Shopping Cart
Remove All
Your shopping cart is currently empty
Anti-Phospho-p130 Cas (Tyr410) Polyclonal Antibody is a Rabbit antibody targeting Phospho-p130 Cas (Tyr410). Anti-Phospho-p130 Cas (Tyr410) Polyclonal Antibody can be used in IHC,WB.
| Pack Size | Price | USA Warehouse | Global Warehouse | Quantity |
|---|---|---|---|---|
| 50 μL | $216 | 7-10 days | 7-10 days | |
| 100 μL | $316 | 7-10 days | 7-10 days |
| Description | Anti-Phospho-p130 Cas (Tyr410) Polyclonal Antibody is a Rabbit antibody targeting Phospho-p130 Cas (Tyr410). Anti-Phospho-p130 Cas (Tyr410) Polyclonal Antibody can be used in IHC,WB. |
| Synonyms | p-p130 Cas (Y410), p-p130 Cas (Tyr410), p130 Cas (p-Y410), p130 Cas (p-Tyr410) |
| Ig Type | IgG |
| Reactivity | Human |
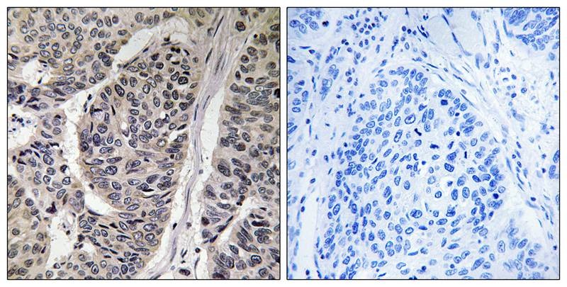
| Verified Activity | 1. Western blot analysis of extracts from K562 cells (Lane 2) and 3T3 cells (Lane 3), using P130 Cas(Phospho-Tyr410) Antibody TMAC-02933. The lane on the left is treated with antigen-specific peptide. 2. Immunohistochemical analysis of paraffin-embedded human breast carcinoma tissue, using p130 Cas (Phospho-Tyr410) antibody TMAC-02933 (left) or the same antibody preincubated with blocking peptide (right). ![]() ![]() |
| Application | |
| Recommended Dose | WB: 1:500-1000; IHC: 1:50-100 |
| Antibody Type | Polyclonal |
| Host Species | Rabbit |
| Construction | Polyclonal Antibody |
| Purification | Antibodies were produced by immunizing rabbits with synthetic phosphopeptide and KLH conjugates. Antibodies were purified by affinity-chromatography using epitope-specific phosphopeptide. Non-phospho specific antibodies were removed by chromatogramphy using non-phosphopeptide. |
| Appearance | Liquid |
| Formulation | Rabbit IgG in phosphate buffered saline (without Mg2+ and Ca2+), pH 7.4, 150mM NaCl, 0.02% sodium azide and 50% glycerol. |
| Research Background | Docking protein which plays a central coordinating role for tyrosine kinase-based signaling related to cell adhesion. Implicated in induction of cell migration. Overexpression confers antiestrogen resistance on breast cancer cells. |
| Conjucates | Unconjugated |
| Others Formats | Phospho |
| Immunogen | Peptide sequence around phosphorylation site of tyrosine 410(G-V-Y(p)-A-V) derived from Human p130 Cas |
| Antigen Species | human |
| Uniprot ID |
| Molecular Weight | Actual: 130 kDa. |
| Stability & Storage | Store at -20°C or -80°C for 12 months. Avoid repeated freeze-thaw cycles. |
| Transport | Shipping with blue ice. |
| Size | Quantity | Unit Price | Amount | Operation |
|---|

Copyright © 2015-2026 TargetMol Chemicals Inc. All Rights Reserved.