Shopping Cart
Remove All
Your shopping cart is currently empty
Anti-Phospho-PKM2 (Tyr105) Polyclonal Antibody is a Rabbit antibody targeting Phospho-PKM2 (Tyr105). Anti-Phospho-PKM2 (Tyr105) Polyclonal Antibody can be used in ELISA,FCM,IF,IHC-Fr,IHC-P.
| Pack Size | Price | USA Warehouse | Global Warehouse | Quantity |
|---|---|---|---|---|
| 50 μL | $220 | 7-10 days | 7-10 days | |
| 100 μL | $374 | 7-10 days | 7-10 days | |
| 200 μL | $529 | 7-10 days | 7-10 days |
| Description | Anti-Phospho-PKM2 (Tyr105) Polyclonal Antibody is a Rabbit antibody targeting Phospho-PKM2 (Tyr105). Anti-Phospho-PKM2 (Tyr105) Polyclonal Antibody can be used in ELISA,FCM,IF,IHC-Fr,IHC-P. |
| Synonyms | THBP1, TCB, pyruvate kinase, muscle, p-PKM2 (Y105), p-PKM2 (Tyr105), PKM2 (p-Y105), PKM2 (p-Tyr105), PKM2, PK3, OIP3, HEL-S-30, CTHBP |
| Ig Type | IgG |
| Reactivity | Human,Rat,Rabbit (predicted:Mouse,Dog,Pig,Cow,Horse,GuineaPig) |
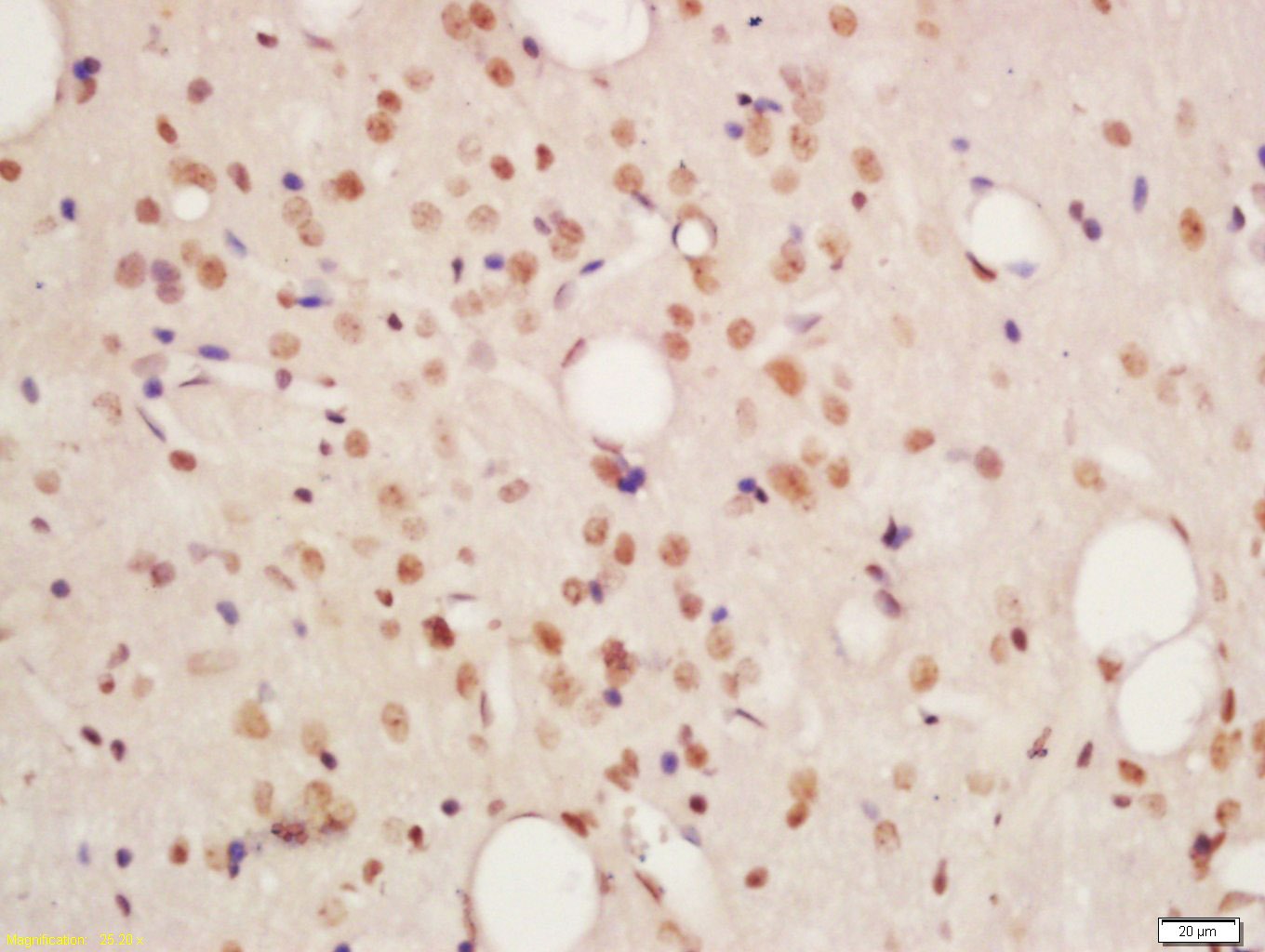
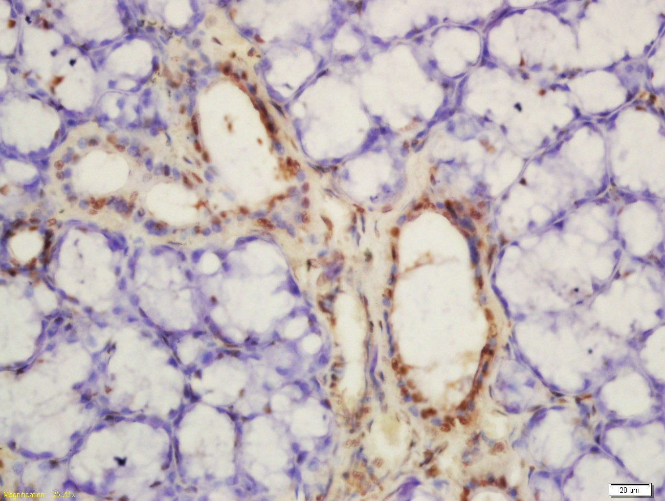
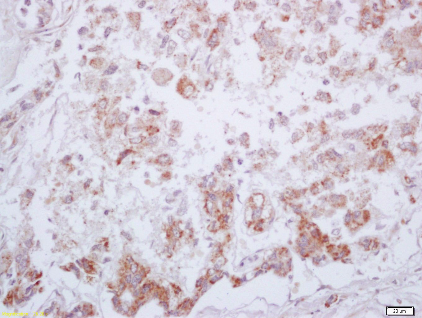
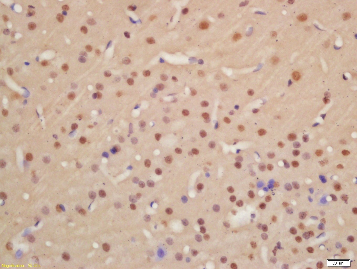
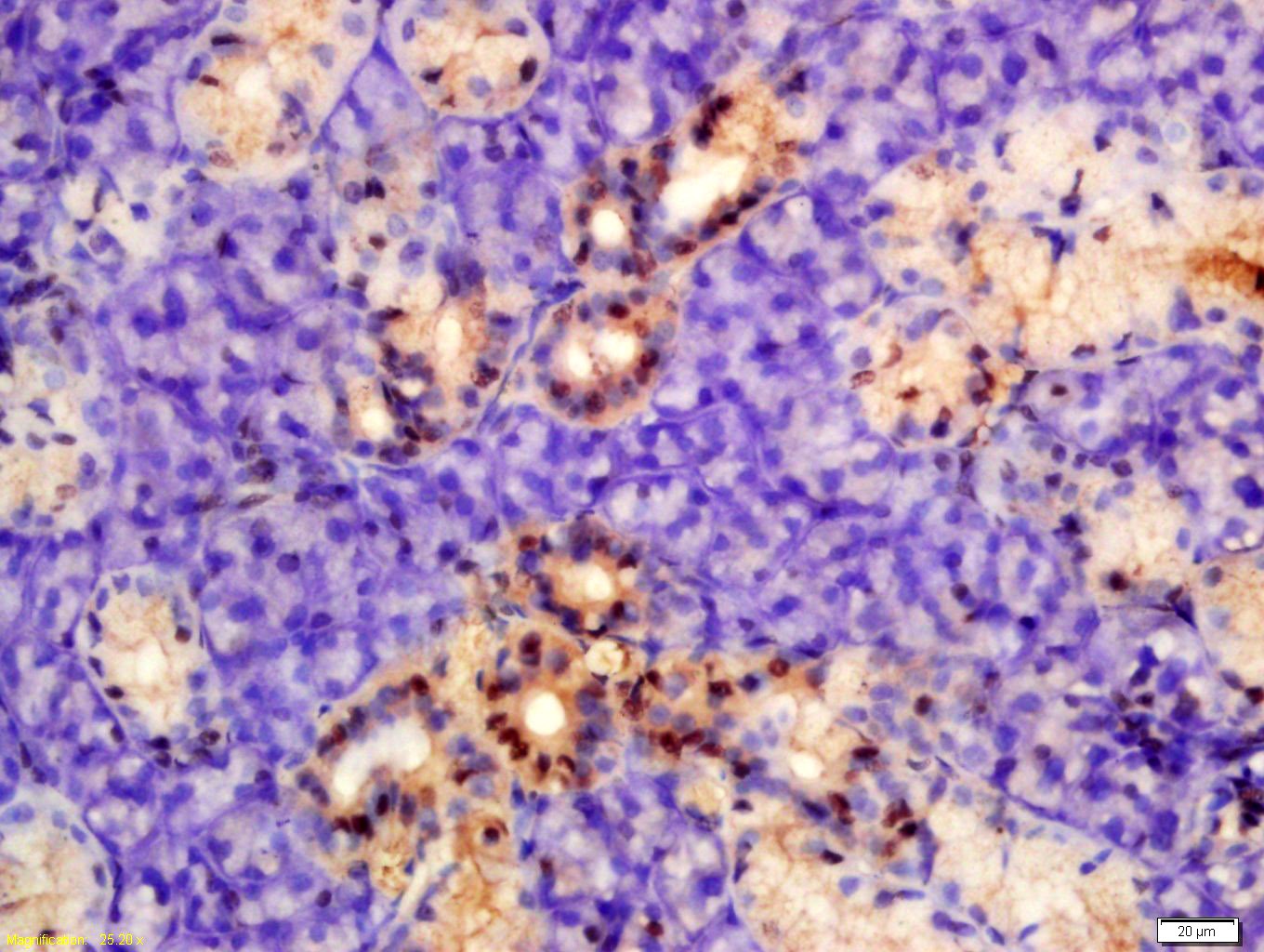
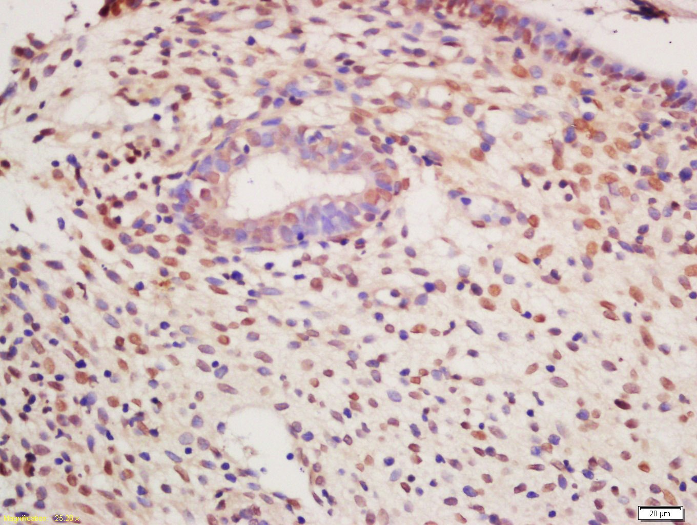
| Verified Activity | 1. phosphopeptide non phosphopeptide 2. Tissue/cell: human liver carcinoma; 4% Paraformaldehyde-fixed and paraffin-embedded; Antigen retrieval: citrate buffer (0.01M, pH6.0), Boiling bathing for 15 min; Block endogenous peroxidase by 3% Hydrogen peroxide for 30 min; Blocking buffer (normal goat serum) at 37°C for 20 min; Incubation: Anti-Phospho-PKM2 (Tyr105) Polyclonal Antibody, Unconjugated (TMAB-01482) 1:200, overnight at 4°C, followed by conjugation to the secondary antibody and DAb staining. 