phospho-Ser380) antibody (TMAC-03462, Red). 2. Immunohistochemical analysis of paraffin-embedded human breast carcinoma tissue using PTEN (phospho-Ser380) antibody (TMAC-03462). ![]() ![]() |
| Application | |
| Recommended Dose | IHC:1:50-100; IF: 1:100-200 |
| Antibody Type | Polyclonal |
| Host Species | Rabbit |
| Construction | Polyclonal Antibody |
| Purification | Antibodies were produced by immunizing rabbits with synthetic phosphopeptide and KLH conjugates. Antibodies were purified by affinity-chromatography using epitope-specific phosphopeptide. Non-phospho specific antibodies were removed by chromatogramphy using non-phosphopeptide. |
| Appearance | Liquid |
| Formulation | Supplied at 1.0mg/mL in phosphate buffered saline (without Mg2+ and Ca2+), pH 7.4, 150mM NaCl, 0.02% sodium azide and 50% glycerol. |
| Conjucates | Unconjugated |
| Others Formats | Phospho |
| Immunogen | Peptide sequence around phosphorylation site of serine 380(R-Y-S(p)-D-T) derived from Human PTEN |
| Antigen Species | human |
| Uniprot ID |
| Molecular Weight | Theoretical: 54 kDa. |
| Stability & Storage | Store at -20°C or -80°C for 12 months. Avoid repeated freeze-thaw cycles. |
| Transport | Shipping with blue ice. |
| Size | Quantity | Unit Price | Amount | Operation |
|---|

Copyright © 2015-2026 TargetMol Chemicals Inc. All Rights Reserved.