Shopping Cart
Remove All
Your shopping cart is currently empty
Anti-Phospho-NFKBIA (Tyr42) Polyclonal Antibody is a Rabbit antibody targeting Phospho-NFKBIA (Tyr42). Anti-Phospho-NFKBIA (Tyr42) Polyclonal Antibody can be used in IHC,WB.
| Pack Size | Price | USA Warehouse | Global Warehouse | Quantity |
|---|---|---|---|---|
| 50 μL | $217 | 7-10 days | 7-10 days | |
| 100 μL | $317 | 7-10 days | 7-10 days |
| Description | Anti-Phospho-NFKBIA (Tyr42) Polyclonal Antibody is a Rabbit antibody targeting Phospho-NFKBIA (Tyr42). Anti-Phospho-NFKBIA (Tyr42) Polyclonal Antibody can be used in IHC,WB. |
| Synonyms | p-NFKBIA (Y42), p-NFKBIA (Tyr42), NFKBIA (p-Y42), NFKBIA (p-Tyr42) |
| Ig Type | IgG |
| Reactivity | Human,Mouse |
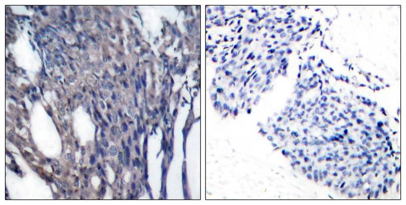
| Verified Activity | 1. Western blot analysis of extract from Hela cells untreated or treated with serum using IkB-a (Phospho-Tyr42) antibody TMAC-02119. 2. Immunohistochemical analysis of paraffin-embedded human breast carcinoma tissue using IkB-a (phospho-Tyr42) antibody (TMAC-02119). ![]() ![]() |
| Application | |
| Antibody Type | Polyclonal |
| Host Species | Rabbit |
| Construction | Polyclonal Antibody |
| Purification | Antibodies were produced by immunizing rabbits with synthetic peptide and KLH conjugates. Antibodies were purified by affinity-chromatography using epitope-specific peptide. |
| Appearance | Liquid |
| Formulation | Supplied at 1.0mg/mL in phosphate buffered saline (without Mg2+ and Ca2+), pH 7.4, 150mM NaCl, 0.02% sodium azide and 50% glycerol. |
| Research Background | Inhibits the activity of dimeric NF-kappa-B/REL complexes by trapping REL dimers in the cytoplasm through masking of their nuclear localization signals. On cellular stimulation by immune and proinflammatory responses, becomes phosphorylated promoting ubiquitination and degradation, enabling the dimeric RELA to tranlocate to the nucleus and activate transcription. |
| Conjucates | Unconjugated |
| Others Formats | Phospho |
| Immunogen | Peptide sequence around phosphorylation site of tyrosine 42 (E-E-Y(p)-E-Q) derived from Human IkB-a |
| Antigen Species | human |
| Uniprot ID |
| Stability & Storage | Store at 2°C-8°C for 1 month. Store at -20°C or -80°C for 12 months. Avoid repeated freeze-thaw cycles. |
| Transport | Shipping with blue ice. |
| Size | Quantity | Unit Price | Amount | Operation |
|---|

Copyright © 2015-2026 TargetMol Chemicals Inc. All Rights Reserved.