Shopping Cart
Remove All
Your shopping cart is currently empty
Anti-Phospho-p53 (Ser6) Polyclonal Antibody is a Rabbit antibody targeting Phospho-p53 (Ser6). Anti-Phospho-p53 (Ser6) Polyclonal Antibody can be used in ELISA,IF,IHC,IP,WB.
| Pack Size | Price | USA Warehouse | Global Warehouse | Quantity |
|---|---|---|---|---|
| 50 μL | $218 | 7-10 days | 7-10 days | |
| 100 μL | $317 | 7-10 days | 7-10 days |
| Description | Anti-Phospho-p53 (Ser6) Polyclonal Antibody is a Rabbit antibody targeting Phospho-p53 (Ser6). Anti-Phospho-p53 (Ser6) Polyclonal Antibody can be used in ELISA,IF,IHC,IP,WB. |
| Synonyms | p-p53 (Ser6), p-p53 (S6), p53 (p-Ser6), p53 (p-S6) |
| Ig Type | IgG |
| Reactivity | Human,Monkey |
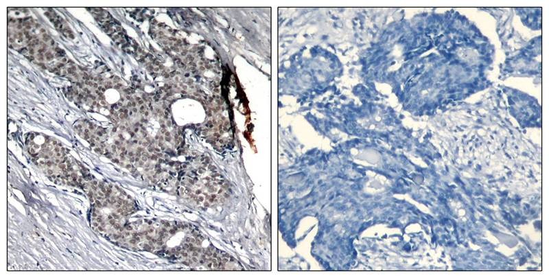
| Verified Activity | 1. Western blot analysis of extracts from HT29 and Hela cells untreated or treated with UV using p53 (Phospho-Ser6) Antibody TMAC-03000. 2. Immunohistochemical analysis of paraffin-embedded human breast carcinoma tissue using p53 (Phospho-Ser6) Antibody TMAC-03000 (left) or the same antibody preincubated with blocking peptide (right). ![]() ![]() |
| Application | |
| Antibody Type | Polyclonal |
| Host Species | Rabbit |
| Construction | Polyclonal Antibody |
| Purification | Antibodies were produced by immunizing rabbits with synthetic phosphopeptide and KLH conjugates. Antibodies were purified by affinity-chromatography using epitope-specific phosphopeptide. Non-phospho specific antibodies were removed by chromatogramphy using non-phosphopeptide. |
| Appearance | Liquid |
| Formulation | Supplied at 1.0mg/mL in phosphate buffered saline (without Mg2+ and Ca2+), pH 7.4, 150mM NaCl, 0.02% sodium azide and 50% glycerol. |
| Research Background | Acts as a tumor suppressor in many tumor types; induces growth arrest or apoptosis depending on the physiological circumstances and cell type. Involved in cell cycle regulation as a trans-activator that acts to negatively regulate cell division by controlling a set of genes required for this process. One of the activated genes is an inhibitor of cyclin-dependent kinases. Apoptosis induction seems to be mediated either by stimulation of BAX and FAS antigen expression, or by repression of Bcl-2 expression. Implicated in Notch signaling cross-over. |
| Conjucates | Unconjugated |
| Others Formats | Phospho |
| Immunogen | Peptide sequence around phosphorylation site of serine 6 (P-Q-S(p)-D-P) derived from Human p53 |
| Antigen Species | human |
| Uniprot ID |
| Stability & Storage | Store at 2°C-8°C for 1 month. Store at -20°C or -80°C for 12 months. Avoid repeated freeze-thaw cycles. |
| Transport | Shipping with blue ice. |
| Size | Quantity | Unit Price | Amount | Operation |
|---|

Copyright © 2015-2026 TargetMol Chemicals Inc. All Rights Reserved.