Shopping Cart
Remove All
Your shopping cart is currently empty
Anti-Phospho-mTOR (Ser2448) Polyclonal Antibody is a Rabbit antibody targeting Phospho-mTOR (Ser2448). Anti-Phospho-mTOR (Ser2448) Polyclonal Antibody can be used in IF,IHC,WB.
| Pack Size | Price | USA Warehouse | Global Warehouse | Quantity |
|---|---|---|---|---|
| 50 μL | $216 | 7-10 days | 7-10 days | |
| 100 μL | $316 | 7-10 days | 7-10 days |
| Description | Anti-Phospho-mTOR (Ser2448) Polyclonal Antibody is a Rabbit antibody targeting Phospho-mTOR (Ser2448). Anti-Phospho-mTOR (Ser2448) Polyclonal Antibody can be used in IF,IHC,WB. |
| Synonyms | p-mTOR (Ser2448), p-mTOR (S2448), mTOR (p-Ser2448), mTOR (p-S2448) |
| Ig Type | IgG |
| Reactivity | Human,Mouse,Rat |
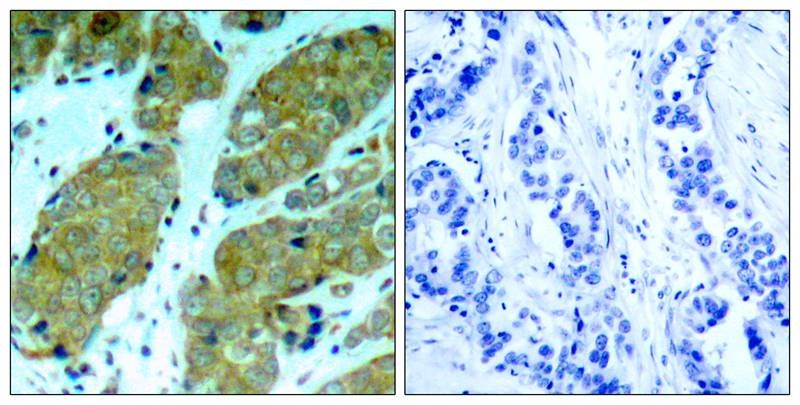
| Verified Activity | 1. Immunohistochemical analysis of paraffin-embedded human breast carcinoma tissue using mTOR (Phospho-Ser2448) Antibody TMAC-02675 (left) or the same antibody preincubated with blocking peptide (right). 2. Immunofluorescence staining of methanol-fixed MCF cells using mTOR (Phospho-Ser2448) Antibody TMAC-02675. 3. Western blot analysis of extracts from 293 cells untreatedor treated with PMA using mTOR (Phospho-Ser2448) Antibody TMAC-02675. 4. Immunohistochemical analysis ofparaffin-embedded human breast carcinomatissue using mTOR (Phospho-Ser2448) Antibody TMAC-02675. 5. Western blot analysis of extracts from Hela cells, treatedwith IFNa or calf intestinal phosphatase (CIP), using mTOR (Phospho-Ser2448) Antibody TMAC-02675. ![]() ![]() ![]() ![]() ![]() |
| Application | |
| Antibody Type | Polyclonal |
| Host Species | Rabbit |
| Construction | Polyclonal Antibody |
| Purification | Antibodies were produced by immunizing rabbits with synthetic phosphopeptide and KLH conjugates. Antibodies were purified by affinity-chromatography using epitope-specific phosphopeptide. Non-phospho specific antibodies were removed by chromatogramphy using non-phosphopeptide. |
| Appearance | Liquid |
| Formulation | Supplied at 1.0mg/mL in phosphate buffered saline (without Mg2+ and Ca2+), pH 7.4, 150mM NaCl, 0.02% sodium azide and 50% glycerol. |
| Research Background | Kinase subunit of both mTORC1 and mTORC2, which regulate cell growth and survival in response to nutrient and hormonal signals. mTORC1 is activated in response to growth factors or amino-acids. Amino-acid-signaling to mTORC1 is mediated by Rag GTPases, which cause amino-acid-induced relocalization of mTOR within the endomembrane system. Growth factor-stimulated mTORC1 activation involves AKT1-mediated phosphorylation of TSC1-TSC2, which leads to the activation of the RHEB GTPase that potently activates the protein kinase activity of mTORC1. Activated mTORC1 up-regulates protein synthesis by phosphorylating key regulators of mRNA translation and ribosome synthesis. mTORC1 phosphorylates EIF4EBP1 and releases it from inhibiting the elongation initiation factor 4E (eiF4E). mTORC1 phosphorylates and activates S6K1 at 'Thr-421', which then promotes protein synthesis by phosphorylating PDCD4 and targeting it for degradation. mTORC2 is also activated by growth factors, but seems to be nutrient-insensitive. mTORC2 seems to function upstream of Rho GTPases to regulate the actin cytoskeleton, probably by activating one or more Rho-type guanine nucleotide exchange factors. mTORC2 promotes the serum-induced formation of stress-fibers or F-actin. mTORC2 plays a critical role in AKT1 'Ser-473' phosphorylation, which may facilitate the phosphorylation of the activation loop of AKT1 on 'Thr-308' by PDK1 which is a prerequisite for full activation. mTORC2 regulates the phosphorylation of SGK1 at 'Ser-422'. mTORC2 also modulates the phosphorylation of PRKCA on 'Ser-657'. |
| Conjucates | Unconjugated |
| Others Formats | Phospho |
| Immunogen | Peptide sequence around phosphorylation site of serine 2448 (T-D-S(p)-Y-S) derived from Human mTOR |
| Antigen Species | human |
| Uniprot ID |
| Stability & Storage | Store at 2°C-8°C for 1 month. Store at -20°C or -80°C for 12 months. Avoid repeated freeze-thaw cycles. |
| Transport | Shipping with blue ice. |
| Size | Quantity | Unit Price | Amount | Operation |
|---|

Copyright © 2015-2026 TargetMol Chemicals Inc. All Rights Reserved.