Shopping Cart
- Remove All
 Your shopping cart is currently empty Your shopping cart is currently empty
Anti-Phospho-JNK1/2/3 (Thr 183, 183, 221) Antibody (2H865) is a Rabbit antibody targeting Phospho-JNK1/2/3 (Thr 183, 183, 221). Anti-Phospho-JNK1/2/3 (Thr 183, 183, 221) Antibody (2H865) can be used in FCM,ICC/IF,IF,IHC-Fr,IHC-P,WB.
| Pack Size | Price | Availability | Quantity | 
|---|---|---|---|
| 25 μL | $154 | 7-10 days | |
| 50 μL | $271 | 7-10 days | |
| 100 μL | $487 | 7-10 days | 
| Description | Anti-Phospho-JNK1/2/3 (Thr 183, 183, 221) Antibody (2H865) is a Rabbit antibody targeting Phospho-JNK1/2/3 (Thr 183, 183, 221). Anti-Phospho-JNK1/2/3 (Thr 183, 183, 221) Antibody (2H865) can be used in FCM,ICC/IF,IF,IHC-Fr,IHC-P,WB. | 
| Synonyms | Tyrosine protein kinase JAK1, Stress activated protein kinase JNK1, SAPK1, SAPK gamma, SAPK 1, Protein kinase, mitogen-activated, 8, Protein kinase JNK1, PRKM8, PRKM 8, p-JNK1/2/3 (Thr 183, 183, 221), p-JNK1/2/3 (T 183, 183, 221), p54 gamma, MK10, MK09, MK08, Mitogen activated protein kinase 8, MAPK8, MAPK 8, MAP kinase 8, JNK21B1/2, JNK1A2, JNK1/2/3 (p-Thr 183, 183, 221), JNK1/2/3 (p-T 183, 183, 221), JNK 46, JNK 1, JNK, JAK1A, JAK 1A, EC 2.7.11.24, C-JUN kinase 1, c Jun N terminal kinase 1, AI849689 | 
| Ig Type | IgG | 
| Clone | 2H865 | 
| Reactivity | Human,Mouse,Rat | 
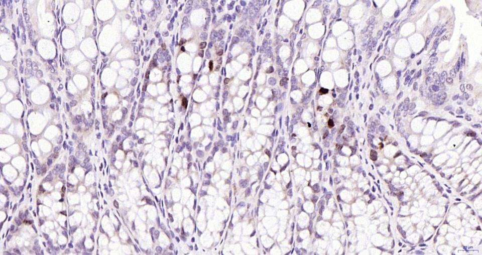
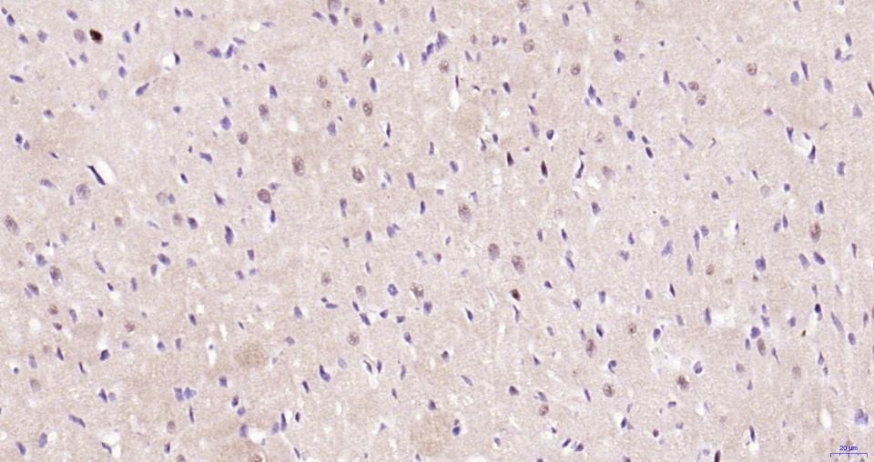
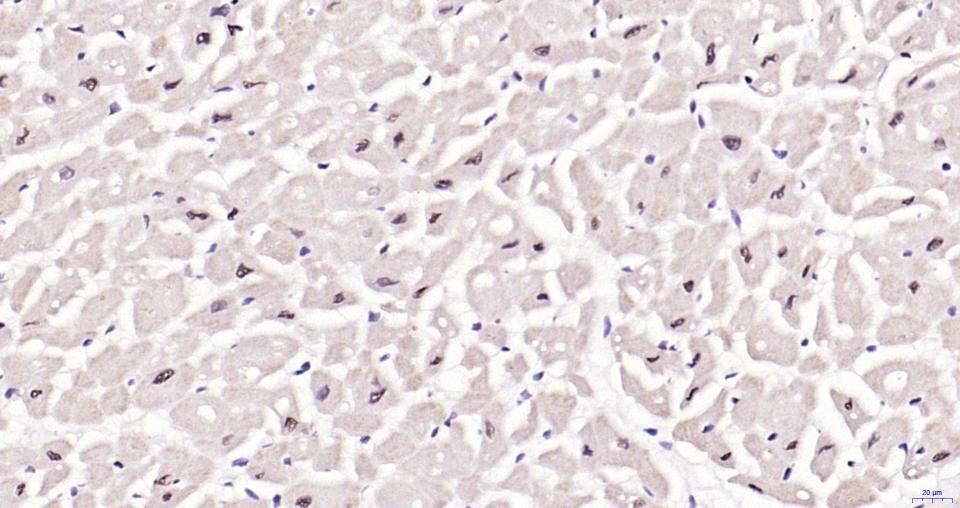
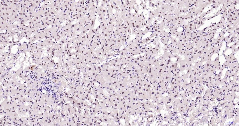
| Verified Activity | 1. Paraformaldehyde-fixed, paraffin embedded Rat Colon; Antigen retrieval by boiling in sodium citrate buffer (pH6.0) for 15 min; Antibody incubation with Phospho-JNK1 2 3 (T183+T183+T221) Monoclonal Antibody, Unconjugated (TMAB-01446) at 1:200 overnight at 4°C, followed by conjugation to the SP Kit (Rabbit) and DAB staining. 2. Paraformaldehyde-fixed, paraffin embedded Rat Heart; Antigen retrieval by boiling in sodium citrate buffer (pH6.0) for 15 min; Antibody incubation with Phospho-JNK1 2 3 (T183+T183+T221) Monoclonal Antibody, Unconjugated (TMAB-01446) at 1:200 overnight at 4°C, followed by conjugation to the SP Kit (Rabbit) and DAB staining. 3. Paraformaldehyde-fixed, paraffin embedded Human Heart; Antigen retrieval by boiling in sodium citrate buffer (pH6.0) for 15 min; Antibody incubation with Phospho-JNK1 2 3 (T183+T183+T221) Monoclonal Antibody, Unconjugated (TMAB-01446) at 1:200 overnight at 4°C, followed by conjugation to the SP Kit (Rabbit) and DAB staining. 4. Paraformaldehyde-fixed, paraffin embedded Human Liver; Antigen retrieval by boiling in sodium citrate buffer (pH6.0) for 15 min; Antibody incubation with Phospho-JNK1 2 3 (T183+T183+T221) Monoclonal Antibody, Unconjugated (TMAB-01446) at 1:200 overnight at 4°C, followed by conjugation to the SP Kit (Rabbit) and DAB staining.     | 
| Application | |
| Recommended Dose | WB: 1:500-2000; IHC-P: 1:100-500; IHC-Fr: 1:100-500; ICC/IF: 1:20-50; IF: 1:100-500; FCM: 1:20-100 | 
