Shopping Cart
Remove All
Your shopping cart is currently empty
Anti-Phospho-Mucin-1/MUC1 (Tyr1229) Polyclonal Antibody is a Rabbit antibody targeting Phospho-Mucin-1/MUC1 (Tyr1229). Anti-Phospho-Mucin-1/MUC1 (Tyr1229) Polyclonal Antibody can be used in IF,IHC,WB.
| Pack Size | Price | USA Warehouse | Global Warehouse | Quantity |
|---|---|---|---|---|
| 50 μL | $217 | 7-10 days | 7-10 days | |
| 100 μL | $317 | 7-10 days | 7-10 days |
| Description | Anti-Phospho-Mucin-1/MUC1 (Tyr1229) Polyclonal Antibody is a Rabbit antibody targeting Phospho-Mucin-1/MUC1 (Tyr1229). Anti-Phospho-Mucin-1/MUC1 (Tyr1229) Polyclonal Antibody can be used in IF,IHC,WB. |
| Synonyms | p-Mucin-1/MUC1 (Y1229), p-Mucin-1/MUC1 (Tyr1229), Mucin-1/MUC1 (p-Y1229), Mucin-1/MUC1 (p-Tyr1229) |
| Ig Type | IgG |
| Reactivity | Human |
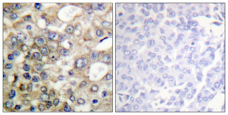
| Verified Activity | 1. Western blot analysis of extracts from HepG2 cells treated with PMA using CD227/MUC1 (Phospho-Tyr1229) Antibody TMAC-00682. The lane on the right is treated with the antigen-specific peptide. 2. Immunohistochemical analysis of paraffin-embedded human breast carcinoma tissue using CD227/MUC1 (Phospho-Tyr1229) antibody TMAC-00682 (left) or the same antibody preincubated with blocking peptide (right). 3. Immunofluorescence staining of methanol-fixed HepG2 cells using CD227/MUC1 (Phospho-Tyr1229) Antibody TMAC-00682. ![]() ![]() ![]() |
| Application | |
| Recommended Dose | WB: 1:500-1000; IHC: 1:50-100; IF: 1:100-200 |
| Antibody Type | Polyclonal |
| Host Species | Rabbit |
| Construction | Polyclonal Antibody |
| Purification | Antibodies were produced by immunizing rabbits with synthetic phosphopeptide and KLH conjugates. Antibodies were purified by affinity-chromatography using epitope-specific phosphopeptide. Non-phospho specific antibodies were removed by chromatogramphy using non-phosphopeptide. |
| Appearance | Liquid |
| Formulation | Rabbit IgG in phosphate buffered saline (without Mg2+ and Ca2+), pH 7.4, 150mM NaCl, 0.02% sodium azide and 50% glycerol. |
| Research Background | The alpha subunit has cell adhesive properties. Can act both as an adhesion and an adhesion protein. May provide a protective layer on epithelial cells against bacterial and enzyme attack. |
| Conjucates | Unconjugated |
| Others Formats | Phospho |
| Immunogen | Peptide sequence around phosphorylation site of tyrosine 1229 S-P-Y(p)-E-K) derived from Human CD227/MUC1 |
| Antigen Species | human |
| Uniprot ID |
| Molecular Weight | Actual: 170 kDa. |
| Stability & Storage | Store at -20°C or -80°C for 12 months. Avoid repeated freeze-thaw cycles. |
| Transport | Shipping with blue ice. |
| Size | Quantity | Unit Price | Amount | Operation |
|---|

Copyright © 2015-2026 TargetMol Chemicals Inc. All Rights Reserved.