Shopping Cart
Remove All
Your shopping cart is currently empty
Anti-Phospho-MAPT (Thr181) Polyclonal Antibody is a Rabbit antibody targeting Phospho-MAPT (Thr181). Anti-Phospho-MAPT (Thr181) Polyclonal Antibody can be used in IHC,WB.
| Pack Size | Price | USA Warehouse | Global Warehouse | Quantity |
|---|---|---|---|---|
| 50 μL | $216 | 7-10 days | 7-10 days | |
| 100 μL | $316 | 7-10 days | 7-10 days |
| Description | Anti-Phospho-MAPT (Thr181) Polyclonal Antibody is a Rabbit antibody targeting Phospho-MAPT (Thr181). Anti-Phospho-MAPT (Thr181) Polyclonal Antibody can be used in IHC,WB. |
| Synonyms | p-MAPT (Thr181), p-MAPT (T181), MAPT (p-Thr181), MAPT (p-T181) |
| Ig Type | IgG |
| Reactivity | Human,Mouse,Rat |
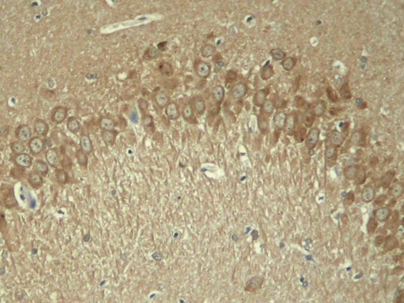
| Verified Activity | 1. Western blot analysis of extracts from mouse brain tissue using Tau (Phospho-Thr181) Antibody TMAC-03984 and the same antibody preincubated with blocking peptide. 2. Immunohistochemical analysis of paraffin-embedded rat hippocampal region tissue from a model with Alzheimer ![]() ![]() |
| Application | |
| Antibody Type | Polyclonal |
| Host Species | Rabbit |
| Construction | Polyclonal Antibody |
| Purification | Antibodies were produced by immunizing rabbits with synthetic phosphopeptide and KLH conjugates. Antibodies were purified by affinity-chromatography using epitope-specific phosphopeptide. Non-phospho specific antibodies were removed by chromatogramphy using non-phosphopeptide. |
| Appearance | Liquid |
| Formulation | Supplied at 1.0mg/mL in phosphate buffered saline (without Mg2+ and Ca2+), pH 7.4, 150mM NaCl, 0.02% sodium azide and 50% glycerol. |
| Research Background | Promotes microtubule assembly and stability, and might be involved in the establishment and maintenance of neuronal polarity. The C-terminus binds axonal microtubules while the N-terminus binds neural plasma membrane components, suggesting that tau functions as a linker protein between both. Axonal polarity is predetermined by tau localization (in the neuronal cell) in the domain of the cell body defined by the centrosome. The short isoforms allow plasticity of the cytoskeleton whereas the longer isoforms may preferentially play a role in its stabilization. |
| Conjucates | Unconjugated |
| Others Formats | Phospho |
| Immunogen | Peptide sequence around phosphorylation site of threonine 181 (P-K-T(p)-P-P) derived from Human Tau |
| Antigen Species | human |
| Uniprot ID |
| Stability & Storage | Store at 2°C-8°C for 1 month. Store at -20°C or -80°C for 12 months. Avoid repeated freeze-thaw cycles. |
| Transport | Shipping with blue ice. |
| Size | Quantity | Unit Price | Amount | Operation |
|---|

Copyright © 2015-2026 TargetMol Chemicals Inc. All Rights Reserved.