Shopping Cart
Remove All
Your shopping cart is currently empty
Anti-Phospho-MKK4 (Ser80) Polyclonal Antibody is a Rabbit antibody targeting Phospho-MKK4 (Ser80). Anti-Phospho-MKK4 (Ser80) Polyclonal Antibody can be used in IF,IHC,WB.
| Pack Size | Price | USA Warehouse | Global Warehouse | Quantity |
|---|---|---|---|---|
| 50 μL | $218 | 7-10 days | 7-10 days | |
| 100 μL | $316 | 7-10 days | 7-10 days |
| Description | Anti-Phospho-MKK4 (Ser80) Polyclonal Antibody is a Rabbit antibody targeting Phospho-MKK4 (Ser80). Anti-Phospho-MKK4 (Ser80) Polyclonal Antibody can be used in IF,IHC,WB. |
| Synonyms | p-MKK4 (Ser80), p-MKK4 (S80), MKK4 (p-Ser80), MKK4 (p-S80) |
| Ig Type | IgG |
| Reactivity | Human,Mouse,Rat |
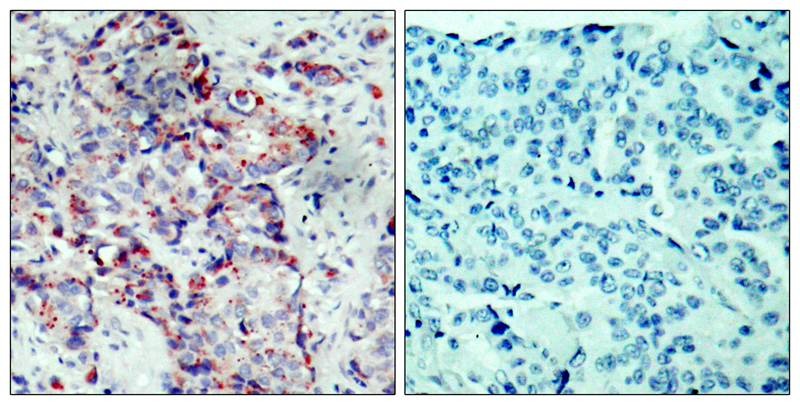
| Verified Activity | 1. Western blot analysis of extracts from HepG2 cells untreated or treated with EGF using SEK1/MKK4 (Phospho-Ser80) Antibody TMAC-03704. 2. Immunohistochemical analysis of paraffin-embedded human breast carcinoma tissue using SEK1/MKK4 (Phospho-Ser80) Antibody TMAC-03704 (left) or the same antibody preincubated with blocking peptide (right). 3. Immunofluorescence staining of methanol-fixed Hela cells using SEK1/MKK4 (Phospho-Ser80) Antibody TMAC-03704. ![]() ![]() ![]() |
| Application | |
| Antibody Type | Polyclonal |
| Host Species | Rabbit |
| Construction | Polyclonal Antibody |
| Purification | Antibodies were produced by immunizing rabbits with synthetic phosphopeptide and KLH conjugates. Antibodies were purified by affinity-chromatography using epitope-specific phosphopeptide. Non-phospho specific antibodies were removed by chromatogramphy using non-phosphopeptide. |
| Appearance | Liquid |
| Formulation | Supplied at 1.0mg/mL in phosphate buffered saline (without Mg2+ and Ca2+), pH 7.4, 150mM NaCl, 0.02% sodium azide and 50% glycerol. |
| Research Background | Dual specificity kinase that activates the JUN kinases MAPK8 (JNK1) and MAPK9 (JNK2) as well as MAPK14 (p38) but not MAPK1 (ERK2) or MAPK3 (ERK1). |
| Conjucates | Unconjugated |
| Others Formats | Phospho |
| Immunogen | Peptide sequence around phosphorylation site of serine 80 (T-H-S(p)-I-E) derived from Human SEK1/MKK4 |
| Antigen Species | human |
| Uniprot ID |
| Stability & Storage | Store at 2°C-8°C for 1 month. Store at -20°C or -80°C for 12 months. Avoid repeated freeze-thaw cycles. |
| Transport | Shipping with blue ice. |
| Size | Quantity | Unit Price | Amount | Operation |
|---|

Copyright © 2015-2026 TargetMol Chemicals Inc. All Rights Reserved.