Shopping Cart
Remove All
Your shopping cart is currently empty
Anti-Phospho-NFKB1 (Ser337) Polyclonal Antibody is a Rabbit antibody targeting Phospho-NFKB1 (Ser337). Anti-Phospho-NFKB1 (Ser337) Polyclonal Antibody can be used in IF,IHC,WB.
| Pack Size | Price | USA Warehouse | Global Warehouse | Quantity |
|---|---|---|---|---|
| 50 μL | $216 | 7-10 days | 7-10 days | |
| 100 μL | $316 | 7-10 days | 7-10 days |
| Description | Anti-Phospho-NFKB1 (Ser337) Polyclonal Antibody is a Rabbit antibody targeting Phospho-NFKB1 (Ser337). Anti-Phospho-NFKB1 (Ser337) Polyclonal Antibody can be used in IF,IHC,WB. |
| Synonyms | p-NFKB1 (Ser337), p-NFKB1 (S337), NFKB1 (p-Ser337), NFKB1 (p-S337) |
| Ig Type | IgG |
| Reactivity | Human,Mouse,Rat |
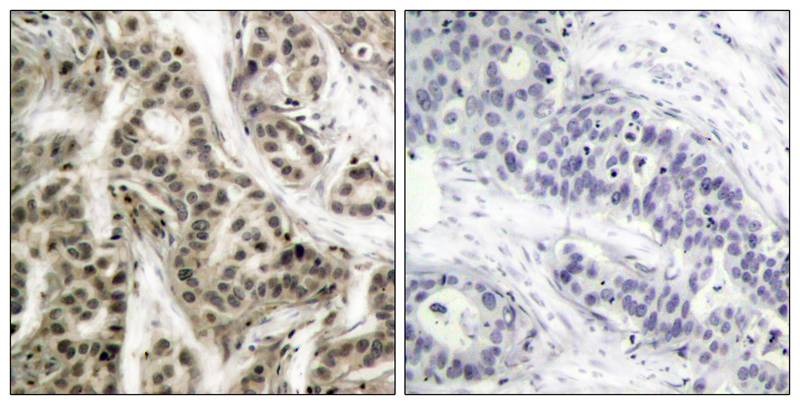
| Verified Activity | 1. Immunofluorescence staining of methanol-fixed HeLa cells using NF-κB p105/p50 (phospho-Ser337) antibody (TMAC-02829, Red). 2. Immunohistochemical analysis of paraffin- embedded human breast carcinoma tissue using NF-κB p105/p50 (phospho-Ser337) antibody (TMAC-02829). 3. Western blot analysis of extract from HeLa cells, using NF-κB p105/p50 (phospho-Ser337) antibody (TMAC-02829, Lane 1 and 2). 4. Western blot analysis of extracts from Hela cells, treated with Noc or calf intestinal phosphatase (CIP), using NFκB-p105/p50(Phospho-Ser337) Antibody TMAC-02829. ![]() ![]() ![]() ![]() |
| Application | |
| Antibody Type | Polyclonal |
| Host Species | Rabbit |
| Construction | Polyclonal Antibody |
| Purification | Antibodies were produced by immunizing rabbits with synthetic phosphopeptide and KLH conjugates. Antibodies were purified by affinity-chromatography using epitope-specific phosphopeptide. Non-phospho specific antibodies were removed by chromatogramphy using non-phosphopeptide. |
| Appearance | Liquid |
| Formulation | Supplied at 1.0mg/mL in phosphate buffered saline (without Mg2+ and Ca2+), pH 7.4, 150mM NaCl, 0.02% sodium azide and 50% glycerol. |
| Research Background | NF-kappa-B is a pleiotropic transcription factor present in almost all cell types and is the endpoint of a series of signal transduction events that are initiated by a vast array of stimuli related to many biological processes such as inflammation, immunity, differentiation, cell growth, tumorigenesis and apoptosis. NF-kappa-B is a homo- or heterodimeric complex formed by the Rel-like domain-containing proteins RELA/p65, RELB, NFKB1/p105, NFKB1/p50, REL and NFKB2/p52 and the heterodimeric p65-p50 complex appears to be most abundant one. The dimers bind at kappa-B sites in the DNA of their target genes and the individual dimers have distinct preferences for different kappa-B sites that they can bind with distinguishable affinity and specificity. Different dimer combinations act as transcriptional activators or repressors, respectively. NF-kappa-B is controlled by various mechanisms of post-translational modification and subcellular compartmentalization as well as by interactions with other cofactors or corepressors. NF-kappa-B complexes are held in the cytoplasm in an inactive state complexed with members of the NF-kappa-B inhibitor (I-kappa-B) family. In a conventional activation pathway, I-kappa-B is phosphorylated by I-kappa-B kinases (IKKs) in response to different activators, subsequently degraded thus liberating the active NF-kappa-B complex which translocates to the nucleus. NF-kappa-B heterodimeric p65-p50 and RelB-p50 complexes are transcriptional activators. The NF-kappa-B p50-p50 homodimer is a transcriptional repressor, but can act as a transcriptional activator when associated with BCL3. NFKB1 appears to have dual functions such as cytoplasmic retention of attached NF-kappa-B proteins by p105 and generation of p50 by a cotranslational processing. The proteasome-mediated process ensures the production of both p50 and p105 and preserves their independent function, although processing of NFKB1/p105 also appears to occur post-translationally. p50 binds to the kappa-B consensus sequence 5'-GGRNNYYCC-3', located in the enhancer region of genes involved in immune response and acute phase reactions. In a complex with MAP3K8, NFKB1/p105 represses MAP3K8-induced MAPK signaling; active MAP3K8 is released by proteasome-dependent degradation of NFKB1/p105. Beg A.A., Baldwin A.S. Jr.Oncogene 9:1487-1492(1994) Guizani-Tabbane L., Ben-Aissa K., Belghith M., Sassi A., Dellagi K.Infect. Immun. 72:2582-2589(2004) Beinke S., Robinson M.J., Hugunin M., Ley S.C.Mol. Cell. Biol. 24:9658-9667(2004) |
| Conjucates | Unconjugated |
| Others Formats | Phospho |
| Immunogen | Peptide sequence around phosphorylation site of serine 337(R-K-S(p)-D-L) derived from Human NFκB-p105/p50 |
| Antigen Species | human |
| Uniprot ID |
| Stability & Storage | Store at -20°C or -80°C for 12 months. Avoid repeated freeze-thaw cycles. |
| Transport | Shipping with blue ice. |
| Size | Quantity | Unit Price | Amount | Operation |
|---|

Copyright © 2015-2026 TargetMol Chemicals Inc. All Rights Reserved.