3. Tissue/cell: Rat Thyroid tissue; 4% Paraformaldehyde-fixed and paraffin-embedded; Antigen retrieval: citrate buffer (0.01M, pH6.0), Boiling bathing for 15 min; Block endogenous peroxidase by 3% Hydrogen peroxide for 30 min; Blocking buffer (normal goat serum) at 37°C for 20 min; Incubation: Anti-Phospho-NMDAR1 (Ser890) Polyclonal Antibody, Unconjugated (TMAB-01482) 1:200, overnight at 4°C, followed by conjugati Phospho-PKM2on to the secondary antibody and DAb staining. 4. Tissue/cell: rat brain tissue; 4% Paraformaldehyde-fixed and paraffin-embedded; Antigen retrieval: citrate buffer (0.01M, pH6.0), Boiling bathing for 15 min; Block endogenous peroxidase by 3% Hydrogen peroxide for 30 min; Blocking buffer (normal goat serum) at 37°C for 20 min; Incubation: Anti-Phospho-PKM2 Polyclonal Antibody, Unconjugated (TMAB-01482) 1:200, overnight at 4°C, followed by conjugation to the secondary antibody and DAb staining. 5. Tissue/cell: rat thyroid tissue; 4% Paraformaldehyde-fixed and paraffin-embedded; Antigen retrieval: citrate buffer (0.01M, pH6.0), Boiling bathing for 15 min; Block endogenous peroxidase by 3% Hydrogen peroxide for 30 min; Blocking buffer (normal goat serum) at 37°C for 20 min; Incubation: Anti-Phospho-PKM2 (Tyr105) Polyclonal Antibody, Unconjugated (TMAB-01482) 1:200, overnight at 4°C, followed by conjugation to the secondary antibody and DAb staining. 