Shopping Cart
Remove All
Your shopping cart is currently empty
Anti-Phospho-PAK1/2/3 (Thr423/402/421) Polyclonal Antibody is a Rabbit antibody targeting Phospho-PAK1/2/3 (Thr423/402/421). Anti-Phospho-PAK1/2/3 (Thr423/402/421) Polyclonal Antibody can be used in IF,IHC.
| Pack Size | Price | USA Warehouse | Global Warehouse | Quantity |
|---|---|---|---|---|
| 50 μL | $216 | 7-10 days | 7-10 days | |
| 100 μL | $316 | 7-10 days | 7-10 days |
| Description | Anti-Phospho-PAK1/2/3 (Thr423/402/421) Polyclonal Antibody is a Rabbit antibody targeting Phospho-PAK1/2/3 (Thr423/402/421). Anti-Phospho-PAK1/2/3 (Thr423/402/421) Polyclonal Antibody can be used in IF,IHC. |
| Synonyms | p-PAK1/PAK2/PAK3 (Thr423/402/421), p-PAK1/PAK2/PAK3 (T423/402/421), Phospho-PAK1/PAK2/PAK3 (T423/402/421), PAK1/PAK2/PAK3 (p-Thr423/402/421), PAK1/PAK2/PAK3 (p-T423/402/421) |
| Ig Type | IgG |
| Reactivity | Human,Mouse,Rat |
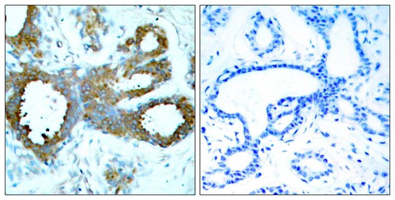
| Verified Activity | 1. Immunohistochemical analysis of paraffin-embedded human breast carcinoma tissue using PAK1/PAK2/PAK3 (Phospho-Thr423/Thr402/Thr421) Antibody TMAC-03053 (left) or the same antibody preincubated with blocking peptide (right). 2. Immunofluorescence staining of methanol-fixed Hela cells using PAK1/PAK2/PAK3 (Phospho-Thr423/Thr402/Thr421) Antibody TMAC-03053. ![]() ![]() |
| Application | |
| Antibody Type | Polyclonal |
| Host Species | Rabbit |
| Construction | Polyclonal Antibody |
| Purification | Antibodies were produced by immunizing rabbits with synthetic phosphopeptide and KLH conjugates. Antibodies were purified by affinity-chromatography using epitope-specific phosphopeptide. Non-phospho specific antibodies were removed by chromatogramphy using non-phosphopeptide. |
| Appearance | Liquid |
| Formulation | Supplied at 1.0mg/mL in phosphate buffered saline (without Mg2+ and Ca2+), pH 7.4, 150mM NaCl, 0.02% sodium azide and 50% glycerol. |
| Research Background | The activated kinase acts on a variety of targets. Likely to be the GTPase effector that links the Rho-related GTPases to the JNK MAP kinase pathway. Activated by CDC42 and RAC1. Involved in dissolution of stress fibers and reorganization of focal complexes. Involved in regulation of microtubule biogenesis through phosphorylation of TBCB. Activity is inhibited in cells undergoing apoptosis, potentially due to binding of CDC2L1 and CDC2L2. |
| Conjucates | Unconjugated |
| Others Formats | Phospho |
| Immunogen | Peptide sequence around phosphorylation site of threonine 423 /402/421 (R-S-T(p)-M-V) derived from Human PAK1/PAK2/PAK3 |
| Antigen Species | human |
| Uniprot ID |
| Stability & Storage | Store at 2°C-8°C for 1 month. Store at -20°C or -80°C for 12 months. Avoid repeated freeze-thaw cycles. |
| Transport | Shipping with blue ice. |
| Size | Quantity | Unit Price | Amount | Operation |
|---|

Copyright © 2015-2026 TargetMol Chemicals Inc. All Rights Reserved.