Shopping Cart
Remove All
Your shopping cart is currently empty
Anti-Phospho-MAP2K1 (Ser221) Polyclonal Antibody is a Rabbit antibody targeting Phospho-MAP2K1 (Ser221). Anti-Phospho-MAP2K1 (Ser221) Polyclonal Antibody can be used in IF,IHC,WB.
| Pack Size | Price | USA Warehouse | Global Warehouse | Quantity |
|---|---|---|---|---|
| 50 μL | $217 | 7-10 days | 7-10 days | |
| 100 μL | $317 | 7-10 days | 7-10 days |
| Description | Anti-Phospho-MAP2K1 (Ser221) Polyclonal Antibody is a Rabbit antibody targeting Phospho-MAP2K1 (Ser221). Anti-Phospho-MAP2K1 (Ser221) Polyclonal Antibody can be used in IF,IHC,WB. |
| Synonyms | p-MAP2K1 (Ser221), p-MAP2K1 (S221), MAP2K1 (p-Ser221), MAP2K1 (p-S221) |
| Ig Type | IgG |
| Reactivity | Human,Mouse,Rat |
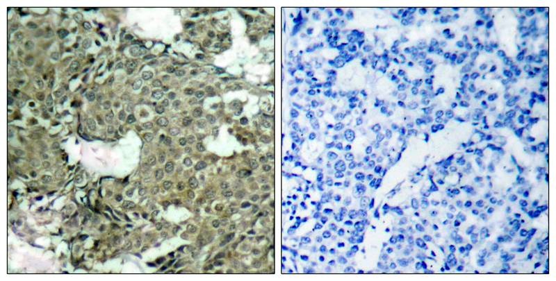
| Verified Activity | 1. Western blot analysis of extracts from Hela cells untreated or treated with EGF using MEK1 (Phospho-Ser221) Antibody TMAC-02533. 2. Immunohistochemical analysis of paraffin-embedded human breast carcinoma tissue using MEK1 (Phospho-Ser221) Antibody TMAC-02533 (left) or the same antibody preincubated with blocking peptide (right). 3. Immunofluorescence staining of methanol-fixed Hela cells using MEK1 (Phospho-Ser221) Antibody TMAC-02533. 4. Western blot analysis of extracts from Hela cells, treated with calf intestinal phosphatase (CIP), using MEK1 (Phospho-Ser221) Antibody TMAC-02533. ![]() ![]() ![]() ![]() |
| Application | |
| Antibody Type | Polyclonal |
| Host Species | Rabbit |
| Construction | Polyclonal Antibody |
| Purification | Antibodies were produced by immunizing rabbits with synthetic phosphopeptide and KLH conjugates. Antibodies were purified by affinity-chromatography using epitope-specific phosphopeptide. Non-phospho specific antibodies were removed by chromatogramphy using non-phosphopeptide. |
| Appearance | Liquid |
| Formulation | Supplied at 1.0mg/mL in phosphate buffered saline (without Mg2+ and Ca2+), pH 7.4, 150mM NaCl, 0.02% sodium azide and 50% glycerol. |
| Research Background | Catalyzes the concomitant phosphorylation of a threonine and a tyrosine residue in a Thr-Glu-Tyr sequence located in MAP kinases. Activates ERK1 and ERK2 MAP kinases. |
| Conjucates | Unconjugated |
| Others Formats | Phospho |
| Immunogen | Peptide sequence around phosphorylation site of serine 221 (A-N-S(p)-F-V) derived from Human MEK1 |
| Antigen Species | human |
| Uniprot ID |
| Stability & Storage | Store at 2°C-8°C for 1 month. Store at -20°C or -80°C for 12 months. Avoid repeated freeze-thaw cycles. |
| Transport | Shipping with blue ice. |
| Size | Quantity | Unit Price | Amount | Operation |
|---|

Copyright © 2015-2026 TargetMol Chemicals Inc. All Rights Reserved.