| Antibody Type | Monoclonal | 
| Host Species | Rabbit | 
| Subcellular Localization | Cytoplasm. Nucleus. | 
| Construction | Recombinant Antibody | 
| Purification | Protein A purified | 
| Appearance | Liquid | 
| Formulation | 0.01M TBS (pH7.4) with 1% BSA, 0.02% Proclin300 and 50% Glycerol. | 
| Concentration | 1 mg/mL | 
| Research Background | phosphorylated at the Thr-Pro-Tyr phosphorylation motif instead of the characteristic MAP kinase Thr-Glu-Tyr motif. JNK2 (p54a, SAPK1a), along with JNK1 and JNK3, is thought to play an important role in nuclear signal transduction through its environmental stress activation and subsequent phosphorylation of the nuclear transcription factor p53. | 
| Immunogen | A synthesized peptide: human JNK1 around the phosphorylation site of T183 | 
| Antigen Species | Human | 
| Gene Name | MAPK8 | 
| Gene ID | |
| Protein Name | Mitogen-activated protein kinase 8 | 
| Uniprot ID | |
| Biology Area | MAPK pathway,TLR Signaling,MAPK Pathway | 
| Function | Serine/threonine-protein kinase involved in various processes such as cell proliferation, differentiation, migration, transformation and programmed cell death. Extracellular stimuli such as proinflammatory cytokines or physical stress stimulate the stress-activated protein kinase/c-Jun N-terminal kinase (SAP/JNK) signaling pathway. In this cascade, two dual specificity kinases MAP2K4/MKK4 and MAP2K7/MKK7 phosphorylate and activate MAPK8/JNK1. In turn, MAPK8/JNK1 phosphorylates a number of transcription factors, primarily components of AP-1 such as JUN, JDP2 and ATF2 and thus regulates AP-1 transcriptional activity. Phosphorylates the replication licensing factor CDT1, inhibiting the interaction between CDT1 and the histone H4 acetylase HBO1 to replication origins. Loss of this interaction abrogates the acetylation required for replication initiation. Promotes stressed cell apoptosis by phosphorylating key regulatory factors including p53/TP53 and Yes-associates protein YAP1. In T-cells, MAPK8 and MAPK9 are required for polarized differentiation of T-helper cells into Th1 cells. Contributes to the survival of erythroid cells by phosphorylating the antagonist of cell death BAD upon EPO stimulation. Mediates starvation-induced BCL2 phosphorylation, BCL2 dissociation from BECN1, and thus activation of autophagy. Phosphorylates STMN2 and hence regulates microtubule dynamics, controlling neurite elongation in cortical neurons. In the developing brain, through its cytoplasmic activity on STMN2, negatively regulates the rate of exit from multipolar stage and of radial migration from the ventricular zone. Phosphorylates several other substrates including heat shock factor protein 4 (HSF4), the deacetylase SIRT1, ELK1, or the E3 ligase ITCH. | 
| Molecular Weight | Theoretical: 42 kDa. | 
| Stability & Storage | Store at -20°C or -80°C for 12 months. Avoid repeated freeze-thaw cycles. | 
| Transport | Shipping with blue ice. | 

Copyright © 2015-2025 TargetMol Chemicals Inc. All Rights Reserved.