6. Tissue/cell: rat brain tissue; 4% Paraformaldehyde-fixed and paraffin-embedded; Antigen retrieval: citrate buffer (0.01M, pH6.0), Boiling bathing for 15 min; Block endogenous peroxidase by 3% Hydrogen peroxide for 30 min; Blocking buffer (normal goat serum) at 37°C for 20 min; Incubation: Anti-Phospho-PKM2 (Tyr105) Polyclonal Antibody, Unconjugated (TMAB-01482) 1:200, overnight at 4°C, followed by conjugation to the secondary antibody and DAb staining. 7. Tissue/cell: human endometrium tissue; 4% Paraformaldehyde-fixed and paraffin-embedded; Antigen retrieval: citrate buffer (0.01M, pH6.0), Boiling bathing for 15 min; Block endogenous peroxidase by 3% Hydrogen peroxide for 30 min; Blocking buffer (normal goat serum) at 37°C for 20 min; Incubation: Anti-Phospho-PKM2 (Tyr105) Polyclonal Antibody, Unconjugated (TMAB-01482) 1:200, overnight at 4°C, followed by conjugation to the secondary antibody and DAb staining. 8. Blank control: A549. Primary Antibody (green line): Rabbit Anti-Phospho-PKM2 (Tyr105) antibody (TMAB-01482) Dilution: 1 μg/10^6 cells; Isotype Control Antibody (orange line): Rabbit IgG. Secondary Antibody: Goat anti-rabbit IgG-AF488 Dilution: 1 μg/test. Protocol The cells were fixed with 4% PFA (10 min at room temperature) and then permeabilized with 0.1% PBST for 20 min at room temperature. The cells were then incubated in 5% BSA