Shopping Cart
Remove All
Your shopping cart is currently empty
Anti-Phospho-PRKCA (Thr197) Polyclonal Antibody is a Rabbit antibody targeting Phospho-PRKCA (Thr197). Anti-Phospho-PRKCA (Thr197) Polyclonal Antibody can be used in IF,IHC,WB.
| Pack Size | Price | USA Warehouse | Global Warehouse | Quantity |
|---|---|---|---|---|
| 50 μL | $217 | 7-10 days | 7-10 days | |
| 100 μL | $316 | 7-10 days | 7-10 days |
| Description | Anti-Phospho-PRKCA (Thr197) Polyclonal Antibody is a Rabbit antibody targeting Phospho-PRKCA (Thr197). Anti-Phospho-PRKCA (Thr197) Polyclonal Antibody can be used in IF,IHC,WB. |
| Synonyms | Protein kinase C zeta, Protein kinase C gamma, Protein kinase C epsilon, Protein kinase C delta, Protein kinase C beta, Protein kinase C alpha, Protein kinase C, PRKCZ, PRKCG, PRKCE, PRKCD, PRKCB2, PRKCB1, PRKCB, PRKCA (p-Thr197), PRKCA (p-T197), PRKCA, p-PRKCA (Thr197), p-PRKCA (T197), PKCG, PKCE, PKCD, PKCB, PKC-alpha, PKC-A, PKCA, PKC2, PKC zeta, PKC gamma, PKC epsilon, PKC delta, PKC beta, PKC alpha, Phospho-PRKCA (T197), KPCA_HUMAN |
| Ig Type | IgG |
| Reactivity | Human,Mouse |
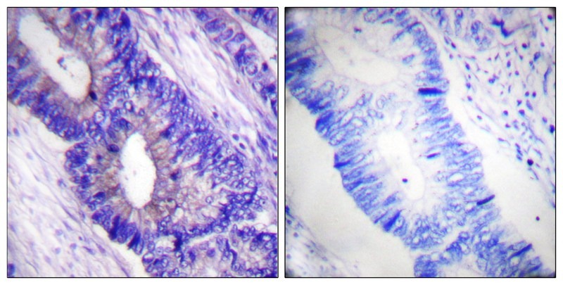
| Verified Activity | 1. Western blot analysis of extracts from mouse brain cells using PKA α/β CAT (Phospho-Thr197) Antibody TMAC-03308.The lane on the right is treated with the antigen-specific peptide. 2. Immunohistochemical analysis of paraffin-embedded human colon carcinoma tissue using PKA α/β CAT (Phospho-Thr197) antibody TMAC-03308 (left) or the same antibody preincubated with blocking peptide (right). 3. Immunofluorescence staining of methanol-fixed A549 cells using PKA α/β CAT (Phospho-Thr197) Antibody TMAC-03308. ![]() ![]() ![]() |
| Application | |
| Recommended Dose | WB: 1:500-1000; IHC: 1:50-100; IF: 1:100-200 |
| Antibody Type | Polyclonal |
| Host Species | Rabbit |
| Construction | Polyclonal Antibody |
| Purification | Antibodies were produced by immunizing rabbits with synthetic phosphopeptide and KLH conjugates. Antibodies were purified by affinity-chromatography using epitope-specific phosphopeptide. Non-phospho specific antibodies were removed by chromatogramphy using non-phosphopeptide. |
| Appearance | Liquid |
| Formulation | Rabbit IgG in phosphate buffered saline (without Mg2+ and Ca2+), pH 7.4, 150mM NaCl, 0.02% sodium azide and 50% glycerol. |
| Research Background | Phosphorylates a large number of substrates in the cytoplasm and the nucleus. Regulates the abundance of compartmentalized pools of its regulatory subunits through phosphorylation of PJA2 which binds and ubiquitinates these subunits, leading to their subsequent proteolysis. Phosphorylates CDC25B, ABL1, NFKB1, CLDN3, PSMC5/RPT6, PJA2, RYR2, RORA and VASP. RORA is activated by phosphorylation. Required for glucose-mediated adipogenic differentiation increase and osteogenic differentiation inhibition from osteoblasts. |
| Conjucates | Unconjugated |
| Others Formats | Phospho |
| Immunogen | Peptide sequence around phosphorylation site of threonine 197(T-W-T(p)-L-C) derived from Human PKA α/β CAT |
| Antigen Species | human |
| Molecular Weight | Actual: 40 kDa. |
| Stability & Storage | Store at -20°C or -80°C for 12 months. Avoid repeated freeze-thaw cycles. |
| Transport | Shipping with blue ice. |
| Size | Quantity | Unit Price | Amount | Operation |
|---|

Copyright © 2015-2026 TargetMol Chemicals Inc. All Rights Reserved.