Shopping Cart
Remove All
Your shopping cart is currently empty
Anti-Phospho-PP2A (Tyr307) Antibody (2E533) is a Rabbit antibody targeting Phospho-PP2A (Tyr307). Anti-Phospho-PP2A (Tyr307) Antibody (2E533) can be used in ICC/IF,IHC,IP,WB.
| Pack Size | Price | USA Warehouse | Global Warehouse | Quantity |
|---|---|---|---|---|
| 50 μL | $296 | 7-10 days | 7-10 days | |
| 100 μL | $497 | 7-10 days | 7-10 days |
| Description | Anti-Phospho-PP2A (Tyr307) Antibody (2E533) is a Rabbit antibody targeting Phospho-PP2A (Tyr307). Anti-Phospho-PP2A (Tyr307) Antibody (2E533) can be used in ICC/IF,IHC,IP,WB. |
| Synonyms | p-PP2A (Y307), p-PP2A (Tyr307), PP2A (p-Y307), PP2A (p-Tyr307) |
| Ig Type | IgG |
| Clone | 2E533 |
| Reactivity | Human,Mouse,Rat |
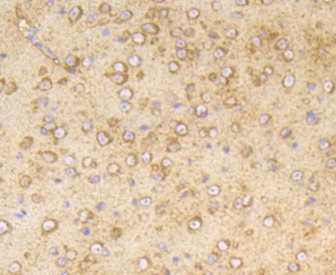
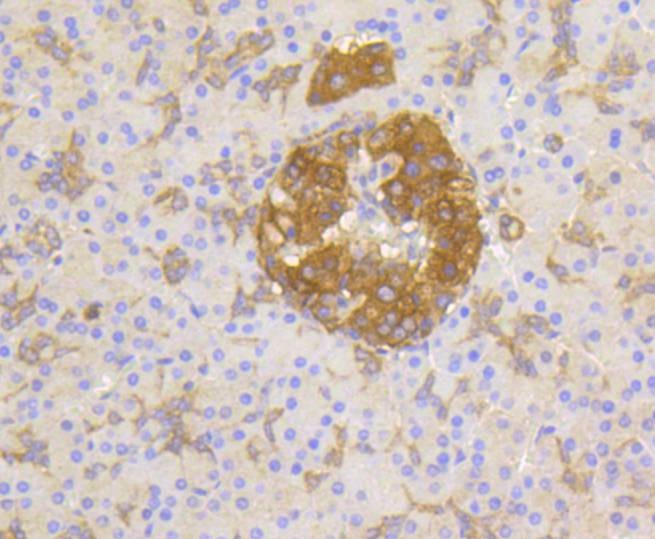
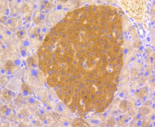
| Verified Activity | 1. Western blot analysis of Phospho-PP2A (pY307) on different lysates using anti-Phospho-PP2A (pY307) antibody at 1/1,000 dilution. Positive control: Lane 1: A431, Lane 2: F9, Lane 3: PC12. 2. Immunohistochemical analysis of paraffin-embedded human pancreas tissue using anti-Phospho-PP2A (pY307) antibody. Counter stained with hematoxylin. 3. Immunohistochemical analysis of paraffin-embedded mouse brain tissue using anti-Phospho-PP2A (pY307) antibody. Counter stained with hematoxylin. 4. Immunohistochemical analysis of paraffin-embedded mouse pancreas tissue using anti-Phospho-PP2A (pY307) antibody. Counter stained with hematoxylin. 5. ICC staining Phospho-PP2A (pY307) in PC12 cells (green). The nuclear counter stain is DAPI (blue). Cells were fixed in paraformaldehyde, permeabilised with 0.25% Triton X100/PBS. ![]() ![]() ![]() ![]() ![]() |
| Application | |
| Recommended Dose | WB: 1:1000-5000; IHC: 1:50-200; ICC/IF: 1:50-200 |
| Antibody Type | Monoclonal |
| Host Species | Rabbit |
| Construction | Recombinant Antibody |
| Purification | ProA affinity purified |
| Appearance | Liquid |
| Formulation | 1*TBS (pH7.4), 1%BSA, 40%Glycerol. Preservative: 0.05% Sodium Azide. |
| Research Background | Protein phosphatase type 2A (PP2A) is an essential protein serine/threonine phosphatase that is conserved in all eukaryotes. PP2A is a key enzyme within various signal transduction pathways as it regulates fundamental cellular activities such as DNA replication, transcription, translation, metabolism, cell cycle progression, cell division, apoptosis and development. The core enzyme consists of catalytic C and regulatory A (or PR65) subunits, with each subunit represented by α and β isoforms. Additional regulatory subunits belong to four different families of unrelated proteins. Both the B (or PR55) and B' regulatory protein families contain α, β, γ and δ isoforms, with the B' family also including an ε protein. B'' family proteins include PR72, PR130, PR59 and PR48 isoforms, while striatin (PR110) and SG2NA (PR93) are both members of the B''' regulatory protein family. These B subunits competitively bind to a shared binding site on the core A subunit. This variable array of holoenzyme components, particularly regulatory B subunits, allows PP2A to act in a diverse set of functions. PP2A function is regulated by expression, localization, holoenzyme composition and post-translational modification. Phosphorylation of PP2A at Tyr307 by Src occurs in response to EGF or insulin and results in a substantial reduction of PP2A activity. Reversible methylation on the carboxyl group of Leu309 of PP2A has been observed. Methylation alters the conformation of PP2A, as well as its localization and association with B regulatory subunits. |
| Conjucates | Unconjugated |
| Others Formats | Phospho |
| Immunogen | A synthesized phosphopeptide: human PP2A around the phosphorylation site of Tyr307 |
| Antigen Species | human |
| Uniprot ID |
| Molecular Weight | Theoretical: 35 kDa. |
| Stability & Storage | Store at -20°C or -80°C for 12 months. Avoid repeated freeze-thaw cycles. |
| Transport | Shipping with blue ice. |
| Size | Quantity | Unit Price | Amount | Operation |
|---|

Copyright © 2015-2026 TargetMol Chemicals Inc. All Rights Reserved.