Shopping Cart
Remove All
Your shopping cart is currently empty
Anti-Phospho-NFKB1 (Ser927) Polyclonal Antibody is a Rabbit antibody targeting Phospho-NFKB1 (Ser927). Anti-Phospho-NFKB1 (Ser927) Polyclonal Antibody can be used in IF,IHC,WB.
| Pack Size | Price | USA Warehouse | Global Warehouse | Quantity |
|---|---|---|---|---|
| 50 μL | $218 | 7-10 days | 7-10 days | |
| 100 μL | $318 | 7-10 days | 7-10 days |
| Description | Anti-Phospho-NFKB1 (Ser927) Polyclonal Antibody is a Rabbit antibody targeting Phospho-NFKB1 (Ser927). Anti-Phospho-NFKB1 (Ser927) Polyclonal Antibody can be used in IF,IHC,WB. |
| Synonyms | p-NFKB1 (Ser927), p-NFKB1 (S927), NFKB1 (p-Ser927), NFKB1 (p-S927) |
| Ig Type | IgG |
| Reactivity | Human,Mouse,Rat |
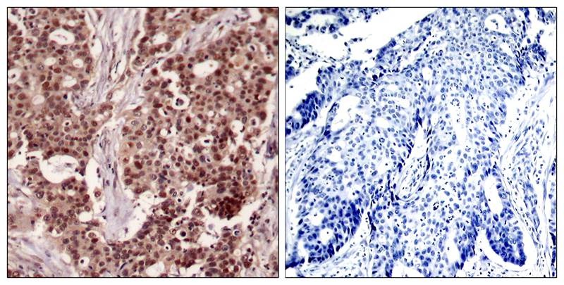
| Verified Activity | 1. Western blot analysis of extracts from HL60 cells untreated or treated with TNF-a using NFkB-p105 (Phospho-Ser927) Antibody TMAC-02811. 2. Immunohistochemical analysis of paraffin-embedded human breast carcinoma tissue using NFkB-p105 (Phospho-Ser927) Antibody TMAC-02811 (left) or the same antibody preincubated with blocking peptide (right). 3. Immunofluorescence staining of methanol-fixed Hela cells using NFkB-p105 (Phospho-Ser927) Antibody TMAC-02811. ![]() ![]() ![]() |
| Application | |
| Antibody Type | Polyclonal |
| Host Species | Rabbit |
| Construction | Polyclonal Antibody |
| Purification | Antibodies were produced by immunizing rabbits with synthetic phosphopeptide and KLH conjugates. Antibodies were purified by affinity-chromatography using epitope-specific phosphopeptide. Non-phospho specific antibodies were removed by chromatogramphy using non-phosphopeptide. |
| Appearance | Liquid |
| Formulation | Supplied at 1.0mg/mL in phosphate buffered saline (without Mg2+ and Ca2+), pH 7.4, 150mM NaCl, 0.02% sodium azide and 50% glycerol. |
| Research Background | NF-kappa-B is a pleiotropic transcription factor which is present in almost all cell types and is involved in many biological processed such as inflammation, immunity, differentiation, cell growth, tumorigenesis and apoptosis. NF-kappa-B is a homo- or heterodimeric complex formed by the Rel-like domain-containing proteins RELA/p65, RELB, NFKB1/p105, NFKB1/p50, REL and NFKB2/p52 and the heterodimeric p65-p50 complex appears to be most abundant one. The dimers bind at kappa-B sites in the DNA of their target genes and the individual dimers have distinct preferences for different kappa-B sites that they can bind with distinguishable affinity and specificity. Different dimer combinations act as transcriptional activators or repressors, respectively. |
| Conjucates | Unconjugated |
| Others Formats | Phospho |
| Immunogen | Peptide sequence around phosphorylation site of serine 927 (C-D-S(p)-G-V) derived from Human NFkB-p105 |
| Antigen Species | human |
| Uniprot ID |
| Stability & Storage | Store at 2°C-8°C for 1 month. Store at -20°C or -80°C for 12 months. Avoid repeated freeze-thaw cycles. |
| Transport | Shipping with blue ice. |
| Size | Quantity | Unit Price | Amount | Operation |
|---|

Copyright © 2015-2026 TargetMol Chemicals Inc. All Rights Reserved.