Shopping Cart
Remove All
Your shopping cart is currently empty
Anti-Phospho-KRT18 (Ser33) Polyclonal Antibody is a Rabbit antibody targeting Phospho-KRT18 (Ser33). Anti-Phospho-KRT18 (Ser33) Polyclonal Antibody can be used in IHC,WB.
| Pack Size | Price | USA Warehouse | Global Warehouse | Quantity |
|---|---|---|---|---|
| 50 μL | $217 | 7-10 days | 7-10 days | |
| 100 μL | $317 | 7-10 days | 7-10 days |
| Description | Anti-Phospho-KRT18 (Ser33) Polyclonal Antibody is a Rabbit antibody targeting Phospho-KRT18 (Ser33). Anti-Phospho-KRT18 (Ser33) Polyclonal Antibody can be used in IHC,WB. |
| Synonyms | p-KRT18 (Ser33), p-KRT18 (S33), KRT18 (p-Ser33), KRT18 (p-S33) |
| Ig Type | IgG |
| Reactivity | Human |
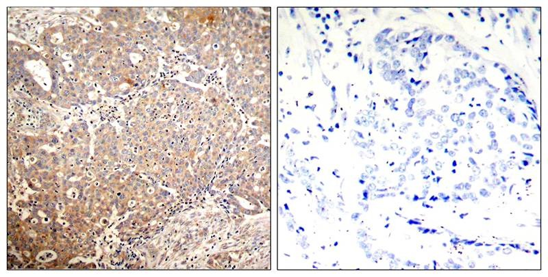
| Verified Activity | 1. Western blot analysis of extracts from HT29 cells untreated or treated with EGF using Keratin 18 (Phospho-Ser33) Antibody TMAC-02306. 2. Immunohistochemical analysis of paraffin-embedded human breast carcinoma tissue using Keratin 18 (Phospho-Ser33) Antibody TMAC-02306 (left) or the same antibody preincubated with blocking peptide (right). ![]() ![]() |
| Application | |
| Antibody Type | Polyclonal |
| Host Species | Rabbit |
| Construction | Polyclonal Antibody |
| Purification | Antibodies were produced by immunizing rabbits with synthetic phosphopeptide and KLH conjugates. Antibodies were purified by affinity-chromatography using epitope-specific phosphopeptide. Non-phospho specific antibodies were removed by chromatogramphy using non-phosphopeptide. |
| Appearance | Liquid |
| Formulation | Supplied at 1.0mg/mL in phosphate buffered saline (without Mg2+ and Ca2+), pH 7.4, 150mM NaCl, 0.02% sodium azide and 50% glycerol. |
| Research Background | KRT18 encodes the type I intermediate filament chain keratin 18. Keratin 18, together with its filament partner keratin 8, are perhaps the most commonly found members of the intermediate filament gene family. They are expressed in single layer epithelial tissues of the body. utations in this gene have been linked to cryptogenic cirrhosis. Two transcript variants encoding the same protein have been found for this gene. |
| Conjucates | Unconjugated |
| Others Formats | Phospho |
| Immunogen | Peptide sequence around phosphorylation site of serine 33 (A-A-S(p)-V-Y) derived from Human Keratin 18 (CK18) |
| Antigen Species | human |
| Uniprot ID |
| Stability & Storage | Store at 2°C-8°C for 1 month. Store at -20°C or -80°C for 12 months. Avoid repeated freeze-thaw cycles. |
| Transport | Shipping with blue ice. |
| Size | Quantity | Unit Price | Amount | Operation |
|---|

Copyright © 2015-2026 TargetMol Chemicals Inc. All Rights Reserved.