Shopping Cart
Remove All
Your shopping cart is currently empty
Anti-Phospho-MCU (S92) Polyclonal Antibody is a Rabbit antibody targeting Phospho-MCU (S92). Anti-Phospho-MCU (S92) Polyclonal Antibody can be used in IF,IHC,WB.
| Pack Size | Price | USA Warehouse | Global Warehouse | Quantity |
|---|---|---|---|---|
| 50 μL | $298 | 7-10 days | 7-10 days | |
| 100 μL | $496 | 7-10 days | 7-10 days |
| Description | Anti-Phospho-MCU (S92) Polyclonal Antibody is a Rabbit antibody targeting Phospho-MCU (S92). Anti-Phospho-MCU (S92) Polyclonal Antibody can be used in IF,IHC,WB. |
| Synonyms | p-MCU (S92), MCU (p-S92) |
| Ig Type | IgG |
| Reactivity | Human,Mouse,Rat |
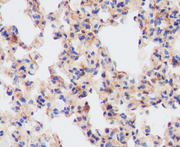
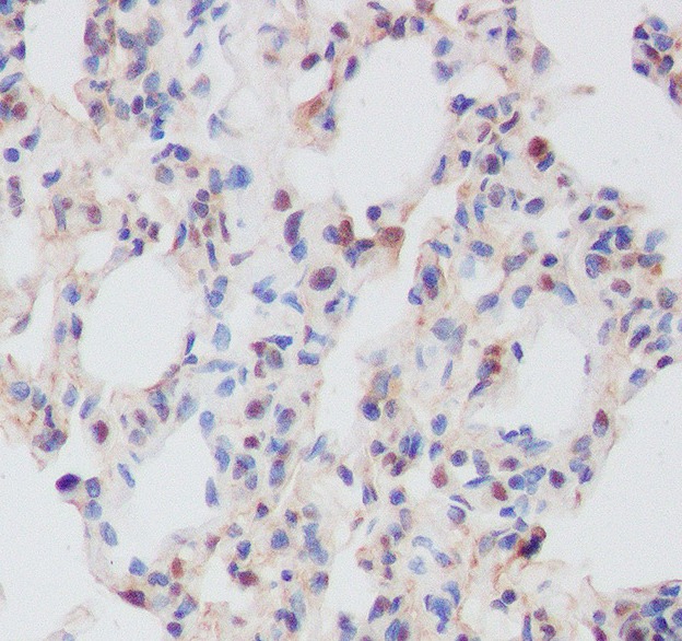
| Verified Activity | 1. All lanes: Phospho-MCU (S92) Rabbit mAb at 1/1k dilution, Lane 1: MCF7 whole cell lysates, Lane 2 : 293T whole cell lysates, Lane 3: A549 whole cell lysates, Lane 4 : Rat Liver lysates, Lysates/proteins at 20 μg per lane. Secondary All lanes: Goat Anti-Rabbit IgG H&L (HRP) at 1/20000 dilution, Predicted band size: 40 kDa, Observed band size: 32 kDa, Exposure time: 8 seconds. 2. All lanes: Phospho-MCU (S92) Rabbit mAb at 1/1k dilution, Lane 1: 3T3 whole cell lysates, Lane 2: 293T whole cell lysates, Lane 3: 293T treated with Lambda Protein Phosphatase for 30min whole cell lysates, Lane 4: MCF7 whole cell lysates, Lane 5: MCF7 treated with Lambda Protein Phosphatase for 30min whole cell lysates, Lysates/proteins at 20 μg per lane. Secondary All lanes: Goat Anti-Rabbit IgG H&L (HRP) at 1/20000 dilution, Predicted band size: 40 kDa, Observed band size: 32 kDa, Exposure time: 10 seconds. 3. Formalin-fixed, paraffin-embedded human lung carcinom tissue stained for Phospho-MCU (S92) using 14297 at 1/100 dilution in immunohistochemical analysis. 4. Formalin-fixed, paraffin-embedded mouse lung tissue stained for Phospho-MCU (S92) using 14297 at 1/100 dilution in immunohistochemical analysis. 5. Formalin-fixed, paraffin-embedded rat lung tissue stained for Phospho-MCU (S92) using 14297 at 1/100 dilution in immunohistochemical analysis. 6. Immunocytochemistry/Immunofluorescence-Phospho-MCU (S92) antibody, Phospho-MCU (S92) Rabbit mAb staining Phospho-MCU (S92) in the HeLa cell line by ICC/IF. Cells were fixed with 4% Paraformaldehyde permeabilized with 0.1% Triton X-100. Samples were incubated with Phospho-MCU (S92) Rabbit mAb at a working dilution of 1/100. The secondary antibody was Alexa Fluor® 488 goat anti rabbit, used at a dilution of 1/500. The negative control is shown in bottom right hand panel-for the negative control, purified Phospho-MCU (S92) Rabbit mAb was used at a dilution of 1/100 followed by Alexa Fluor® 647 goat anti- rabbit antibody at a dilution of 1/500. Nuclei were counterstained with DAPI. ![]() ![]() ![]() ![]() ![]() ![]() |
| Application | |
| Recommended Dose | WB: 1:500-2000; IHC: 1:50-200; IF: 1:50-200 |
| Antibody Type | Polyclonal |
| Host Species | Rabbit |
| Construction | Polyclonal Antibody |
| Purification | Affinity-chromatography |
| Appearance | Liquid |
| Formulation | Rabbit IgG in phosphate buffered saline , pH 7.4, 150mM NaCl, 0.02% sodium azide and 50% glycerol. |
| Research Background | Mitochondrial inner membrane calcium uniporter that mediates calcium uptake into mitochondria (PubMed:21685888, PubMed:21685886, PubMed:23101630, PubMed:22904319, PubMed:23178883, PubMed:22829870, PubMed:22822213, PubMed:24332854, PubMed:23755363, PubMed:26341627). |
| Conjucates | Unconjugated |
| Others Formats | Phospho |
| Immunogen | A synthesized phosphopeptide: human MCU Receptor around the phosphorylation site of S92 |
| Antigen Species | human |
| Uniprot ID |
| Molecular Weight | Actual: 32 kDa. |
| Color | Transparent |
| Appearance | Liquid |
| Stability & Storage | Store at 2°C-8°C for 1 month. Store at -20°C or -80°C for 12 months. Avoid repeated freeze-thaw cycles. |
| Transport | Shipping with blue ice. |
| Size | Quantity | Unit Price | Amount | Operation |
|---|

Copyright © 2015-2026 TargetMol Chemicals Inc. All Rights Reserved.