Shopping Cart
Remove All
Your shopping cart is currently empty
Anti-Phospho-MAPKAPK2 (Thr334) Polyclonal Antibody is a Rabbit antibody targeting Phospho-MAPKAPK2 (Thr334). Anti-Phospho-MAPKAPK2 (Thr334) Polyclonal Antibody can be used in IHC,WB.
| Pack Size | Price | USA Warehouse | Global Warehouse | Quantity |
|---|---|---|---|---|
| 50 μL | $216 | 7-10 days | 7-10 days | |
| 100 μL | $317 | 7-10 days | 7-10 days |
| Description | Anti-Phospho-MAPKAPK2 (Thr334) Polyclonal Antibody is a Rabbit antibody targeting Phospho-MAPKAPK2 (Thr334). Anti-Phospho-MAPKAPK2 (Thr334) Polyclonal Antibody can be used in IHC,WB. |
| Synonyms | p-MAPKAPK2 (Thr334), p-MAPKAPK2 (T334), MAPKAPK2 (p-Thr334), MAPKAPK2 (p-T334) |
| Ig Type | IgG |
| Reactivity | Human,Mouse,Rat |
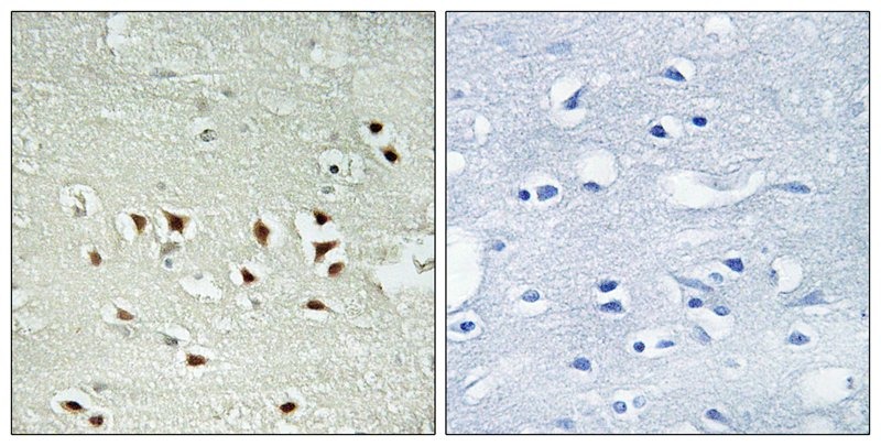
| Verified Activity | 1. Western blot analysis of extracts from NIH/3T3 cells, using MAPKAPK2 (Phospho-Thr334) antibody TMAC-02468. The lane on the right is treated with the synthesized peptide. 2. Immunohistochemical analysis of paraffin-embedded human breast carcinoma tissue using MAPKAPK2 (Phospho-Thr334) antibody TMAC-02468. The picture on the right is treated with the synthesized peptide. ![]() ![]() |
| Application | |
| Recommended Dose | WB: 1:500-3000; IHC: 1:50-100 |
| Antibody Type | Polyclonal |
| Host Species | Rabbit |
| Construction | Polyclonal Antibody |
| Purification | Antibodies were produced by immunizing rabbits with synthetic phosphopeptide and KLH conjugates. Antibodies were purified by affinity-chromatography using epitope-specific phosphopeptide. Non-phospho specific antibodies were removed by chromatogramphy using non-phosphopeptide. |
| Appearance | Liquid |
| Formulation | Rabbit IgG in phosphate buffered saline (without Mg2+ and Ca2+), pH 7.4, 150mM NaCl, 0.02% sodium azide and 50% glycerol. |
| Research Background | Stress-activated serine/threonine-protein kinase involved in cytokines production, endocytosis, reorganization of the cytoskeleton, cell migration, cell cycle control, chromatin remodeling, DNA damage response and transcriptional regulation. Following stress, it is phosphorylated and activated by MAP kinase p38-alpha/MAPK14, leading to phosphorylation of substrates. Phosphorylates serine in the peptide sequence, Hyd-X-R-X(2)-S, where Hyd is a large hydrophobic residue. Phosphorylates ALOX5, CDC25B, CDC25C, ELAVL1, HNRNPA0, HSF1, HSP27/HSPB1, KRT18, KRT20, LIMK1, LSP1, PABPC1, PARN, PDE4A, RCSD1, RPS6KA3, TAB3 and TTP/ZFP36. Mediates phosphorylation of HSP27/HSPB1 in response to stress, leading to dissociate HSP27/HSPB1 from large small heat-shock protein (sHsps) oligomers and impair their chaperone activities and ability to protect against oxidative stress effectively. |
| Conjucates | Unconjugated |
| Others Formats | Phospho |
| Immunogen | Peptide sequence around phosphorylation site of threonine 334 (P-Q-T(p)-P-L) derived from Human MAPKAPK2 |
| Antigen Species | human |
| Uniprot ID |
| Molecular Weight | Actual: 49 kDa. |
| Stability & Storage | Store at -20°C or -80°C for 12 months. Avoid repeated freeze-thaw cycles. |
| Transport | Shipping with blue ice. |
| Size | Quantity | Unit Price | Amount | Operation |
|---|

Copyright © 2015-2026 TargetMol Chemicals Inc. All Rights Reserved.