Shopping Cart
Remove All
Your shopping cart is currently empty
Anti-Phospho-MYL9 (Ser19) Polyclonal Antibody is a Rabbit antibody targeting Phospho-MYL9 (Ser19). Anti-Phospho-MYL9 (Ser19) Polyclonal Antibody can be used in IHC,WB.
| Pack Size | Price | USA Warehouse | Global Warehouse | Quantity |
|---|---|---|---|---|
| 50 μL | $217 | 7-10 days | 7-10 days | |
| 100 μL | $316 | 7-10 days | 7-10 days |
| Description | Anti-Phospho-MYL9 (Ser19) Polyclonal Antibody is a Rabbit antibody targeting Phospho-MYL9 (Ser19). Anti-Phospho-MYL9 (Ser19) Polyclonal Antibody can be used in IHC,WB. |
| Synonyms | p-MYL9 (Ser19), p-MYL9 (S19), MYRL2, Myosin RLC, Myosin regulatory light polypeptide 9, Myosin regulatory light chain MRLC1, Myosin regulatory light chain 9, Myosin regulatory light chain 2, smooth muscle isoform, MYL9 (p-Ser19), MYL9 (p-S19), MYL9, MRLC1, MLC-2C, MLC2, 19 kDa myosin light chain (LC19) |
| Ig Type | IgG |
| Reactivity | Human,Mouse,Rat |
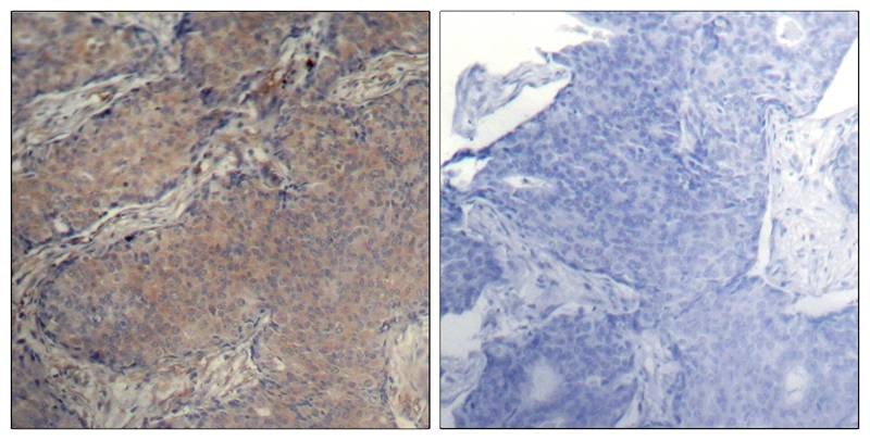
| Verified Activity | 1. Immunohistochemical analysis of paraffin-embedded human breast carcinoma tissue using Myosin Light Chain 2 (Phospho-Ser19) Antibody TMAC-02728 (left) or the same antibody preincubated with blocking peptide (right). 2. Western blot analysis of extracts from 293 cells untreated or treated with starvation using Myosin Light Chain 2 (Phospho-Ser19) Antibody TMAC-02728. ![]() ![]() |
| Application | |
| Antibody Type | Polyclonal |
| Host Species | Rabbit |
| Construction | Polyclonal Antibody |
| Purification | Antibodies were produced by immunizing rabbits with synthetic phosphopeptide and KLH conjugates. Antibodies were purified by affinity-chromatography using epitope-specific phosphopeptide. Non-phospho specific antibodies were removed by chromatogramphy using non-phosphopeptide. |
| Appearance | Liquid |
| Formulation | Supplied at 1.0mg/mL in phosphate buffered saline (without Mg2+ and Ca2+), pH 7.4, 150mM NaCl, 0.02% sodium azide and 50% glycerol. |
| Research Background | Myosin regulatory subunit that plays an important role in regulation of both smooth muscle and nonmuscle cell contractile activity via its phosphorylation. Implicated in cytokinesis, receptor capping, and cell locomotion |
| Conjucates | Unconjugated |
| Others Formats | Phospho |
| Immunogen | Peptide sequence around phosphorylation site of serine 19 (A-T-S(p)-N-V) derived from Human Myosin Light Chain 2 |
| Antigen Species | human |
| Uniprot ID |
| Stability & Storage | Store at 2°C-8°C for 1 month. Store at -20°C or -80°C for 12 months. Avoid repeated freeze-thaw cycles. |
| Transport | Shipping with blue ice. |
| Size | Quantity | Unit Price | Amount | Operation |
|---|

Copyright © 2015-2026 TargetMol Chemicals Inc. All Rights Reserved.