Shopping Cart
Remove All
Your shopping cart is currently empty
Anti-Phospho-MDM2 (Ser166) Polyclonal Antibody is a Rabbit antibody targeting Phospho-MDM2 (Ser166). Anti-Phospho-MDM2 (Ser166) Polyclonal Antibody can be used in IF,IHC,WB.
| Pack Size | Price | USA Warehouse | Global Warehouse | Quantity |
|---|---|---|---|---|
| 50 μL | $218 | 7-10 days | 7-10 days | |
| 100 μL | $316 | 7-10 days | 7-10 days |
| Description | Anti-Phospho-MDM2 (Ser166) Polyclonal Antibody is a Rabbit antibody targeting Phospho-MDM2 (Ser166). Anti-Phospho-MDM2 (Ser166) Polyclonal Antibody can be used in IF,IHC,WB. |
| Synonyms | p-MDM2 (Ser166), p-MDM2 (S166), MDM2 (p-Ser166), MDM2 (p-S166) |
| Ig Type | IgG |
| Reactivity | Human |
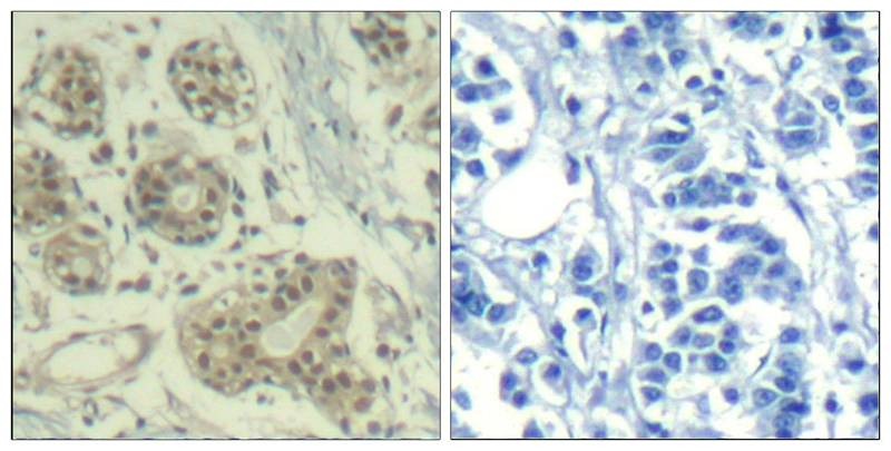
| Verified Activity | 1. Western blot analysis of extracts from 293 cells untreated or treated with Hydroxyurea using MDM2 (phospho-Ser166) Antibody TMAC-02510. 2. Immunohistochemical analysis of paraffin-embedded human breast carcinoma tissue using MDM2 (Phospho-Ser166) Antibody TMAC-02510 (left) or the same antibody preincubated with blocking peptide (right). 3. Immunofluorescence staining of methanol-fixed Hela cells using MDM2 (phospho-Ser166) Antibody TMAC-02510. ![]() ![]() ![]() |
| Application | |
| Antibody Type | Polyclonal |
| Host Species | Rabbit |
| Construction | Polyclonal Antibody |
| Purification | Antibodies were produced by immunizing rabbits with synthetic phosphopeptide and KLH conjugates. Antibodies were purified by affinity-chromatography using epitope-specific phosphopeptide. Non-phospho specific antibodies were removed by chromatogramphy using non-phosphopeptide. |
| Appearance | Liquid |
| Formulation | Supplied at 1.0mg/mL in phosphate buffered saline (without Mg2+ and Ca2+), pH 7.4, 150mM NaCl, 0.02% sodium azide and 50% glycerol. |
| Research Background | This gene is a target gene of the transcription factor tumor protein p53. The encoded protein is a nuclear phosphoprotein that binds and inhibits transactivation by tumor protein p53, as part of an autoregulatory negative feedback loop. Overexpression of this gene can result in excessive inactivation of tumor protein p53, diminishing its tumor suppressor function. This protein has E3 ubiquitin ligase activity, which targets tumor protein p53 for proteasomal degradation. This protein also affects the cell cycle, apoptosis, and tumorigenesis through interactions with other proteins, including retinoblastoma 1 and ribosomal protein L5. More than 40 different alternatively spliced transcript variants have been isolated from both tumor and normal tissues |
| Conjucates | Unconjugated |
| Others Formats | Phospho |
| Immunogen | Peptide sequence around phosphorylation site of Serine 166 (A-I-S(p)-E-T) derived from Human MDM2 |
| Antigen Species | human |
| Uniprot ID |
| Stability & Storage | Store at 2°C-8°C for 1 month. Store at -20°C or -80°C for 12 months. Avoid repeated freeze-thaw cycles. |
| Transport | Shipping with blue ice. |
| Size | Quantity | Unit Price | Amount | Operation |
|---|

Copyright © 2015-2026 TargetMol Chemicals Inc. All Rights Reserved.