Shopping Cart
Remove All
Your shopping cart is currently empty
Anti-Phospho-NR4A1 (Ser351) Polyclonal Antibody is a Rabbit antibody targeting Phospho-NR4A1 (Ser351). Anti-Phospho-NR4A1 (Ser351) Polyclonal Antibody can be used in IHC.
| Pack Size | Price | USA Warehouse | Global Warehouse | Quantity |
|---|---|---|---|---|
| 100 μL | $316 | 7-10 days | 7-10 days |
| Description | Anti-Phospho-NR4A1 (Ser351) Polyclonal Antibody is a Rabbit antibody targeting Phospho-NR4A1 (Ser351). Anti-Phospho-NR4A1 (Ser351) Polyclonal Antibody can be used in IHC. |
| Synonyms | p-NR4A1 (Ser351), p-NR4A1 (S351), NR4A1 (p-Ser351), NR4A1 (p-S351) |
| Ig Type | IgG |
| Reactivity | Human,Mouse,Rat |
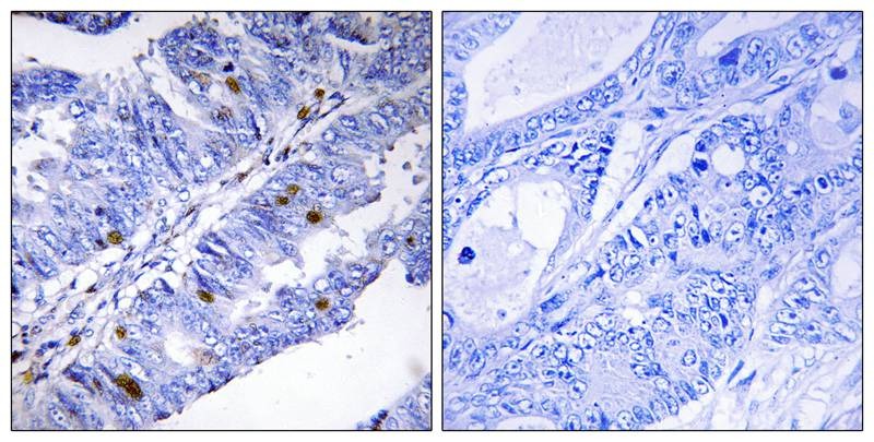
| Verified Activity | 1. Immunohistochemical analysis of paraffin-embedded human colon carcinoma tissue using Nuclear Receptor NR4A1 (Phospho-Ser351) antibody TMAC-02897 (left) or the same antibody preincubated with blocking peptide (right). ![]() |
| Application | |
| Recommended Dose | IHC: 1:50-100 |
| Antibody Type | Polyclonal |
| Host Species | Rabbit |
| Construction | Polyclonal Antibody |
| Purification | Antibodies were produced by immunizing rabbits with synthetic phosphopeptide and KLH conjugates. Antibodies were purified by affinity-chromatography using epitope-specific phosphopeptide. Non-phospho specific antibodies were removed by chromatogramphy using non-phosphopeptide. |
| Appearance | Liquid |
| Formulation | Rabbit IgG in phosphate buffered saline (without Mg2+ and Ca2+), pH 7.4, 150mM NaCl, 0.02% sodium azide and 50% glycerol. |
| Research Background | Orphan nuclear receptor. May act concomitantly with NURR1 in regulating the expression of delayed-early genes during liver regeneration. Binds the NGFI-B response element (NBRE) 5'-AAAAGGTCA-3'. May inhibit NF-kappa-B transactivation of IL2. Participates in energy homeostasis by sequestrating the kinase STK11 in the nucleus, thereby attenuating cytoplasmic AMPK activation. |
| Conjucates | Unconjugated |
| Others Formats | Phospho |
| Immunogen | Peptide sequence around phosphorylation site of Serine351(L-P-S(p)-K-P) derived from Human Nuclear Receptor NR4A1 |
| Antigen Species | human |
| Uniprot ID |
| Molecular Weight | Actual: 64 kDa. |
| Stability & Storage | Store at -20°C or -80°C for 12 months. Avoid repeated freeze-thaw cycles. |
| Transport | Shipping with blue ice. |
| Size | Quantity | Unit Price | Amount | Operation |
|---|

Copyright © 2015-2026 TargetMol Chemicals Inc. All Rights Reserved.