Shopping Cart
Remove All
Your shopping cart is currently empty
Anti-Phospho-MAP2K7 (Ser271) Polyclonal Antibody is a Rabbit antibody targeting Phospho-MAP2K7 (Ser271). Anti-Phospho-MAP2K7 (Ser271) Polyclonal Antibody can be used in IHC,WB.
| Pack Size | Price | USA Warehouse | Global Warehouse | Quantity |
|---|---|---|---|---|
| 50 μL | $218 | 7-10 days | 7-10 days | |
| 100 μL | $316 | 7-10 days | 7-10 days |
| Description | Anti-Phospho-MAP2K7 (Ser271) Polyclonal Antibody is a Rabbit antibody targeting Phospho-MAP2K7 (Ser271). Anti-Phospho-MAP2K7 (Ser271) Polyclonal Antibody can be used in IHC,WB. |
| Synonyms | p-MAP2K7 (Ser271), p-MAP2K7 (S271), MAP2K7 (p-Ser271), MAP2K7 (p-S271) |
| Ig Type | IgG |
| Reactivity | Human |
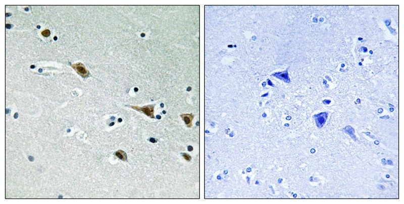
| Verified Activity | 1. Western blot analysis of extracts from 3T3 cells treated with insulin using MAP2K7 (Phospho-Ser271) Antibody TMAC-02456. The lane on the right is treated with the antigen-specific peptide. 2. Immunohistochemical analysis of paraffin-embedded humanbrain tissue, using MAP2K7 (Phospho-Ser271) antibody TMAC-02456 (left) or the same antibody preincubated with blocking peptide (right). ![]() ![]() |
| Application | |
| Recommended Dose | WB: 1:500-1000; IHC: 1:50-100 |
| Antibody Type | Polyclonal |
| Host Species | Rabbit |
| Construction | Polyclonal Antibody |
| Purification | Antibodies were produced by immunizing rabbits with synthetic phosphopeptide and KLH conjugates. Antibodies were purified by affinity-chromatography using epitope-specific phosphopeptide. Non-phospho specific antibodies were removed by chromatogramphy using non-phosphopeptide. |
| Appearance | Liquid |
| Formulation | Rabbit IgG in phosphate buffered saline (without Mg2+ and Ca2+), pH 7.4, 150mM NaCl, 0.02% sodium azide and 50% glycerol. |
| Research Background | The protein encoded by this gene is a dual specificity protein kinase that belongs to the MAP kinase kinase family. This kinase specifically activates MAPK8/JNK1 and MAPK9/JNK2, and this kinase itself is phosphorylated and activated by MAP kinase kinase kinases including MAP3K1/MEKK1, MAP3K2/MEKK2,MAP3K3/MEKK5, and MAP4K2/GCK. This kinase is involved in the signal transduction mediating the cell responses to proinflammatory cytokines, and environmental stresses. Multiple alternatively spliced transcript variants encoding distinct isoforms have been found, but only one transcript variant has been supported and defined. |
| Conjucates | Unconjugated |
| Others Formats | Phospho |
| Immunogen | Peptide sequence around phosphorylation site of Serine271(V-D-S(p)-K-A) derived from Human MAP2K7 |
| Antigen Species | human |
| Uniprot ID |
| Molecular Weight | Actual: 60 kDa. |
| Stability & Storage | Store at -20°C or -80°C for 12 months. Avoid repeated freeze-thaw cycles. |
| Transport | Shipping with blue ice. |
| Size | Quantity | Unit Price | Amount | Operation |
|---|

Copyright © 2015-2026 TargetMol Chemicals Inc. All Rights Reserved.