Shopping Cart
Remove All
Your shopping cart is currently empty
Anti-Phospho-PAK1/2/3 (Ser139) Antibody (4F435) is a Rabbit antibody targeting Phospho-PAK1/2/3 (Ser139). Anti-Phospho-PAK1/2/3 (Ser139) Antibody (4F435) can be used in FCM,ICC/IF,IHC,IP,WB.
| Pack Size | Price | USA Warehouse | Global Warehouse | Quantity |
|---|---|---|---|---|
| 50 μL | $297 | 7-10 days | 7-10 days | |
| 100 μL | $498 | 7-10 days | 7-10 days |
| Description | Anti-Phospho-PAK1/2/3 (Ser139) Antibody (4F435) is a Rabbit antibody targeting Phospho-PAK1/2/3 (Ser139). Anti-Phospho-PAK1/2/3 (Ser139) Antibody (4F435) can be used in FCM,ICC/IF,IHC,IP,WB. |
| Synonyms | p-PAK1/PAK2/PAK3 (Ser139), p-PAK1/PAK2/PAK3 (S139), Phospho-PAK1/PAK2/PAK3 (S139), PAK1/PAK2/PAK3 (p-Ser139), PAK1/PAK2/PAK3 (p-S139) |
| Ig Type | IgG |
| Clone | 4F435 |
| Reactivity | Human,Mouse,Rat |
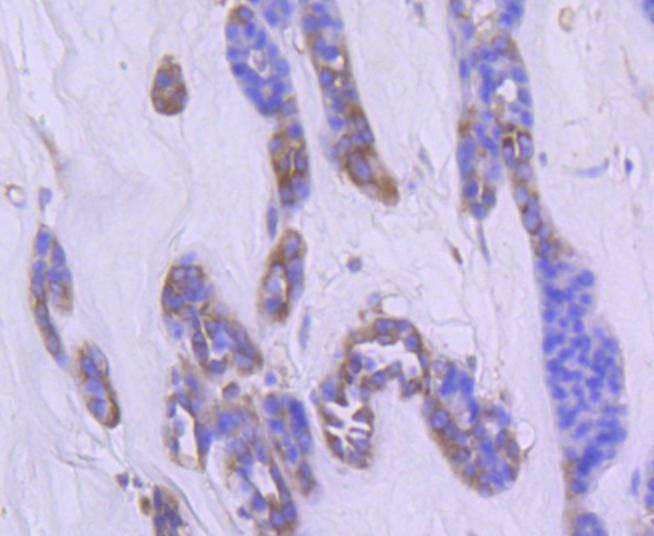
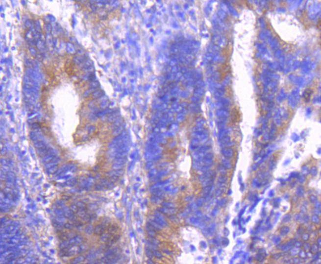
| Verified Activity | 1. Western blot analysis of Phospho-PAK1 (S144)+PAK2 (S141)+PAK3 (S139) on different lysates using anti-Phospho-PAK1 (S144)+PAK2 (S141)+PAK3 (S139) antibody at 1/1,000 dilution. Positive control: Lane 1: Hela, Lane 2: NIH/3T3, Lane 3: SH-SY-5Y. 2. Immunohistochemical analysis of paraffin-embedded human liver cancer tissue using anti-Phospho-PAK1 (S144)+PAK2(S141)+PAK3 (S139) antibody. Counter stained with hematoxylin. 3. Immunohistochemical analysis of paraffin-embedded human colon cancer tissue using anti-Phospho-PAK1 (S144)+PAK2 (S141)+PAK3 (S139) antibody. Counter stained with hematoxylin. 4. Immunohistochemical analysis of paraffin-embedded mouse brain tissue using anti-Phospho-PAK1(S144)+PAK2(S141)+PAK3(S139) antibody. Counter stained with hematoxylin. 5. ICC staining Phospho-PAK1 (S144)+PAK2 (S141)+PAK3 (S139) in Hela cells (green). The nuclear counter stain is DAPI (blue). Cells were fixed in paraformaldehyde, permeabilised with 0.25% Triton X100/PBS. 6. ICC staining Phospho-PAK1 (S144)+PAK2 (S141)+PAK3 (S139) in NIH/3T3 cells (green). The nuclear counter stain is DAPI (blue). Cells were fixed in paraformaldehyde, permeabilised with 0.25% Triton X100/PBS. 7. Flow cytometric analysis of NIH/3T3 cells with Phospho-PAK1 (S144)+PAK2 (S141)+PAK3 (S139) antibody at 1/50 dilution (red) compared with an unlabelled control (cells without incubation with primary antibody; black). Alexa Fluor 488-conjugated goat anti rabbit IgG was used as the secondary antibody. ![]() ![]() ![]() ![]() ![]() ![]() ![]() |
| Application | |
| Recommended Dose | WB: 1:1000-2000; IHC: 1:50-200; ICC/IF: 1:50-200; FCM: 1:50-100 |
| Antibody Type | Monoclonal |
| Host Species | Rabbit |
| Construction | Recombinant Antibody |
| Purification | ProA affinity purified |
| Appearance | Liquid |
| Formulation | 1*TBS (pH7.4), 1%BSA, 40%Glycerol. Preservative: 0.05% Sodium Azide. |
| Research Background | Cytoplasm, Cell membrane. |
| Conjucates | Unconjugated |
| Others Formats | Phospho |
| Immunogen | A synthesized phosphopeptide: human PAK1 around the phosphorylation site of Ser144 |
| Antigen Species | human |
| Molecular Weight | Theoretical: 65 kDa. |
| Stability & Storage | Store at -20°C or -80°C for 12 months. Avoid repeated freeze-thaw cycles. |
| Transport | Shipping with blue ice. |
| Size | Quantity | Unit Price | Amount | Operation |
|---|

Copyright © 2015-2026 TargetMol Chemicals Inc. All Rights Reserved.