Shopping Cart
Remove All
Your shopping cart is currently empty
Anti-Phospho-MAPK14 (Tyr323) Polyclonal Antibody is a Rabbit antibody targeting Phospho-MAPK14 (Tyr323). Anti-Phospho-MAPK14 (Tyr323) Polyclonal Antibody can be used in ELISA,IF,IHC,WB.
| Pack Size | Price | USA Warehouse | Global Warehouse | Quantity |
|---|---|---|---|---|
| 50 μL | $216 | 7-10 days | 7-10 days | |
| 100 μL | $318 | 7-10 days | 7-10 days |
| Description | Anti-Phospho-MAPK14 (Tyr323) Polyclonal Antibody is a Rabbit antibody targeting Phospho-MAPK14 (Tyr323). Anti-Phospho-MAPK14 (Tyr323) Polyclonal Antibody can be used in ELISA,IF,IHC,WB. |
| Synonyms | p-MAPK14 (Y323), p-MAPK14 (Tyr323), MAPK14 (p-Y323), MAPK14 (p-Tyr323) |
| Ig Type | IgG |
| Reactivity | Human,Mouse,Rat |
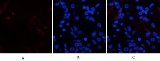
| Verified Activity | 1. Western Blot analysis of HEPG2-UV cells using Phospho-p38 (Y323) Polyclonal Antibody.
2. Western Blot analysis of 823 293-UV 22RV1 cells using Phospho-p38 (Y323) Polyclonal Antibody. 3. Immunofluorescence analysis of human-stomach tissue. 4. Immunohistochemical analysis of paraffin-embedded Mouse-heart tissue. 5. Immunohistochemical analysis of paraffin-embedded Rat-kidney tissue. 6. Immunohistochemical analysis of paraffin-embedded Human-uterus tissue. ![]() ![]() ![]() ![]() ![]() ![]() |
| Application | |
| Recommended Dose | WB: 1:500-2000; IHC: 1:100-300; IF: 1:50-200; ELISA: 1:5000 |
| Antibody Type | Polyclonal |
| Host Species | Rabbit |
| Construction | Polyclonal Antibody |
| Purification | The antibody was affinity-purified from rabbit antiserum by affinity-chromatography using epitope-specific immunogen. |
| Appearance | Liquid |
| Formulation | Liquid in PBS containing 50% glycerol, 0.5% BSA and 0.02% sodium azide. |
| Conjucates | Unconjugated |
| Others Formats | Phospho |
| Immunogen | A synthesized phosphopeptide: human p38 around the phosphorylation site of Y323 |
| Antigen Species | human |
| Uniprot ID |
| Molecular Weight | Actual: 35 kDa. |
| Stability & Storage | Store at -20°C or -80°C for 12 months. Avoid repeated freeze-thaw cycles. |
| Transport | Shipping with blue ice. |
| Size | Quantity | Unit Price | Amount | Operation |
|---|

Copyright © 2015-2026 TargetMol Chemicals Inc. All Rights Reserved.