Shopping Cart
Remove All
Your shopping cart is currently empty
Synonyms: Protein kinase AMP activated catalytic subunit alpha 2, Protein kinase AMP activated alpha 2 catalytic subunit, PRKAA2, PRKAA, p-AMPK alpha 2 (Ser345), p-AMPK alpha 2 (S345), Hydroxymethylglutaryl-CoA reductase kinase, HMGCR kinase, AMPK-a2AMPKalpha2, AMPKa2, AMPK2, AMPK subunit alpha-2, AMPK alpha 2 chain, AMPK alpha 2 (p-Ser345), AMPK alpha 2 (p-S345), AMPK a2, AMPK 2, Acetyl-CoA carboxylase kinase, ACACA kinase, AAPK2, AAPK1, 5'-AMP-activated protein kinase catalytic subunit alpha-2
| Pack Size | Price | USA Stock | Global Stock | Quantity |
|---|---|---|---|---|
| 50 μL | $298 | 7-10 days | 7-10 days | |
| 100 μL | $497 | 7-10 days | 7-10 days |
| Description | Anti-Phospho-PRKAA2 (Ser345) Antibody (4R913) is a Rabbit antibody targeting Phospho-PRKAA2 (Ser345). Anti-Phospho-PRKAA2 (Ser345) Antibody (4R913) can be used in ICC/IF,IHC,WB. |
| Synonyms | Protein kinase AMP activated catalytic subunit alpha 2, Protein kinase AMP activated alpha 2 catalytic subunit, PRKAA2, PRKAA, p-AMPK alpha 2 (Ser345), p-AMPK alpha 2 (S345), Hydroxymethylglutaryl-CoA reductase kinase, HMGCR kinase, AMPK-a2AMPKalpha2, AMPKa2, AMPK2, AMPK subunit alpha-2, AMPK alpha 2 chain, AMPK alpha 2 (p-Ser345), AMPK alpha 2 (p-S345), AMPK a2, AMPK 2, Acetyl-CoA carboxylase kinase, ACACA kinase, AAPK2, AAPK1, 5'-AMP-activated protein kinase catalytic subunit alpha-2 |
| Ig Type | IgG |
| Clone | 4R913 |
| Reactivity | Human,Mouse,Rat |
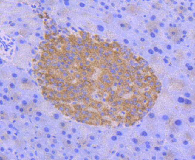
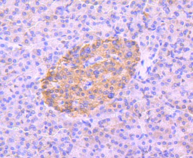
| Verified Activity | 1. Immunohistochemical analysis of paraffin-embedded human pancreas tissue using anti-Phospho-AMPK alpha 2 (S345) antibody. Counter stained with hematoxylin. 2. Immunohistochemical analysis of paraffin-embedded mouse pancreas tissue using anti-Phospho-AMPK alpha 2 (S345) antibody. Counter stained with hematoxylin. 3. ICC staining Phospho-AMPK alpha 2 (S345) in 293 cells (green). The nuclear counter stain is DAPI (blue). Cells were fixed in paraformaldehyde, permeabilised with 0.25% Triton X100/PBS. 4. ICC staining Phospho-AMPK alpha 2 (S345) in Hela cells (green). The nuclear counter stain is DAPI (blue). Cells were fixed in paraformaldehyde, permeabilised with 0.25% Triton X100/PBS. |
| Application | |
| Recommended Dose | WB: 1:500-1000; IHC: 1:50-100; ICC/IF: 1:50-200 |
| Antibody Type | Monoclonal |
| Host Species | Rabbit |
| Construction | Recombinant Antibody |
| Purification | ProA affinity purified |
| Appearance | Liquid |
| Formulation | 1*TBS (pH7.4), 1%BSA, 40%Glycerol. Preservative: 0.05% Sodium Azide. |
| Research Background | Five-prime-AMP-activated protein kinase, known as AMPK, is a heterotrimeric complex that comprises of a catalytic α subunit, and regulatory β and γ. AMPK protects cells from stresses that cause ATP depletion by switching off ATP-consuming biosynthetic pathways. AMPK is activated by high AMP and low ATP via a mechanism involving allosteric regulation, promotion of phosphorylation by an upstream protein kinase known as AMPK kinase (AMPKK), and inhibition of dephosphorylation. Activated AMPK can phosphorylate and regulate in vivo hydroxymethylglutaryl-CoA reductase and acetyl-CoA carboxylase, which are key regulatory enzymes of sterol synthesis and fatty acid synthesis, respectively. The human AMPKα1 gene maps to chromosome 5p12 and encodes a 548 amino acid protein. The major regulatory site phosphorylated by AMPKK on AMPKα has been identified as Thr 172 within the activation loop between the DFG and APE motifs of the alpha-subunits. |
| Conjucates | Unconjugated |
| Others Formats | Phospho |
| Immunogen | A synthesized phosphopeptide: human AMPK alpha 2 around the phosphorylation site of Ser345 |
| Antigen Species | human |
| Uniprot ID |
| Molecular Weight | Theoretical: 62 kDa. |
| Stability & Storage | Store at -20°C or -80°C for 12 months. Avoid repeated freeze-thaw cycles. |
| Transport | Shipping with blue ice. |
| Size | Quantity | Unit Price | Amount | Operation |
|---|

Copyright © 2015-2026 TargetMol Chemicals Inc. All Rights Reserved.