to block non-specific protein-protein interactions for 30 min at room temperature. Cells stained with Primary Antibody for 30 min at room temperature. The secondary antibody used for 40 min at room temperature. ![]() ![]() ![]() ![]() ![]() ![]() ![]() ![]() |
| Application | |
| Recommended Dose | IHC-P: 1:100-500; IHC-Fr: 1:100-500; IF: 1:100-500; FCM: 1ug/Test; ELISA: 1:5000-10000 |
| Antibody Type | Polyclonal |
| Host Species | Rabbit |
| Subcellular Localization | Cytoplasm. Nucleus. Note=Translocates to the nucleus in response to different apoptotic stimuli. Nuclear translocation is sufficient to induce cell death that is caspase independent, isoform-specific and independent of its enzymatic activity. |
| Tissue Specificity | Specifically expressed in proliferating cells, such as embryonic stem cells, embryonic carcinoma cells, as well as cancer cells. |
| Construction | Polyclonal Antibody |
| Purification | Protein A purified |
| Appearance | Liquid |
| Formulation | 0.01M TBS (pH7.4) with 1% BSA, 0.02% Proclin300 and 50% Glycerol. |
| Concentration | 1 mg/mL |
| Research Background | The protein encoded by this gene is a pyruvate kinase that catalyzes the production of phosphoenolpyruvate from pyruvate and ATP. This protein has been shown to interact with thyroid hormone, and thus may mediate cellular metabolic effects induced by thyroid hormones. This protein has been found to bind Opa protein, a bacterial outer membrane protein involved in gonococcal adherence to and invasion of human cells, suggesting a role of this protein in bacterial pathogenesis. Three alternatively spliced transcript variants encoding two distinct isoforms have been reported. |
