Shopping Cart
Remove All
Your shopping cart is currently empty
Anti-Phospho-PPP1R2 (Ser120, 121) Polyclonal Antibody is a Rabbit antibody targeting Phospho-PPP1R2 (Ser120, 121). Anti-Phospho-PPP1R2 (Ser120, 121) Polyclonal Antibody can be used in IHC.
| Pack Size | Price | USA Warehouse | Global Warehouse | Quantity |
|---|---|---|---|---|
| 50 μL | $217 | 7-10 days | 7-10 days | |
| 100 μL | $317 | 7-10 days | 7-10 days |
| Description | Anti-Phospho-PPP1R2 (Ser120, 121) Polyclonal Antibody is a Rabbit antibody targeting Phospho-PPP1R2 (Ser120, 121). Anti-Phospho-PPP1R2 (Ser120, 121) Polyclonal Antibody can be used in IHC. |
| Synonyms | p-PPP1R2 (Ser120, 121), p-PPP1R2 (S120, 121), PPP1R2 (p-Ser120, 121), PPP1R2 (p-S120, 121) |
| Ig Type | IgG |
| Reactivity | Human,Mouse,Rat |
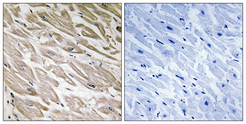
| Verified Activity | 1. Immunohistochemistry analysis of paraffin-embedded human heart tissue using PPP1R2 (Phospho-Ser120+Ser121) antibody TMAC-03404. The picture on the right is treated with the synthesized peptide. ![]() |
| Application | |
| Recommended Dose | IHC: 1:50-100 |
| Antibody Type | Polyclonal |
| Host Species | Rabbit |
| Construction | Polyclonal Antibody |
| Purification | Antibodies were produced by immunizing rabbits with synthetic phosphopeptide and KLH conjugates. Antibodies were purified by affinity-chromatography using epitope-specific phosphopeptide. Non-phospho specific antibodies were removed by chromatogramphy using non-phosphopeptide. |
| Appearance | Liquid |
| Formulation | Rabbit IgG in phosphate buffered saline (without Mg2+ and Ca2+), pH 7.4, 150mM NaCl, 0.02% sodium azide and 50% glycerol. |
| Research Background | Inhibitor of protein-phosphatase 1. |
| Conjucates | Unconjugated |
| Others Formats | Phospho |
| Immunogen | Peptide sequence around phosphorylation site of serine 120 and serine 121 (Q-E-S(p)-S(p)-GE) derived from Human PPP1R2 |
| Antigen Species | human |
| Uniprot ID |
| Molecular Weight | Theoretical: 23 kDa. |
| Stability & Storage | Store at -20°C or -80°C for 12 months. Avoid repeated freeze-thaw cycles. |
| Transport | Shipping with blue ice. |
| Size | Quantity | Unit Price | Amount | Operation |
|---|

Copyright © 2015-2026 TargetMol Chemicals Inc. All Rights Reserved.