Shopping Cart
Remove All
Your shopping cart is currently empty
Anti-Phospho-JunD (Ser255) Antibody (2L794) is a Rabbit antibody targeting Phospho-JunD (Ser255). Anti-Phospho-JunD (Ser255) Antibody (2L794) can be used in ICC/IF,IHC,WB.
| Pack Size | Price | USA Warehouse | Global Warehouse | Quantity |
|---|---|---|---|---|
| 50 μL | $298 | 7-10 days | 7-10 days | |
| 100 μL | $496 | 7-10 days | 7-10 days |
| Description | Anti-Phospho-JunD (Ser255) Antibody (2L794) is a Rabbit antibody targeting Phospho-JunD (Ser255). Anti-Phospho-JunD (Ser255) Antibody (2L794) can be used in ICC/IF,IHC,WB. |
| Synonyms | p-JunD (Ser255), p-JunD (S255), JunD (p-Ser255), JunD (p-S255) |
| Ig Type | IgG |
| Clone | 2L794 |
| Reactivity | Human,Mouse,Rat |
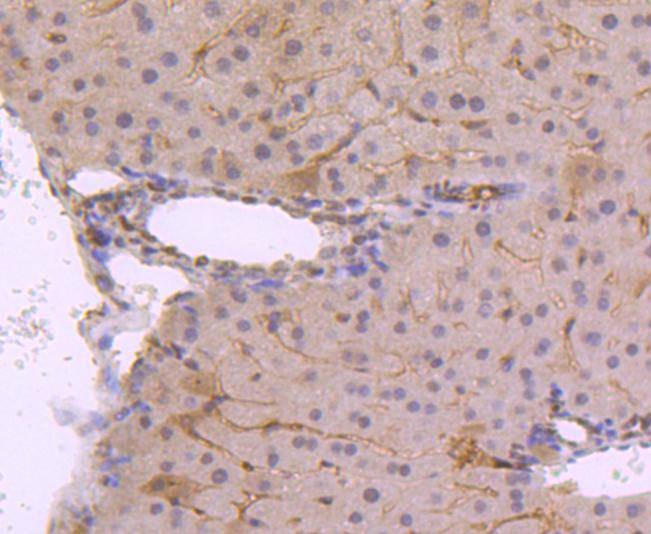
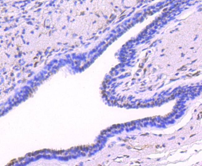
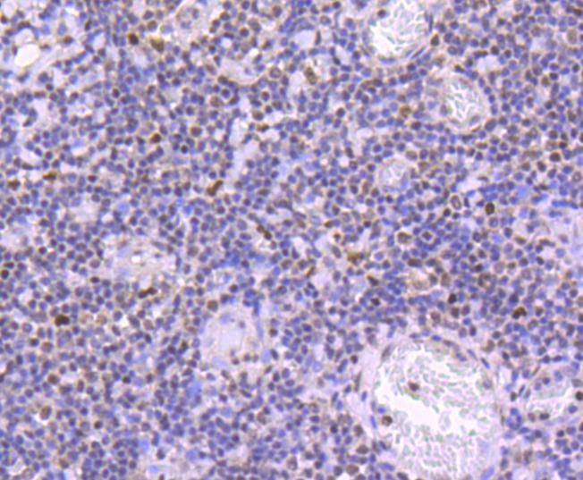
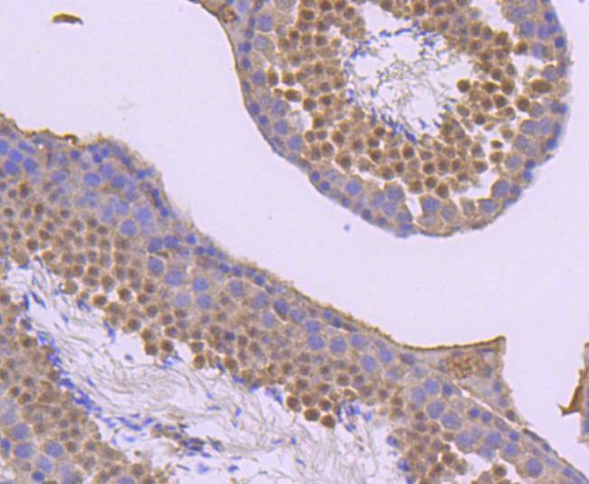
| Verified Activity | 1. Immunohistochemical analysis of paraffin-embedded human tonsil tissue using anti-Phospho-JunD (S255) antibody. Counter stained with hematoxylin. 2. Immunohistochemical analysis of paraffin-embedded mouse liver tissue using anti-Phospho-JunD (S255) antibody. Counter stained with hematoxylin. 3. Immunohistochemical analysis of paraffin-embedded human breast carcinoma tissue using anti-Phospho-JunD (S255) antibody. Counter stained with hematoxylin. 4. Immunohistochemical analysis of paraffin-embedded mouse testis tissue using anti-Phospho-JunD (S255) antibody. Counter stained with hematoxylin. 5. ICC staining Phospho-JunD (S255) in HepG2 cells (green). The nuclear counter stain is DAPI (blue). Cells were fixed in paraformaldehyde, permeabilised with 0.25% Triton X100/PBS. 6. ICC staining Phospho-JunD (S255) in Hela cells (green). The nuclear counter stain is DAPI (blue). Cells were fixed in paraformaldehyde, permeabilised with 0.25% Triton X100/PBS. 7. ICC staining Phospho-JunD (S255) in MCF-7 cells (green). The nuclear counter stain is DAPI (blue). Cells were fixed in paraformaldehyde, permeabilised with 0.25% Triton X100/PBS. ![]() ![]() ![]() ![]() ![]() ![]() ![]() |
| Application | |
| Recommended Dose | WB: 1:1000; IHC: 1:50-200; ICC/IF: 1:50-200 |
| Antibody Type | Monoclonal |
| Host Species | Rabbit |
| Construction | Recombinant Antibody |
| Purification | ProA affinity purified |
| Appearance | Liquid |
| Formulation | 1*TBS (pH7.4), 1%BSA, 40%Glycerol. Preservative: 0.05% Sodium Azide. |
| Research Background | The activator protein-1 (AP-1) transcription factor consists of either Jun/Jun homodimers or Fos/Jun heterodimeric complexes. Homo- and heterodimers bind to the TGACTCA consensus sequence present in numerous promoters and initially identified as the phorbol ester tumor promoter response element (TRE). Jun B and Jun D have been shown to be almost identical to c-Jun in their C-terminal regions, which are involved in dimerization and DNA binding, whereas their N-terminal domains, which are involved in transcriptional activation, diverge. All three form heterodimers among themselves and with c-Fos and other members of the Fos gene family. Studies suggest that the two forms of Jun D may be due to internal initiation of translation. |
| Conjucates | Unconjugated |
| Others Formats | Phospho |
| Immunogen | A synthesized phosphopeptide: human JunD around the phosphorylation site of Ser255 |
| Antigen Species | human |
| Uniprot ID |
| Molecular Weight | Theoretical: 35 kDa. |
| Stability & Storage | Store at -20°C or -80°C for 12 months. Avoid repeated freeze-thaw cycles. |
| Transport | Shipping with blue ice. |
| Size | Quantity | Unit Price | Amount | Operation |
|---|

Copyright © 2015-2026 TargetMol Chemicals Inc. All Rights Reserved.