Shopping Cart
Remove All
Your shopping cart is currently empty
Anti-Phospho-MAPT (Thr231) Antibody (5E870) is a Rabbit antibody targeting Phospho-MAPT (Thr231). Anti-Phospho-MAPT (Thr231) Antibody (5E870) can be used in IHC,IP,WB.
| Pack Size | Price | USA Warehouse | Global Warehouse | Quantity |
|---|---|---|---|---|
| 50 μL | $296 | 7-10 days | 7-10 days | |
| 100 μL | $498 | 7-10 days | 7-10 days |
| Description | Anti-Phospho-MAPT (Thr231) Antibody (5E870) is a Rabbit antibody targeting Phospho-MAPT (Thr231). Anti-Phospho-MAPT (Thr231) Antibody (5E870) can be used in IHC,IP,WB. |
| Synonyms | p-MAPT (Thr231), p-MAPT (T231), MAPT (p-Thr231), MAPT (p-T231) |
| Ig Type | IgG |
| Clone | 5E870 |
| Reactivity | Human,Mouse,Rat |
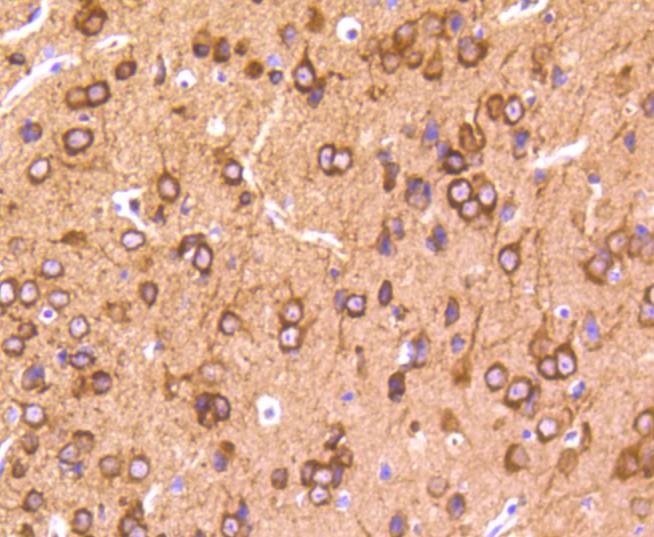
| Verified Activity | 1. Immunohistochemical analysis of paraffin-embedded mouse brain tissue using anti-phospho-Tau (T231) antibody. Counter stained with hematoxylin. ![]() |
| Application | |
| Recommended Dose | WB: 1:1000; IHC: 1:50-200 |
| Antibody Type | Monoclonal |
| Host Species | Rabbit |
| Construction | Hybridoma Monoclonal Antibody |
| Purification | ProA affinity purified |
| Appearance | Liquid |
| Formulation | 1*TBS (pH7.4), 1%BSA, 40%Glycerol. Preservative: 0.05% Sodium Azide. |
| Research Background | Tau, also known as MAPT (microtubule-associated protein tau), MAPTL, MTBT1 or TAU, is a 758 amino acid protein that localizes to the cytoplasm, as well as to the cytoskeleton and the cell membrane, and contains four Tau/MAP repeats. Expressed in neuronal tissue and existing as multiple alternatively spliced isoforms, Tau functions to promote microtubule assembly and stability and is thought to be involved in the maintenance of neuronal polarity. Tau may also link microtubules with neural plasma membrane components and, addition to its role in microtubule stability, is also necessary for cytoskeletal plasticity. Tau is highly subject to a variety of post-translational modifications, including phosphorylation on serine and threonine residues, polyubiquitination (and subsequent proteasomal degradation) and glycation of specific Tau isoforms. Defects in the gene encoding Tau are associated with Alzheimers disease, pallido-ponto-nigral degeneration (PPND), corticobasal degeneration (CBD) and progressive supranuclear palsy (PSP). |
| Conjucates | Unconjugated |
| Others Formats | Phospho |
| Immunogen | A synthesized phosphopeptide: human Tau around the phosphorylation site of Thr231 |
| Antigen Species | human |
| Uniprot ID |
| Molecular Weight | Theoretical: 46 kDa. |
| Stability & Storage | Store at -20°C or -80°C for 12 months. Avoid repeated freeze-thaw cycles. |
| Transport | Shipping with blue ice. |
| Size | Quantity | Unit Price | Amount | Operation |
|---|

Copyright © 2015-2026 TargetMol Chemicals Inc. All Rights Reserved.