Shopping Cart
Remove All
Your shopping cart is currently empty
Anti-Phospho-MEF2A (Ser408) Polyclonal Antibody is a Rabbit antibody targeting Phospho-MEF2A (Ser408). Anti-Phospho-MEF2A (Ser408) Polyclonal Antibody can be used in IHC.
| Pack Size | Price | USA Warehouse | Global Warehouse | Quantity |
|---|---|---|---|---|
| 50 μL | $216 | 7-10 days | 7-10 days | |
| 100 μL | $317 | 7-10 days | 7-10 days |
| Description | Anti-Phospho-MEF2A (Ser408) Polyclonal Antibody is a Rabbit antibody targeting Phospho-MEF2A (Ser408). Anti-Phospho-MEF2A (Ser408) Polyclonal Antibody can be used in IHC. |
| Synonyms | p-MEF2A (Ser408), p-MEF2A (S408), MEF2A (p-Ser408), MEF2A (p-S408) |
| Ig Type | IgG |
| Reactivity | Human,Mouse,Rat |
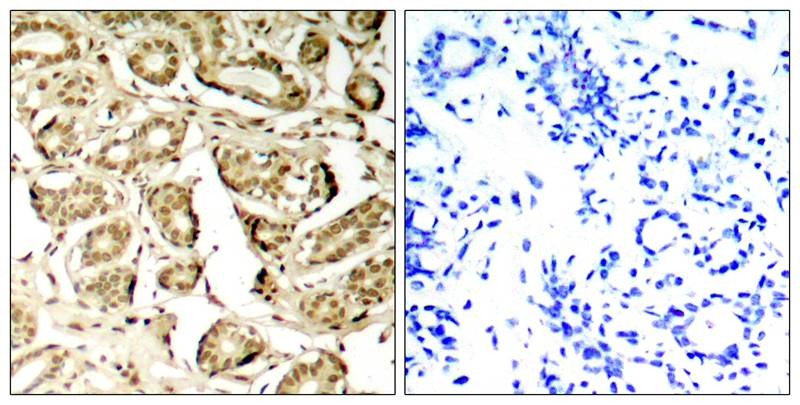
| Verified Activity | 1. Immunohistochemical analysis of paraffin-embedded human breast carcinoma tissue using MEF2A (Phospho-Ser408) Antibody TMAC-02518 (left) or the same antibody preincubated with blocking peptide (right). ![]() |
| Application | |
| Antibody Type | Polyclonal |
| Host Species | Rabbit |
| Construction | Polyclonal Antibody |
| Purification | Antibodies were produced by immunizing rabbits with synthetic phosphopeptide and KLH conjugates. Antibodies were purified by affinity-chromatography using epitope-specific phosphopeptide. Non-phospho specific antibodies were removed by chromatogramphy using non-phosphopeptide. |
| Appearance | Liquid |
| Formulation | Supplied at 1.0mg/mL in phosphate buffered saline (without Mg2+ and Ca2+), pH 7.4, 150mM NaCl, 0.02% sodium azide and 50% glycerol. |
| Research Background | The process of differentiation from mesodermal precursor cells to myoblasts has led to the discovery of a variety of tissue-specific factors that regulate muscle gene expression. The myogenic basic helix-loop-helix proteins, including myoD (MIM 159970), myogenin (MIM 159980), MYF5 (MIM 159990), and MRF4 (MIM 159991) are one class of identified factors. A second family of DNA binding regulatory proteins is the myocyte-specific enhancer factor-2 (MEF2) family. Each of these proteins binds to the MEF2 target DNA sequence present in the regulatory regions of many, if not all, muscle-specific genes. The MEF2 genes are members of the MADS gene family (named for the yeast mating type-specific transcription factor MCM1, the plant homeotic genes 'agamous' and 'deficiens' and the human serum response factor SRF (MIM 600589)), a family that also includes several homeotic genes and other transcription factors, all of which share a conserved DNA-binding domain |
| Conjucates | Unconjugated |
| Others Formats | Phospho |
| Immunogen | Peptide sequence around phosphorylation site of serine 408 (P-I-S(p)-P-P) derived from Human MEF2A |
| Antigen Species | human |
| Uniprot ID |
| Stability & Storage | Store at 2°C-8°C for 1 month. Store at -20°C or -80°C for 12 months. Avoid repeated freeze-thaw cycles. |
| Transport | Shipping with blue ice. |
| Size | Quantity | Unit Price | Amount | Operation |
|---|

Copyright © 2015-2026 TargetMol Chemicals Inc. All Rights Reserved.