Shopping Cart
Remove All
Your shopping cart is currently empty
Anti-Phospho-MAPK14 (Tyr182) Polyclonal Antibody is a Rabbit antibody targeting Phospho-MAPK14 (Tyr182). Anti-Phospho-MAPK14 (Tyr182) Polyclonal Antibody can be used in IHC,WB.
| Pack Size | Price | USA Warehouse | Global Warehouse | Quantity |
|---|---|---|---|---|
| 50 μL | $217 | 7-10 days | 7-10 days | |
| 100 μL | $316 | 7-10 days | 7-10 days |
| Description | Anti-Phospho-MAPK14 (Tyr182) Polyclonal Antibody is a Rabbit antibody targeting Phospho-MAPK14 (Tyr182). Anti-Phospho-MAPK14 (Tyr182) Polyclonal Antibody can be used in IHC,WB. |
| Synonyms | p-MAPK14 (Y182), p-MAPK14 (Tyr182), MAPK14 (p-Y182), MAPK14 (p-Tyr182) |
| Ig Type | IgG |
| Reactivity | Human,Mouse,Rat |
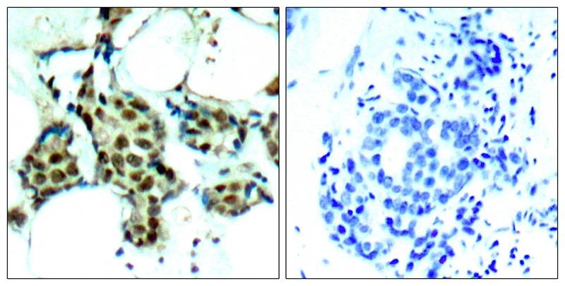
| Verified Activity | 1. Western blot analysis of extracts from Hela cells untreated or treated with UV for the indicated times, using P38 MAPK (Phospho-Tyr182) Antibody TMAC-02959. 2. Immunohistochemical analysis of paraffin-embedded human breast carcinoma tissue using P38 MAPK (Phospho-Tyr182) Antibody TMAC-02959 (left) or the same antibody preincubated with blocking peptide (right). 3. Western blot analysis of extracts from Hela cells, treated with TNFa or calf intestinal phosphatase (CIP), using P38 MAPK (Phospho-Tyr182) Antibody TMAC-02959. ![]() ![]() ![]() |
| Application | |
| Antibody Type | Polyclonal |
| Host Species | Rabbit |
| Construction | Polyclonal Antibody |
| Purification | Antibodies were produced by immunizing rabbits with synthetic phosphopeptide and KLH conjugates. Antibodies were purified by affinity-chromatography using epitope-specific phosphopeptide. Non-phospho specific antibodies were removed by chromatogramphy using non-phosphopeptide. |
| Appearance | Liquid |
| Formulation | Supplied at 1.0mg/mL in phosphate buffered saline (without Mg2+ and Ca2+), pH 7.4, 150mM NaCl, 0.02% sodium azide and 50% glycerol. |
| Research Background | Responds to activation by environmental stress, pro-inflammatory cytokines and lipopolysaccharide (LPS) by phosphorylating a number of transcription factors, such as ELK1 and ATF2 and several downstream kinases, such as MAPKAPK2 and MAPKAPK5. Plays a critical role in the production of some cytokines, for example IL-6. May play a role in stabilization of EPO mRNA during hypoxic stress. Isoform Mxi2 activation is stimulated by mitogens and oxidative stress and only poorly phosphorylates ELK1 and ATF2. Isoform Exip may play a role in the early onset of apoptosis. |
| Conjucates | Unconjugated |
| Others Formats | Phospho |
| Immunogen | Peptide sequence around phosphorylation site of tyrosine 182 (T-G-Y(p)-V-A) derived from Human P38 MAPK |
| Antigen Species | human |
| Uniprot ID |
| Stability & Storage | Store at 2°C-8°C for 1 month. Store at -20°C or -80°C for 12 months. Avoid repeated freeze-thaw cycles. |
| Transport | Shipping with blue ice. |
| Size | Quantity | Unit Price | Amount | Operation |
|---|

Copyright © 2015-2026 TargetMol Chemicals Inc. All Rights Reserved.