Shopping Cart
Remove All
Your shopping cart is currently empty
Anti-Phospho-MAP2K1 (Ser218, 222) Antibody (3S158) is a Rabbit antibody targeting Phospho-MAP2K1 (Ser218, 222). Anti-Phospho-MAP2K1 (Ser218, 222) Antibody (3S158) can be used in ICC/IF,IHC,IP,WB.
| Pack Size | Price | USA Warehouse | Global Warehouse | Quantity |
|---|---|---|---|---|
| 50 μL | $298 | 7-10 days | 7-10 days | |
| 100 μL | $496 | 7-10 days | 7-10 days |
| Description | Anti-Phospho-MAP2K1 (Ser218, 222) Antibody (3S158) is a Rabbit antibody targeting Phospho-MAP2K1 (Ser218, 222). Anti-Phospho-MAP2K1 (Ser218, 222) Antibody (3S158) can be used in ICC/IF,IHC,IP,WB. |
| Synonyms | p-MAP2K1 (Ser218, 222), p-MAP2K1 (S218, 222), MAP2K1 (p-Ser218, 222), MAP2K1 (p-S218, 222) |
| Ig Type | IgG |
| Clone | 3S158 |
| Reactivity | Human |
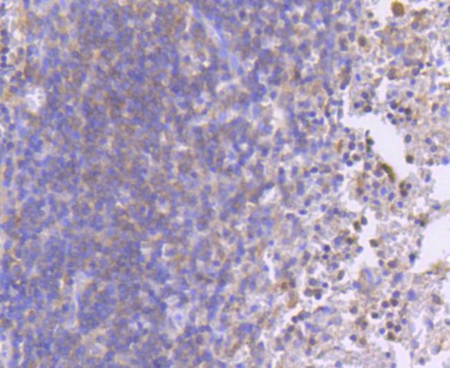
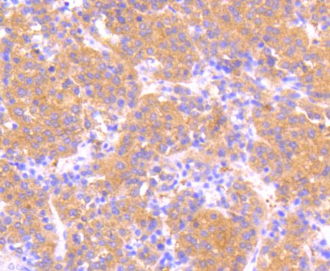
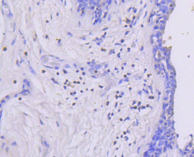
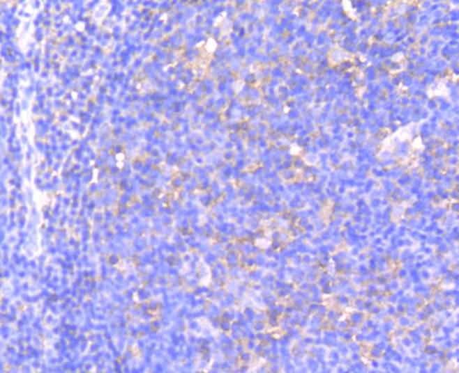
| Verified Activity | 1. Western blot analysis of Phospho-MEK1 (S218/S222) on different lysates using anti-Phospho-MEK1 (S218/S222) antibody at 1/1,000 dilution. Positive control: Lane 1: A431, Lane 2: Hela, Lane 3: 293T. 2. Immunohistochemical analysis of paraffin-embedded human tonsil tissue using anti-Phospho-MEK1 (S218/S222) antibody. Counter stained with hematoxylin. 3. Immunohistochemical analysis of paraffin-embedded human liver cancer tissue using anti-Phospho-MEK1 (S218/S222) antibody. Counter stained with hematoxylin. 4. Immunohistochemical analysis of paraffin-embedded human spleen tissue using anti-Phospho-MEK1 (S218/S222) antibody. Counter stained with hematoxylin. 5. Immunohistochemical analysis of paraffin-embedded human breast tissue using anti-Phospho-MEK1 (S218/S222) antibody. Counter stained with hematoxylin. 6. ICC staining Phospho-MEK1 (S218/S222) in Hela cells (green). The nuclear counter stain is DAPI (blue). Cells were fixed in paraformaldehyde, permeabilised with 0.25% Triton X100/PBS. 7. ICC staining Phospho-MEK1 (S218/S222) in HepG2 cells (green). The nuclear counter stain is DAPI (blue). Cells were fixed in paraformaldehyde, permeabilised with 0.25% Triton X100/PBS. 8. ICC staining Phospho-MEK1 (S218/S222) in NIH/3T3 cells (green). The nuclear counter stain is DAPI (blue). Cells were fixed in paraformaldehyde, permeabilised with 0.25% Triton X100/PBS. ![]() ![]() ![]() ![]() ![]() ![]() ![]() ![]() |
| Application | |
| Recommended Dose | WB: 1:1000-2000; IHC: 1:50-200; ICC/IF: 1:50-200 |
| Antibody Type | Monoclonal |
| Host Species | Rabbit |
| Construction | Recombinant Antibody |
| Purification | ProA affinity purified |
| Appearance | Liquid |
| Formulation | 1*TBS (pH7.4), 1%BSA, 40%Glycerol. Preservative: 0.05% Sodium Azide. |
| Research Background | Activation of extracellular signal-regulated kinase (ERK) or mitogen-activated protein kinase by MEK (mitogen-activated protein kinase or extracellular signal-regulated kinase kinase) is an essential event in the mitogenic growth factor-induced signal transduction pathway. Phosphorylation of MEKs correlates with their ability to phosphorylate and activate ERKs. MEK1 and MEK2 can also be activated by autophosphorylation. Lipopolysaccharide activates many of the MAPK family members of the immediate upstream MAPK activator MEK1, MEK2, and MEK3. In plants, MEK can phosphorylate and activate MAPK, and that Tyr phosphorylation is critical for the catalytic activity of MAPK in plants. |
| Conjucates | Unconjugated |
| Others Formats | Phospho |
| Immunogen | A synthesized phosphopeptide: human MEK1 around the phosphorylation site of Ser218 and 222 |
| Antigen Species | human |
| Uniprot ID |
| Molecular Weight | Theoretical: 45 kDa. |
| Stability & Storage | Store at -20°C or -80°C for 12 months. Avoid repeated freeze-thaw cycles. |
| Transport | Shipping with blue ice. |
| Size | Quantity | Unit Price | Amount | Operation |
|---|

Copyright © 2015-2026 TargetMol Chemicals Inc. All Rights Reserved.