Shopping Cart
Remove All
Your shopping cart is currently empty
Anti-Phospho-MDMX (Ser367) Polyclonal Antibody is a Rabbit antibody targeting Phospho-MDMX (Ser367). Anti-Phospho-MDMX (Ser367) Polyclonal Antibody can be used in IHC,WB.
| Pack Size | Price | USA Warehouse | Global Warehouse | Quantity |
|---|---|---|---|---|
| 50 μL | $216 | 7-10 days | 7-10 days | |
| 100 μL | $317 | 7-10 days | 7-10 days |
| Description | Anti-Phospho-MDMX (Ser367) Polyclonal Antibody is a Rabbit antibody targeting Phospho-MDMX (Ser367). Anti-Phospho-MDMX (Ser367) Polyclonal Antibody can be used in IHC,WB. |
| Synonyms | p-MDMX (Ser367), p-MDMX (S367), MDMX (p-Ser367), MDMX (p-S367) |
| Ig Type | IgG |
| Reactivity | Human,Mouse,Rat |
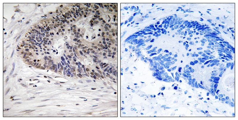
| Verified Activity | 1. Western blot analysis of extracts from HeLa cells, treated with calyculinA (50ng/ml, 30mins), using MDM4 (Phospho-Ser367) antibody TMAC-02511. The lane on the right is treated with the synthesized peptide. 2. Immunohistochemistry analysis of paraffin-embedded human colon carcinoma tissue using MDM4 (Phospho-Ser367) antibody TMAC-02511. The picture on the right is treated with the synthesized peptide. ![]() ![]() |
| Application | |
| Recommended Dose | WB: 1:500-3000; IHC: 1:50-100 |
| Antibody Type | Polyclonal |
| Host Species | Rabbit |
| Construction | Polyclonal Antibody |
| Purification | Antibodies were produced by immunizing rabbits with synthetic phosphopeptide and KLH conjugates. Antibodies were purified by affinity-chromatography using epitope-specific phosphopeptide. Non-phospho specific antibodies were removed by chromatogramphy using non-phosphopeptide. |
| Appearance | Liquid |
| Formulation | Rabbit IgG in phosphate buffered saline (without Mg2+ and Ca2+), pH 7.4, 150mM NaCl, 0.02% sodium azide and 50% glycerol. |
| Research Background | Inhibits p53/TP53- and TP73/p73-mediated cell cycle arrest and apoptosis by binding its transcriptional activation domain. Inhibits degradation of MDM2. Can reverse MDM2-targeted degradation of TP53 while maintaining suppression of TP53 transactivation and apoptotic functions. |
| Conjucates | Unconjugated |
| Others Formats | Phospho |
| Immunogen | Peptide sequence around phosphorylation site of serine 367 (T-I-S(p)-A-P) derived from Human MDM4 |
| Antigen Species | human |
| Uniprot ID |
| Molecular Weight | Actual: 80 kDa. |
| Stability & Storage | Store at -20°C or -80°C for 12 months. Avoid repeated freeze-thaw cycles. |
| Transport | Shipping with blue ice. |
| Size | Quantity | Unit Price | Amount | Operation |
|---|

Copyright © 2015-2026 TargetMol Chemicals Inc. All Rights Reserved.