Shopping Cart
Remove All
Your shopping cart is currently empty
Anti-Phospho-MAP2K1 (Ser298) Antibody (9P567) is a Rabbit antibody targeting Phospho-MAP2K1 (Ser298). Anti-Phospho-MAP2K1 (Ser298) Antibody (9P567) can be used in ICC/IF,IHC,WB.
| Pack Size | Price | USA Warehouse | Global Warehouse | Quantity |
|---|---|---|---|---|
| 50 μL | $297 | 7-10 days | 7-10 days | |
| 100 μL | $498 | 7-10 days | 7-10 days |
| Description | Anti-Phospho-MAP2K1 (Ser298) Antibody (9P567) is a Rabbit antibody targeting Phospho-MAP2K1 (Ser298). Anti-Phospho-MAP2K1 (Ser298) Antibody (9P567) can be used in ICC/IF,IHC,WB. |
| Synonyms | p-MAP2K1 (Ser298), p-MAP2K1 (S298), MAP2K1 (p-Ser298), MAP2K1 (p-S298) |
| Ig Type | IgG |
| Clone | 9P567 |
| Reactivity | Human,Mouse,Rat |
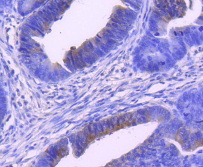
| Verified Activity | 1. Western blot analysis of Phospho-MEK1 (S298) on different lysates using anti-Phospho-MEK1 (S298) antibody at 1/1,000 dilution. Positive control: Lane 1: Hela, Lane 2: NIH/3T3, Lane 3: A431. 2. Immunohistochemical analysis of paraffin-embedded human colon cancer tissue using anti-Phospho-MEK1 (S298) antibody. Counter stained with hematoxylin. 3. ICC staining Phospho-MEK1 (S298) in Hela cells (green). The nuclear counter stain is DAPI (blue). Cells were fixed in paraformaldehyde, permeabilised with 0.25% Triton X100/PBS. 4. ICC staining Phospho-MEK1 (S298) in NIH/3T3 cells (green). The nuclear counter stain is DAPI (blue). Cells were fixed in paraformaldehyde, permeabilised with 0.25% Triton X100/PBS. 5. ICC staining Phospho-MEK1 (S298) in SW480 cells (green). The nuclear counter stain is DAPI (blue). Cells were fixed in paraformaldehyde, permeabilised with 0.25% Triton X100/PBS. ![]() ![]() ![]() ![]() ![]() |
| Application | |
| Recommended Dose | WB: 1:1000-2000; IHC: 1:50-200; ICC/IF: 1:50-200 |
| Antibody Type | Monoclonal |
| Host Species | Rabbit |
| Construction | Recombinant Antibody |
| Purification | ProA affinity purified |
| Appearance | Liquid |
| Formulation | 1*TBS (pH7.4), 1%BSA, 40%Glycerol. Preservative: 0.05% Sodium Azide. |
| Research Background | A family of protein kinases located upstream of the MAP kinases and responsible for their activation has been identified. The prototype member of this family, designated MAP kinase kinase, or MEK-1, specifically phosphorylates the MAP kinase regulatory threonine and tyrosine residues present in the Thr-Glu-Tyr motif of ERK. A second MEK family member, MEK-2, resembles MEK-1 in its substrate specificity. MEK-3 (or MKK-3) functions to activate p38 MAP kinase, and MEK-4 (also called SEK1 or MKK-4) activates both p38 and JNK MAP kinases. MEK-5 appears to specifically phosphorylate ERK5, whereas MEK-6 phosphorylates p38 and p38b. MEK-7 (or MKK-7) phosphorylates and activates the JNK signal transduction pathway. |
| Conjucates | Unconjugated |
| Others Formats | Phospho |
| Immunogen | A synthesized phosphopeptide: human MEK1 around the phosphorylation site of Ser298 |
| Antigen Species | human |
| Uniprot ID |
| Molecular Weight | Theoretical: 43 kDa. |
| Stability & Storage | Store at -20°C or -80°C for 12 months. Avoid repeated freeze-thaw cycles. |
| Transport | Shipping with blue ice. |
| Size | Quantity | Unit Price | Amount | Operation |
|---|

Copyright © 2015-2026 TargetMol Chemicals Inc. All Rights Reserved.