Shopping Cart
- Remove All
 Your shopping cart is currently empty Your shopping cart is currently empty
Anti-Phospho-JNK2 (Thr183) Polyclonal Antibody is a Rabbit antibody targeting Phospho-JNK2 (Thr183). Anti-Phospho-JNK2 (Thr183) Polyclonal Antibody can be used in IHC,WB.
| Pack Size | Price | Availability | Quantity | 
|---|---|---|---|
| 50 μL | $217 | 7-10 days | |
| 100 μL | $316 | 7-10 days | 
| Description | Anti-Phospho-JNK2 (Thr183) Polyclonal Antibody is a Rabbit antibody targeting Phospho-JNK2 (Thr183). Anti-Phospho-JNK2 (Thr183) Polyclonal Antibody can be used in IHC,WB. | 
| Synonyms | p-JNK2 (Thr183), p-JNK2 (T183), JNK2 (p-Thr183), JNK2 (p-T183) | 
| Ig Type | IgG | 
| Reactivity | Human,Mouse,Rat | 
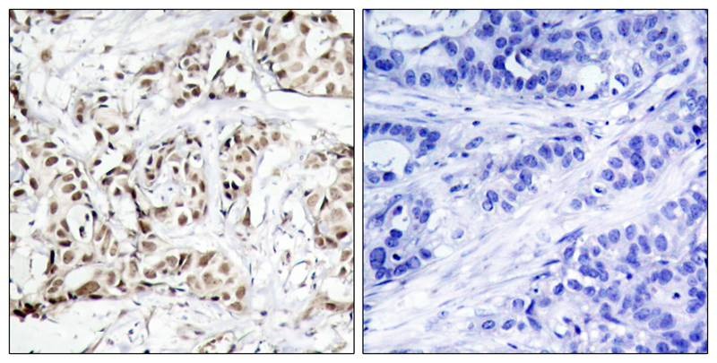
| Verified Activity | 1. Western blot analysis of extracts from 293 cells using SAPK/JNK (Phospho-Thr183) Antibody TMAC-03685 (Lane 2) and the same antibody preincubated with blocking peptide (Lane1). 2. Immunohistochemical analysis of paraffin-embedded human breast carcinoma tissue using SAPK/JNK (Phospho-Thr183) Antibody TMAC-03685 (left) or the same antibody preincubated with blocking peptide (right). 3. Western blot analysis of extracts from 293 cells, treated with UV or calf intestinal phosphatase (CIP), using SAPK/JNK (Phospho-Thr183) Antibody TMAC-03685.    | 
| Application | |
| Antibody Type | Polyclonal | 
| Host Species | Rabbit | 
| Construction | Polyclonal Antibody | 
| Purification | Antibodies were produced by immunizing rabbits with synthetic phosphopeptide and KLH conjugates. Antibodies were purified by affinity-chromatography using epitope-specific phosphopeptide. Non-phospho specific antibodies were removed by chromatogramphy using non-phosphopeptide. | 
| Appearance | Liquid | 
| Formulation | Supplied at 1.0mg/mL in phosphate buffered saline (without Mg2+ and Ca2+), pH 7.4, 150mM NaCl, 0.02% sodium azide and 50% glycerol. | 
| Research Background | Responds to activation by environmental stress and pro-inflammatory cytokines by phosphorylating a number of transcription factors, primarily components of AP-1 such as c-Jun and ATF2 and thus regulates AP-1 transcriptional activity. In T-cells, JNK1 and JNK2 are required for polarized differentiation of T-helper cells into Th1 cells. | 
| Conjucates | Unconjugated | 
| Others Formats | Phospho | 
| Immunogen | Peptide sequence around phosphorylation site of threonine 183 (M-M-T(p)-P-Y) derived from Human SAPK/JNK | 
| Antigen Species | human | 
| Uniprot ID | 
| Stability & Storage | Store at 2°C-8°C for 1 month. Store at -20°C or -80°C for 12 months. Avoid repeated freeze-thaw cycles. | 
| Transport | Shipping with blue ice. | 

Copyright © 2015-2025 TargetMol Chemicals Inc. All Rights Reserved.