Shopping Cart
Remove All
Your shopping cart is currently empty
Anti-Phospho-p62Dok (Tyr398) Polyclonal Antibody is a Rabbit antibody targeting Phospho-p62Dok (Tyr398). Anti-Phospho-p62Dok (Tyr398) Polyclonal Antibody can be used in IHC,WB.
| Pack Size | Price | USA Warehouse | Global Warehouse | Quantity |
|---|---|---|---|---|
| 50 μL | $218 | 7-10 days | 7-10 days | |
| 100 μL | $316 | 7-10 days | 7-10 days |
| Description | Anti-Phospho-p62Dok (Tyr398) Polyclonal Antibody is a Rabbit antibody targeting Phospho-p62Dok (Tyr398). Anti-Phospho-p62Dok (Tyr398) Polyclonal Antibody can be used in IHC,WB. |
| Synonyms | p-p62Dok (Y398), p-p62Dok (Tyr398), p62Dok (p-Y398), p62Dok (p-Tyr398) |
| Ig Type | IgG |
| Reactivity | Human |
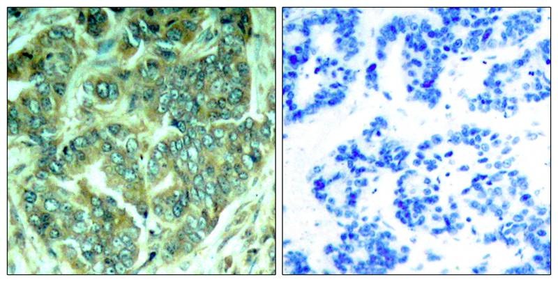
| Verified Activity | 1. Western blot analysis of extracts from K562 cells untreated or treated with H2O2 using p62Dok (phospho-Tyr398) Antibody TMAC-03009. 2. Immunohistochemical analysis of paraffin-embedded human breast carcinoma tissue using p62Dok (Phospho-Tyr398) Antibody TMAC-03009 (left) or the same antibody preincubated with blocking peptide (right). ![]() ![]() |
| Application | |
| Antibody Type | Polyclonal |
| Host Species | Rabbit |
| Construction | Polyclonal Antibody |
| Purification | Antibodies were produced by immunizing rabbits with synthetic phosphopeptide and KLH conjugates. Antibodies were purified by affinity-chromatography using epitope-specific phosphopeptide. Non-phospho specific antibodies were removed by chromatogramphy using non-phosphopeptide. |
| Appearance | Liquid |
| Formulation | Supplied at 1.0mg/mL in phosphate buffered saline (without Mg2+ and Ca2+), pH 7.4, 150mM NaCl, 0.02% sodium azide and 50% glycerol. |
| Research Background | DOK proteins are enzymatically inert adaptor or scaffolding proteins. They provide a docking platform for the assembly of multimolecular signaling complexes. DOK1 appears to be a negative regulator of the insulin signaling pathway. Modulates integrin activation by competing with talin for the same binding site on ITGB3. |
| Conjucates | Unconjugated |
| Others Formats | Phospho |
| Immunogen | Peptide sequence around phosphorylation site of tyrosine 398 (E-G-Y(p)-E-L) derived from Human p62Dok |
| Antigen Species | human |
| Uniprot ID |
| Stability & Storage | Store at 2°C-8°C for 1 month. Store at -20°C or -80°C for 12 months. Avoid repeated freeze-thaw cycles. |
| Transport | Shipping with blue ice. |
| Size | Quantity | Unit Price | Amount | Operation |
|---|

Copyright © 2015-2026 TargetMol Chemicals Inc. All Rights Reserved.