Shopping Cart
Remove All
Your shopping cart is currently empty
Anti-Phospho-JNK1/2/MAPK10 (Thr183/183/221) Antibody (7N200) is a Rabbit antibody targeting Phospho-JNK1/2/MAPK10 (Thr183/183/221). Anti-Phospho-JNK1/2/MAPK10 (Thr183/183/221) Antibody (7N200) can be used in FCM,ICC/IF,IHC,IP,WB.
| Pack Size | Price | USA Warehouse | Global Warehouse | Quantity |
|---|---|---|---|---|
| 50 μL | $296 | 7-10 days | 7-10 days | |
| 100 μL | $498 | 7-10 days | 7-10 days |
| Description | Anti-Phospho-JNK1/2/MAPK10 (Thr183/183/221) Antibody (7N200) is a Rabbit antibody targeting Phospho-JNK1/2/MAPK10 (Thr183/183/221). Anti-Phospho-JNK1/2/MAPK10 (Thr183/183/221) Antibody (7N200) can be used in FCM,ICC/IF,IHC,IP,WB. |
| Synonyms | p-JNK1/2/MAPK10 (Thr183/183/221), p-JNK1/2/MAPK10 (T183/183/221), JNK1/2/MAPK10 (p-Thr183/183/221), JNK1/2/MAPK10 (p-T183/183/221) |
| Ig Type | IgG |
| Clone | 7N200 |
| Reactivity | Human,Mouse,Rat |
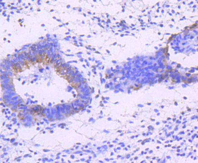
| Verified Activity | 1. Western blot analysis of Phospho-JNK1/2/3 (T183+T183+T221) on different lysates using anti-Phospho-JNK1/2/3 (T183+T183+T221) antibody at 1/1,000 dilution. Positive control: Lane 1: NIH/3T3 cell lysate, treated with Anisomycin, Lane 2: NIH/3T3 cell lysate, untreated. 2. Immunohistochemical analysis of paraffin-embedded human liver tissue using anti-Phospho-JNK1/2/3 (T183+T183+T221) antibody. Counter stained with hematoxylin. 3. Immunohistochemical analysis of paraffin-embedded human uterus tissue using anti-Phospho-JNK1/2/3 (T183+T183+T221) antibody. Counter stained with hematoxylin. 4. Immunohistochemical analysis of paraffin-embedded mouse heart tissue using anti-Phospho-JNK1/2/3 (T183+T183+T221) antibody. Counter stained with hematoxylin. 5. ICC staining Phospho-JNK1/2/3 (T183+T183+T221) in Hela cells (green). The nuclear counter stain is DAPI (blue). Cells were fixed in paraformaldehyde, permeabilised with 0.25% Triton X100/PBS. 6. ICC staining Phospho-JNK1/2/3 (T183+T183+T221) in NIH/3T3 cells (green). The nuclear counter stain is DAPI (blue). Cells were fixed in paraformaldehyde, permeabilised with 0.25% Triton X100/PBS. 7. ICC staining Phospho-JNK1/2/3 (T183+T183+T221) in HUVEC cells (green). The nuclear counter stain is DAPI (blue). Cells were fixed in paraformaldehyde, permeabilised with 0.25% Triton X100/PBS. 8. Flow cytometric analysis of Hela cells with Phospho-JNK1/2/3 (T183+T183+T221) antibody at 1/50 dilution (blue) compared with an unlabelled control (cells without incubation with primary antibody; red). Alexa Fluor 488-conjugated goat anti rabbit IgG was used as the secondary antibody. ![]() ![]() ![]() ![]() ![]() ![]() ![]() ![]() |
| Application | |
| Recommended Dose | WB: 1:1000-2000; IHC: 1:50-200; ICC/IF: 1:50-200; FCM: 1:50-100 |
| Antibody Type | Monoclonal |
| Host Species | Rabbit |
| Construction | Recombinant Antibody |
| Purification | ProA affinity purified |
| Appearance | Liquid |
| Formulation | 1*TBS (pH7.4), 1%BSA, 40%Glycerol. Preservative: 0.05% Sodium Azide. |
| Research Background | JNKs (c-Jun N-terminal kinases) belong to a family of MAP kinases that are involved in a variety of cellular processes, including transcriptional regulation and cellular proliferation, differentiation and development. JNK2 (c-Jun N-terminal kinase 2) and JNK3 (c-Jun N-terminal kinase 3) are 424 and 464 amino acid proteins, respectively, that each contain one protein kinase domain and use magnesium as a cofactor to catalyze the phosphorylation of target proteins, thereby playing a role in a variety of events throughout the cell. Both JNK2 and JNK3 exist as multiple alternatively spliced isoforms and are subject to post-translational phosphorylation on Thr 183 and Thr 221, respectively, an event which activates JNK2/JNK3 enzymatic activity. Defects in the gene encoding JNK3 are a cause of epileptic encephalopathy of the Lennox-Gastaut type, a group of epileptic disorders characterized by severe psychomotor delay and seizures. |
| Conjucates | Unconjugated |
| Others Formats | Phospho |
| Immunogen | A synthesized phosphopeptide: human JNK1/2/3 around the phosphorylation site of Thr183 + Thr183 + Thr221 |
| Antigen Species | human |
| Molecular Weight | Theoretical: 54/46 kDa. |
| Stability & Storage | Store at -20°C or -80°C for 12 months. Avoid repeated freeze-thaw cycles. |
| Transport | Shipping with blue ice. |
| Size | Quantity | Unit Price | Amount | Operation |
|---|

Copyright © 2015-2026 TargetMol Chemicals Inc. All Rights Reserved.