Shopping Cart
Remove All
Your shopping cart is currently empty
Anti-Phospho-PE2 (Thr526) Polyclonal Antibody is a Rabbit antibody targeting Phospho-PE2 (Thr526). Anti-Phospho-PE2 (Thr526) Polyclonal Antibody can be used in IF,IHC,WB.
| Pack Size | Price | USA Warehouse | Global Warehouse | Quantity |
|---|---|---|---|---|
| 100 μL | $317 | 7-10 days | 7-10 days |
| Description | Anti-Phospho-PE2 (Thr526) Polyclonal Antibody is a Rabbit antibody targeting Phospho-PE2 (Thr526). Anti-Phospho-PE2 (Thr526) Polyclonal Antibody can be used in IF,IHC,WB. |
| Synonyms | p-PE2 (Thr526), p-PE2 (T526), PE2 (p-Thr526), PE2 (p-T526) |
| Ig Type | IgG |
| Reactivity | Human,Mouse,Rat |
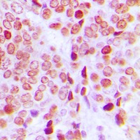
| Verified Activity | 1. Western blot analysis of PE2 (phospho-Thr526) expression in HEK293, MCF7, mouse lung, rat lung whole cell lysates. 2. Immunohistochemical analysis of PE2 (phospho-Thr526) staining in human ovarian cancer formalin fixed paraffin embedded tissue section. The section was then incubated with the antibody at room temperature and detected using an HRP conjugated compact polymer system. DAB was used as the chromogen. The section was then counterstained with haematoxylin and mounted with DPX. 3. Immunofluorescent analysis of PE2 (phospho-Thr526) staining in HeLa cells. Formalin-fixed cells were permeabilized with 0.1% Triton X-100 in TBS for 5-10 minutes and blocked with 3% BSA-PBS for 30 minutes at room temperature. Cells were probed with the primary antibody in 3% BSA-PBS and incubated overnight at 4 C in a hidified chamber. Cells were washed with PBST and incubated with a DyLight 594-conjugated secondary antibody (red) in PBS at room temperature in the dark. ![]() ![]() ![]() |
| Application | |
| Recommended Dose | WB: 1:500-1000; IHC: 1:50-100; IF:1:100-300 |
| Antibody Type | Polyclonal |
| Host Species | Rabbit |
| Construction | Polyclonal Antibody |
| Purification | The antibody was purified by immunogen affinity chromatography. |
| Appearance | Liquid |
| Formulation | Rabbit IgG in phosphate buffered saline (without Mg2+ and Ca2+), pH 7.4, 150mM NaCl, 0.02% sodium azide and 50% glycerol. |
| Conjucates | Unconjugated |
| Others Formats | Phospho |
| Immunogen | KLH conjugated synthetic peptide: encompassing a sequence within the C-term region of human PE2 |
| Antigen Species | human |
| Uniprot ID |
| Molecular Weight | Theoretical: 90 kDa. |
| Stability & Storage | Store at -20°C or -80°C for 12 months. Avoid repeated freeze-thaw cycles. |
| Transport | Shipping with blue ice. |
| Size | Quantity | Unit Price | Amount | Operation |
|---|

Copyright © 2015-2026 TargetMol Chemicals Inc. All Rights Reserved.