Shopping Cart
Remove All
Your shopping cart is currently empty
Synonyms: v myb avian myeloblastosis viral oncogene homolog, Transcriptional activator Myb, Proto oncogene c Myb, p-MYB (Ser532), p-MYB (S532), Phospho-MYB (S532), Oncogene MYB, ONCOGENE AMV, MYB proto-oncogene transcription factor, MYB (p-Ser532), MYB (p-S532), efg, c-myb8B_CDS, c-myb14A_CDS, c-myb13A_CDS, c-myb10A_CDS, c-myb_CDS, Cmyb, C myb
| Pack Size | Price | USA Stock | Global Stock | Quantity |
|---|---|---|---|---|
| 50 μL | $218 | 7-10 days | 7-10 days | |
| 100 μL | $317 | 7-10 days | 7-10 days |
| Description | Anti-Phospho-MYB (Ser532) Polyclonal Antibody is a Rabbit antibody targeting Phospho-MYB (Ser532). Anti-Phospho-MYB (Ser532) Polyclonal Antibody can be used in IHC. |
| Synonyms | v myb avian myeloblastosis viral oncogene homolog, Transcriptional activator Myb, Proto oncogene c Myb, p-MYB (Ser532), p-MYB (S532), Phospho-MYB (S532), Oncogene MYB, ONCOGENE AMV, MYB proto-oncogene transcription factor, MYB (p-Ser532), MYB (p-S532), efg, c-myb8B_CDS, c-myb14A_CDS, c-myb13A_CDS, c-myb10A_CDS, c-myb_CDS, Cmyb, C myb |
| Ig Type | IgG |
| Reactivity | Human,Mouse |
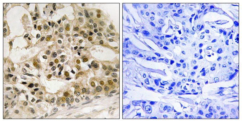
| Verified Activity | 1. Immunohistochemistry analysis of paraffin-embedded human breast carcinoma tissue using Myb (Phospho-Ser532) antibody TMAC-02698. The picture on the right is treated with the synthesized peptide. |
| Application | |
| Recommended Dose | IHC: 1:50-100 |
| Antibody Type | Polyclonal |
| Host Species | Rabbit |
| Construction | Polyclonal Antibody |
| Purification | Antibodies were produced by immunizing rabbits with synthetic phosphopeptide and KLH conjugates. Antibodies were purified by affinity-chromatography using epitope-specific phosphopeptide. Non-phospho specific antibodies were removed by chromatogramphy using non-phosphopeptide. |
| Appearance | Liquid |
| Formulation | Rabbit IgG in phosphate buffered saline (without Mg2+ and Ca2+), pH 7.4, 150mM NaCl, 0.02% sodium azide and 50% glycerol. |
| Research Background | Transcriptional activator; DNA-binding protein that specifically recognize the sequence 5'-YAAC[GT]G-3'. Plays an important role in the control of proliferation and differentiation of hematopoietic progenitor cells. |
| Conjucates | Unconjugated |
| Others Formats | Phospho |
| Immunogen | Peptide sequence around phosphorylation site of serine 532 (V-E-S(p)-P-T) derived from Human Myb |
| Antigen Species | Human |
| Uniprot ID |
| Stability & Storage | Store at -20°C or -80°C for 12 months. Avoid repeated freeze-thaw cycles. |
| Transport | Shipping with blue ice. |
| Size | Quantity | Unit Price | Amount | Operation |
|---|

Copyright © 2015-2026 TargetMol Chemicals Inc. All Rights Reserved.