Shopping Cart
Remove All
Your shopping cart is currently empty
Anti-Phospho-NTRK2 (Tyr817) Antibody (6J201) is a Rabbit antibody targeting Phospho-NTRK2 (Tyr817). Anti-Phospho-NTRK2 (Tyr817) Antibody (6J201) can be used in ICC/IF,IHC,IP,WB.
| Pack Size | Price | USA Warehouse | Global Warehouse | Quantity |
|---|---|---|---|---|
| 50 μL | $298 | 7-10 days | 7-10 days | |
| 100 μL | $496 | 7-10 days | 7-10 days |
| Description | Anti-Phospho-NTRK2 (Tyr817) Antibody (6J201) is a Rabbit antibody targeting Phospho-NTRK2 (Tyr817). Anti-Phospho-NTRK2 (Tyr817) Antibody (6J201) can be used in ICC/IF,IHC,IP,WB. |
| Synonyms | p-NTRK2 (Y817), p-NTRK2 (Tyr817), NTRK2 (p-Y817), NTRK2 (p-Tyr817) |
| Ig Type | IgG |
| Clone | 6J201 |
| Reactivity | Human,Mouse,Rat |
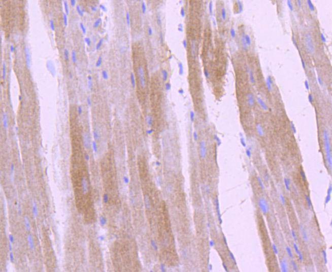
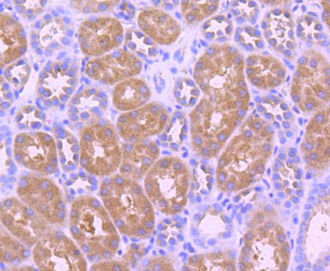
| Verified Activity | 1. Western blot analysis of phospho-TrkB (Y817) on mouse brain lysates using anti-phospho-TrkB (Y817) antibody at 1/1,000 dilution. 2. Immunohistochemical analysis of paraffin-embedded human kidney tissue using anti-phospho-TrkB (Y817) antibody. Counter stained with hematoxylin. 3. Immunohistochemical analysis of paraffin-embedded human pancreas tissue using anti-phospho-TrkB (Y817) antibody. Counter stained with hematoxylin. 4. Immunohistochemical analysis of paraffin-embedded mouse heart tissue using anti-phospho-TrkB (Y817) antibody. Counter stained with hematoxylin. 5. Immunohistochemical analysis of paraffin-embedded mouse pancreas tissue using anti-phospho-TrkB (Y817) antibody. Counter stained with hematoxylin. 6. ICC staining phospho-TrkB (Y817) in PANC-1 cells (green). The nuclear counter stain is DAPI (blue). Cells were fixed in paraformaldehyde, permeabilised with 0.25% Triton X100/PBS. 7. ICC staining phospho-TrkB (Y817) in SH-SY-5Y cells (green). The nuclear counter stain is DAPI (blue). Cells were fixed in paraformaldehyde, permeabilised with 0.25% Triton X100/PBS. ![]() ![]() ![]() ![]() ![]() ![]() ![]() |
| Application | |
| Recommended Dose | WB: 1:1000-5000; IHC: 1:50-200; ICC/IF: 1:50-200 |
| Antibody Type | Monoclonal |
| Host Species | Rabbit |
| Construction | Hybridoma Monoclonal Antibody |
| Purification | ProA affinity purified |
| Appearance | Liquid |
| Formulation | 1*TBS (pH7.4), 1%BSA, 40%Glycerol. Preservative: 0.05% Sodium Azide. |
| Research Background | The Trk proto-oncogene encodes a tyrosine protein kinase, Trk A, also designated Trk gp140, that serves as a receptor for certain neurotrophic factors including nerve growth factor (NGF) and neurotrophin-3 (NT-3). Trk B is a tyrosine kinase gene highly related to Trk A. Trk B expression is confined to tissues within the central and peripheral nervous systems. The brain-derived neurotrophic factor (BDNF) and NT-3, but not NGF, can induce rapid phosphorylation on tyrosine of Trk B gp145, one of the receptors encoded by NTRK2, although BDNF elicits a response at least two orders of magnitude greater than NT-3. Thus it appears that Trk B gp145 may represent a neurotrophic receptor for BDNF and NT-3. The third member of the Trk family of tyrosine kinases, Trk C, encodes a protein designated Trk C gp145 that is preferentially expressed in brain tissue, is equally related to Trk A and Trk B and is a functional receptor for NT-3. |
| Conjucates | Unconjugated |
| Others Formats | Phospho |
| Immunogen | A synthesized phosphopeptide: human TrkB around the phosphorylation site of Tyr817 |
| Antigen Species | human |
| Uniprot ID |
| Molecular Weight | Theoretical: 145 kDa. |
| Stability & Storage | Store at -20°C or -80°C for 12 months. Avoid repeated freeze-thaw cycles. |
| Transport | Shipping with blue ice. |
| Size | Quantity | Unit Price | Amount | Operation |
|---|

Copyright © 2015-2026 TargetMol Chemicals Inc. All Rights Reserved.