Shopping Cart
Remove All
Your shopping cart is currently empty
Anti-Phospho-p16-INK4a (Ser152) Polyclonal Antibody is a Rabbit antibody targeting Phospho-p16-INK4a (Ser152). Anti-Phospho-p16-INK4a (Ser152) Polyclonal Antibody can be used in IHC,WB.
| Pack Size | Price | USA Warehouse | Global Warehouse | Quantity |
|---|---|---|---|---|
| 50 μL | $218 | 7-10 days | 7-10 days | |
| 100 μL | $317 | 7-10 days | 7-10 days |
| Description | Anti-Phospho-p16-INK4a (Ser152) Polyclonal Antibody is a Rabbit antibody targeting Phospho-p16-INK4a (Ser152). Anti-Phospho-p16-INK4a (Ser152) Polyclonal Antibody can be used in IHC,WB. |
| Synonyms | p-p16-INK4a (Ser152), p-p16-INK4a (S152), p16-INK4a (p-Ser152), p16-INK4a (p-S152) |
| Ig Type | IgG |
| Reactivity | Human |
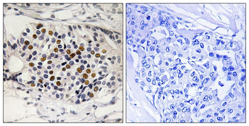
| Verified Activity | 1. Western blot analysis of extracts from HeLa cells, treated with EPO (20U/ml, 15mins), using p16-INK4a (Phospho-Ser152) antibody TMAC-02937. The lane on the right is treated with the synthesized peptide. 2. Immunohistochemistry analysis of paraffin-embedded human breast carcinoma tissue using p16-INK4a (Phospho-Ser152) antibody TMAC-02937. The picture on the right is treated with the synthesized peptide. ![]() ![]() |
| Application | |
| Recommended Dose | WB: 1:500-3000; IHC: 1:50-100 |
| Antibody Type | Polyclonal |
| Host Species | Rabbit |
| Construction | Polyclonal Antibody |
| Purification | Antibodies were produced by immunizing rabbits with synthetic phosphopeptide and KLH conjugates. Antibodies were purified by affinity-chromatography using epitope-specific phosphopeptide. Non-phospho specific antibodies were removed by chromatogramphy using non-phosphopeptide. |
| Appearance | Liquid |
| Formulation | Rabbit IgG in phosphate buffered saline (without Mg2+ and Ca2+), pH 7.4, 150mM NaCl, 0.02% sodium azide and 50% glycerol. |
| Research Background | Acts as a negative regulator of the proliferation of normal cells by interacting strongly with CDK4 and CDK6. This inhibits their ability to interact with cyclins D and to phosphorylate the retinoblastoma protein. |
| Conjucates | Unconjugated |
| Others Formats | Phospho |
| Immunogen | Peptide sequence around phosphorylation site of serine 152 (G-P-S(p)-D-I) derived from Human p16-INK4a |
| Antigen Species | human |
| Uniprot ID |
| Molecular Weight | Actual: 20 kDa. |
| Stability & Storage | Store at -20°C or -80°C for 12 months. Avoid repeated freeze-thaw cycles. |
| Transport | Shipping with blue ice. |
| Size | Quantity | Unit Price | Amount | Operation |
|---|

Copyright © 2015-2026 TargetMol Chemicals Inc. All Rights Reserved.