| Immunogen | KLH conjugated Synthesised phosphopeptide: human PKM2 around the phosphorylation site of Tyr105 |
| Antigen Species | Human |
| Gene Name | PKM |
| Gene ID | |
| Protein Name | Pyruvate kinase PKM |
| Uniprot ID | |
| Biology Area | Energy Metabolism,Energy Metabolism,Carbohydrate metabolism,Kinases/Phosphatases,Enzymes,Metabolism of carbohydrates |
| Function | Glycolytic enzyme that catalyzes the transfer of a phosphoryl group from phosphoenolpyruvate (PEP) to ADP, generating ATP. Stimulates POU5F1-mediated transcriptional activation. Plays a general role in caspase independent cell death of tumor cells. The ratio betwween the highly active tetrameric form and nearly inactive dimeric form determines whether glucose carbons are channeled to biosynthetic processes or used for glycolytic ATP production. The transition between the 2 forms contributes to the control of glycolysis and is important for tumor cell proliferation and survival. |
| Molecular Weight | Theoretical: 58 kDa. |
| Stability & Storage | Store at -20°C or -80°C for 12 months. Avoid repeated freeze-thaw cycles. |
| Transport | Shipping with blue ice. |
| Size | Quantity | Unit Price | Amount | Operation |
|---|

Copyright © 2015-2026 TargetMol Chemicals Inc. All Rights Reserved.