Shopping Cart
- Remove All
 Your shopping cart is currently empty Your shopping cart is currently empty
Anti-Phospho-MEF2C (Ser396) Polyclonal Antibody is a Rabbit antibody targeting Phospho-MEF2C (Ser396). Anti-Phospho-MEF2C (Ser396) Polyclonal Antibody can be used in IHC,WB.
| Pack Size | Price | Availability | Quantity | 
|---|---|---|---|
| 50 μL | $217 | 7-10 days | |
| 100 μL | $317 | 7-10 days | 
| Description | Anti-Phospho-MEF2C (Ser396) Polyclonal Antibody is a Rabbit antibody targeting Phospho-MEF2C (Ser396). Anti-Phospho-MEF2C (Ser396) Polyclonal Antibody can be used in IHC,WB. | 
| Synonyms | p-MEF2C (Ser396), p-MEF2C (S396), MEF2C (p-Ser396), MEF2C (p-S396) | 
| Ig Type | IgG | 
| Reactivity | Human,Mouse | 
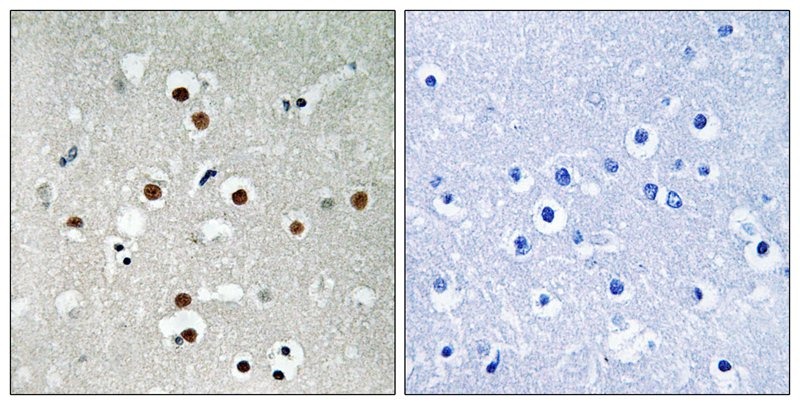
| Verified Activity | 1. Western blot analysis of extracts from cos-7 cells (Lane 2), using MEF2C (Phospho-Ser396) Antibody TMAC-02523. The lane on the left is treated with antigen-specific peptide. 2. Immunohistochemical analysis of paraffin-embedded human brain tissue using MEF2C (Phospho-Ser396) antibody TMAC-02523 (left) or the same antibody preincubated with blocking peptide (right).   | 
| Application | |
| Recommended Dose | WB: 1:500-1000; IHC: 1:50-100 | 
| Antibody Type | Polyclonal | 
| Host Species | Rabbit | 
| Construction | Polyclonal Antibody | 
| Purification | Antibodies were produced by immunizing rabbits with synthetic phosphopeptide and KLH conjugates. Antibodies were purified by affinity-chromatography using epitope-specific phosphopeptide. Non-phospho specific antibodies were removed by chromatogramphy using non-phosphopeptide. | 
| Appearance | Liquid | 
| Formulation | Rabbit IgG in phosphate buffered saline (without Mg2+ and Ca2+), pH 7.4, 150mM NaCl, 0.02% sodium azide and 50% glycerol. | 
| Research Background | MEF2C transcription factor of the MADS family which binds specifically to the MEF2 element present in the regulatory regions of many muscle-specific genes. May be involved in myogenesis, neurogenesis and in the development of cortical architecture. Three splice-variant isoforms have been described. | 
| Conjucates | Unconjugated | 
| Others Formats | Phospho | 
| Immunogen | Peptide sequence around phosphorylation site of Serine 396(P-V-S(p)-P-P) derived from Human MEF2C | 
| Antigen Species | human | 
| Uniprot ID | 
| Molecular Weight | Actual: 51 kDa. | 
| Stability & Storage | Store at -20°C or -80°C for 12 months. Avoid repeated freeze-thaw cycles. | 
| Transport | Shipping with blue ice. | 

Copyright © 2015-2025 TargetMol Chemicals Inc. All Rights Reserved.