Shopping Cart
Remove All
Your shopping cart is currently empty
Anti-Phospho-NTRK2 (Tyr706, 707) Polyclonal Antibody is a Rabbit antibody targeting Phospho-NTRK2 (Tyr706, 707). Anti-Phospho-NTRK2 (Tyr706, 707) Polyclonal Antibody can be used in IHC.
| Pack Size | Price | USA Warehouse | Global Warehouse | Quantity |
|---|---|---|---|---|
| 50 μL | $217 | 7-10 days | 7-10 days | |
| 100 μL | $318 | 7-10 days | 7-10 days |
| Description | Anti-Phospho-NTRK2 (Tyr706, 707) Polyclonal Antibody is a Rabbit antibody targeting Phospho-NTRK2 (Tyr706, 707). Anti-Phospho-NTRK2 (Tyr706, 707) Polyclonal Antibody can be used in IHC. |
| Synonyms | p-NTRK2 (Y706, 707), p-NTRK2 (Tyr706, 707), NTRK2 (p-Y706, 707), NTRK2 (p-Tyr706, 707) |
| Ig Type | IgG |
| Reactivity | Human |
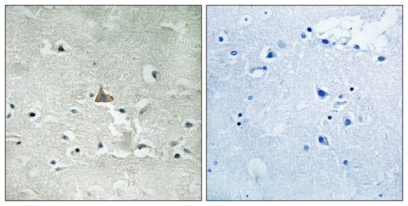
| Verified Activity | 1. Immunohistochemical analysis of paraffin-embedded human brain tissue using Trk B (Phospho-Tyr706/Tyr707) antibody TMAC-04128 (left) or the same antibody preincubated with blocking peptide (right). ![]() |
| Application | |
| Recommended Dose | IHC: 1:50-100 |
| Antibody Type | Polyclonal |
| Host Species | Rabbit |
| Construction | Polyclonal Antibody |
| Purification | Antibodies were produced by immunizing rabbits with synthetic phosphopeptide and KLH conjugates. Antibodies were purified by affinity-chromatography using epitope-specific phosphopeptide. Non-phospho specific antibodies were removed by chromatogramphy using non-phosphopeptide. |
| Appearance | Liquid |
| Formulation | Rabbit IgG in phosphate buffered saline (without Mg2+ and Ca2+), pH 7.4, 150mM NaCl, 0.02% sodium azide and 50% glycerol. |
| Research Background | Receptor for brain-derived neurotrophic factor (BDNF), neurotrophin-3 and neurotrophin-4/5 but not nerve growth factor (NGF). Involved in the development and/or maintenance of the nervous system. This is a tyrosine-protein kinase receptor. Known substrates for the TRK receptors are SHC1, PI-3 kinase, and PLC-gamma-1. |
| Conjucates | Unconjugated |
| Others Formats | Phospho |
| Immunogen | Peptide sequence around phosphorylation site of tyrosine 706/tyrosine 707 (T-D-Y(p)-Y(p)-R-V)derived from Human Trk B |
| Antigen Species | human |
| Uniprot ID |
| Molecular Weight | Actual: 91 kDa. |
| Stability & Storage | Store at -20°C or -80°C for 12 months. Avoid repeated freeze-thaw cycles. |
| Transport | Shipping with blue ice. |
| Size | Quantity | Unit Price | Amount | Operation |
|---|

Copyright © 2015-2026 TargetMol Chemicals Inc. All Rights Reserved.