Shopping Cart
Remove All
Your shopping cart is currently empty
Anti-Phospho-PRKD1/2/3 (Ser738/742) Polyclonal Antibody is a Rabbit antibody targeting Phospho-PRKD1/2/3 (Ser738/742). Anti-Phospho-PRKD1/2/3 (Ser738/742) Polyclonal Antibody can be used in IHC,WB.
| Pack Size | Price | USA Warehouse | Global Warehouse | Quantity |
|---|---|---|---|---|
| 100 μL | $318 | 7-10 days | 7-10 days |
| Description | Anti-Phospho-PRKD1/2/3 (Ser738/742) Polyclonal Antibody is a Rabbit antibody targeting Phospho-PRKD1/2/3 (Ser738/742). Anti-Phospho-PRKD1/2/3 (Ser738/742) Polyclonal Antibody can be used in IHC,WB. |
| Synonyms | PRKD1/2/3 (p-Ser738/742), PRKD1/2/3 (p-S738/742), p-PRKD1/2/3 (Ser738/742), p-PRKD1/2/3 (S738/742) |
| Ig Type | IgG |
| Reactivity | Human,Mouse,Rat |
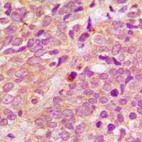
| Verified Activity | 1. Western blot analysis of PRKD1/2/3 (phospho-Ser738/S742) expression in HT29, rat astrocytes whole cell lysates. 2. Immunohistochemical analysis of PRKD1/2/3 (phospho-Ser738/Ser742) staining in human breast cancer formalin fixed paraffin embedded tissue section. The section was then incubated with the antibody at room temperature and detected using an HRP conjugated compact polymer system. DAB was used as the chromogen. The section was then counterstained with haematoxylin and mounted with DPX. ![]() ![]() |
| Application | |
| Recommended Dose | WB: 1:500-1000; IHC: 1:50-100 |
| Antibody Type | Polyclonal |
| Host Species | Rabbit |
| Construction | Polyclonal Antibody |
| Purification | The antibody was purified by immunogen affinity chromatography. |
| Appearance | Liquid |
| Formulation | Rabbit IgG in phosphate buffered saline (without Mg2+ and Ca2+), pH 7.4, 150mM NaCl, 0.02% sodium azide and 50% glycerol. |
| Conjucates | Unconjugated |
| Others Formats | Phospho |
| Immunogen | KLH conjugated synthetic peptide: encompassing a sequence within the C-term region of human PRKD1/2/3 |
| Antigen Species | human |
| Molecular Weight | Theoretical: 115 kDa. |
| Stability & Storage | Store at -20°C or -80°C for 12 months. Avoid repeated freeze-thaw cycles. |
| Transport | Shipping with blue ice. |
| Size | Quantity | Unit Price | Amount | Operation |
|---|

Copyright © 2015-2026 TargetMol Chemicals Inc. All Rights Reserved.