Shopping Cart
- Remove All
 Your shopping cart is currently empty Your shopping cart is currently empty
Anti-Phospho-MAPK3/ERK2 (Tyr204) Polyclonal Antibody is a Rabbit antibody targeting Phospho-MAPK3/ERK2 (Tyr204). Anti-Phospho-MAPK3/ERK2 (Tyr204) Polyclonal Antibody can be used in IF,IHC,WB.
| Pack Size | Price | Availability | Quantity | 
|---|---|---|---|
| 50 μL | $216 | 7-10 days | |
| 100 μL | $316 | 7-10 days | 
| Description | Anti-Phospho-MAPK3/ERK2 (Tyr204) Polyclonal Antibody is a Rabbit antibody targeting Phospho-MAPK3/ERK2 (Tyr204). Anti-Phospho-MAPK3/ERK2 (Tyr204) Polyclonal Antibody can be used in IF,IHC,WB. | 
| Synonyms | p-MAPK3/ERK2 (Y204), p-MAPK3/ERK2 (Tyr204), MAPK3/ERK2 (p-Y204), MAPK3/ERK2 (p-Tyr204) | 
| Ig Type | IgG | 
| Reactivity | Human,Mouse,Rat | 
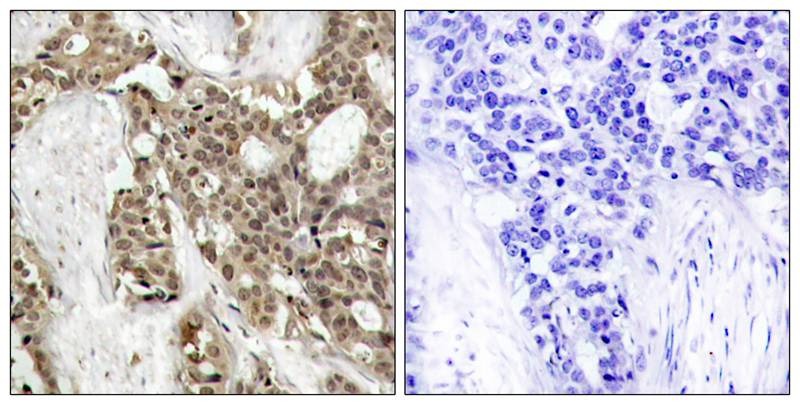
| Verified Activity | 1. Immunohistochemical analysis of paraffin-embedded human breast carcinoma tissue using p44/42 MAP Kinase (Phospho-Tyr204) Antibody TMAC-02966 (left) or the same antibody preincubated with blocking peptide (right). 2. Western blot analysis of extracts from SK-BR-3 cells, treated with insulin and EGF, and pretreated with U0126 and LY294002 cells using p44/42 MAP Kinase (Phospho-Tyr204) Antibody TMAC-02966. 3. Immunofluorescence staining of methanol-fixed Hela cells showing centrosome and nuclear staining using p44/42 MAP Kinase (Phospho-Tyr204) Antibody TMAC-02966. 4. Western blot analysis of various lysates using p44/42 MAP Kinase (Phospho-Tyr204) Antibody at 1:500 dilution. Secondary antibody: HRP-conjugated Goat anti-Rabbit IgG (H+L) (L3012) at 1:10000 dilution. Lysates/proteins: 25μg per lane.     | 
| Application | |
| Antibody Type | Polyclonal | 
| Host Species | Rabbit | 
| Construction | Polyclonal Antibody | 
| Purification | Antibodies were produced by immunizing rabbits with synthetic phosphopeptide and KLH conjugates. Antibodies were purified by affinity-chromatography using epitope-specific phosphopeptide. Non-phospho specific antibodies were removed by chromatogramphy using non-phosphopeptide. | 
| Appearance | Liquid | 
| Formulation | Supplied at 1.0mg/mL in phosphate buffered saline (without Mg2+ and Ca2+), pH 7.4, 150mM NaCl, 0.02% sodium azide and 50% glycerol. | 
| Research Background | Involved in both the initiation and regulation of meiosis, mitosis, and postmitotic functions in differentiated cells by phosphorylating a number of transcription factors such as ELK-1. Phosphorylates EIF4EBP1; required for initiation of translation. Phosphorylates microtubule-associated protein 2 (MAP2). Phosphorylates SPZ1 | 
| Conjucates | Unconjugated | 
| Others Formats | Phospho | 
| Immunogen | Peptide sequence around phosphorylation site of tyrosine 204 (T-E-Y(p)-V-A) derived from Human p44/42 MAP Kinase | 
| Antigen Species | human | 
| Stability & Storage | Store at 2°C-8°C for 1 month. Store at -20°C or -80°C for 12 months. Avoid repeated freeze-thaw cycles. | 
| Transport | Shipping with blue ice. | 

Copyright © 2015-2025 TargetMol Chemicals Inc. All Rights Reserved.